Suýt bị hỏng thận vì "tự làm bác sĩ" kê đơn thuốc
Chị D.T.T (36 tuổi, Hà Nội) đột nhiên sốt cao 40°C, kèm theo biểu hiện đau quặn bụng mạn sườn phải, tiểu buốt, tiểu rát, ăn uống kém, đại tiện phân nát. Chị T đã được gia đình đưa đi khám do tình trạng bệnh lý không thuyên giảm.
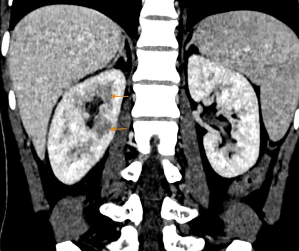
Kết quả khám lâm sàng và các xét nghiệm cần thiết cho thấy chỉ số viêm của bệnh nhân tăng, hình ảnh CT phát hiện dịch tụ quanh thận, nhu mô thận phải không đều, đặc biệt vùng sau bể thận. Bệnh nhân được chẩn đoán mắc viêm thận bể thận cấp tính, cần lập tức nhập viện điều trị nội trú.
TS.BS Ngô Chí Cương, nguyên bác sĩ Trung tâm Bệnh Nhiệt đới - Bệnh viện Bạch Mai, Trưởng khoa Nội - Bệnh viện Đa khoa Medlatec người điều trị cho bệnh nhân T, cho biết đây là ca bệnh phức tạp, quá trình điều trị cần rất thận trọng. Do bệnh nhân T trước đó đã từng bị viêm đường tiết niệu và tự ý dùng kháng sinh điều trị nhiều lần. Vì dùng thuốc không theo chỉ định của bác sĩ nên tình trạng nhiễm trùng tái đi tái lại nhiều lần.

Hình ảnh CT của bệnh nhân cho thấy nhu mô thận ngấm thuốc không đều, biểu hiện của viêm thận (Ảnh: BSCC)
Để điều trị hiệu quả cho bệnh nhân, bác sĩ đã chỉ định cấy máu, cấy nước tiểu để phân lập chủng vi khuẩn gây bệnh và đánh giá mức độ nhạy cảm kháng sinh qua kết quả kháng sinh đồ.
Sau 5 ngày được theo dõi sát sao và điều trị tích cực tại viện, kết quả cấy máu, cấy nước tiểu của bệnh nhân âm tính. Chị T được xuất viện điều trị ngoại trú, tuy nhiên vẫn cần tuân thủ dùng thuốc và sinh hoạt đúng cách theo hướng dẫn của bác sĩ.
Viêm thận cấp có thể dẫn tới biến chứng nguy hiểm
Theo bác sĩ Cương, viêm thận bể thận cấp tính là tình trạng nhiễm khuẩn đường tiết niệu trên, do vi khuẩn xâm nhập vào cơ thể thông qua niệu đạo, lan lên bàng quang, đi qua niệu quản và tấn công thận. Bệnh dẫn đến tình trạng viêm nhiễm xung quanh đài thận, bể thận, niệu quản và nhu mô thận.
Bệnh thường khởi phát với các triệu chứng ngay trong vòng 2 ngày sau khi vi khuẩn tấn công, điển hình như: sốt cao trên 38,9°C; đau bụng, lưng, hông, bẹn; đau rát khi đi tiểu; nước tiểu đục, có mủ, có máu…
Bác sĩ Cương cho biết bệnh lý nhiễm khuẩn đường tiết niệu này có thể dẫn đến các biến chứng nguy hiểm sau:
- Áp xe thận và vùng xung quanh thận: Áp xe là hiện tượng xuất hiện ổ mủ quanh thận, nếu không được điều trị kịp thời sẽ dẫn đến nhiễm khuẩn huyết.
- Nhiễm khuẩn huyết: Tình trạng vi khuẩn lan vào trong máu khiến nhiễm trùng toàn thân nặng, có thể gây ra tình trạng sốc nhiễm khuẩn và suy đa tạng, gây nguy hiểm đến tính mạng.
- Hoại tử nhú thận: Nhú thận là nơi nước tiểu chảy vào niệu quản. Khi bị hoại tử, nhú thận bong ra và lẫn vào nước tiểu gây nên tình trạng tắc nghẽn ở niệu quản hoặc niệu đạo. Từ đó, người bệnh có nguy cơ suy thận cấp do ứ mủ bể thận.
- Suy thận cấp: Đây là biến chứng nguy hiểm của viêm thận bể thận cấp, gây ra tình trạng tăng huyết áp cấp, phù phổi cấp và đe dọa nguy hiểm đến tính mạng.
- Viêm thận bể thận mạn, suy thận mạn: Tình trạng viêm thận bể thận cấp bị kháng kháng sinh và tái viêm thường xuyên có thể dẫn đến viêm thận bể thận mạn, suy thận mạn. Lúc này việc điều trị sẽ trở nên khó khăn và tốn kém hơn cho người bệnh.
Qua trường hợp của bệnh nhân T, bác sĩ Cương đưa ra cảnh báo "đỏ" đến tất cả người dân: Khi có dấu hiệu viêm nhiễm đường tiết niệu, tuyệt đối không được tự ý dùng kháng sinh bừa bãi. Điều này có thể dẫn đến việc bệnh không khỏi dứt điểm và gây ra tình trạng kháng kháng sinh khiến quá trình điều trị trở nên khó khăn hơn.
Theo PNVN
