Ung thư miệng là một khối u ác tính rất phổ biến ở vùng đầu và cổ, bao gồm ung thư nướu, ung thư lưỡi, ung thư vòm họng, ung thư sàn miệng và ung thư má. Khi bị bệnh, người bệnh sẽ xuất hiện tình trạng loét miệng lâu ngày, có cục u trong miệng hoặc răng lung lay nhiều, tê mặt... và một số triệu chứng khác.
Nếu không được điều trị bệnh sớm thì các tế bào ung thư sẽ lây lan nhanh và gây nguy hại lớn đến sức khỏe. Vì vậy, trong cuộc sống hàng ngày, bạn nên chú ý phòng tránh bệnh ung thư miệng bằng cách làm ít 4 việc sau đây.
1. Ăn thức ăn nóng trong thời gian dài
Đối với những người thích ăn đồ nóng hoặc uống trà nóng thường xuyên thì khả năng mắc bệnh ung thư miệng cao hơn rất nhiều so với những người khác. Vùng niêm mạc miệng chỉ có thể chịu được nhiệt độ dưới 60 độ, một khi nhiệt độ thức ăn hoặc nước uống quá cao sẽ làm niêm mạc miệng bị đóng vảy, gây đau rát lợi và miệng.
Về lâu dài, niêm mạc miệng rất có thể sẽ bị tăng sinh bất thường trong quá trình tự phục hồi dẫn đến nguy cơ mắc ung thư cao.

2. Hút thuốc lá, uống rượu nhiều
Với những người hút thuốc lá lâu năm, trên niêm mạc miệng sẽ xuất hiện các vết viêm hoặc tăng sản ở các mức độ khác nhau. Và nó rất có thể gây ra các triệu chứng tăng sản niêm mạc, triệu chứng này được gọi là bạch sản, là một loại tổn thương tiền ung thư. Một khi không có phương pháp điều trị thích hợp, nó sẽ chuyển thành ung thư biểu mô tế bào vảy.
Còn với những người uống rượu hàng ngày, khả năng ung thư miệng sẽ đặc biệt cao. Đặc biệt đối với người ngoài 40 tuổi, uống rượu trong thời gian dài rất dễ mắc bệnh ung thư miệng. Sau khi cồn đi vào cơ thể người qua đường miệng, cồn sẽ tiếp xúc nhiều lần với lưỡi và các bộ phận niêm mạc của sàn miệng, gây bỏng hóa chất ở các bộ phận này, về lâu dài sẽ làm tăng nguy cơ ung thư lưỡi và ung thư sàn miệng.

3. Ăn trầu thường xuyên
Các alcaloid và arecolin có trong trầu không có tính độc đối với tế bào của con người. Khi nhai trầu, các chất này sẽ có hàng loạt phản ứng với niêm mạc miệng, dẫn đến xơ hóa niêm mạc miệng, lâu dần còn phát triển thành ung thư miệng.
Ngoài ra, cùi trầu tương đối thô ráp, có thể gây sang chấn cơ học cho niêm mạc miệng khi nhai, từ đó niêm mạc miệng rất dễ bị tế bào ung thư xâm nhập.

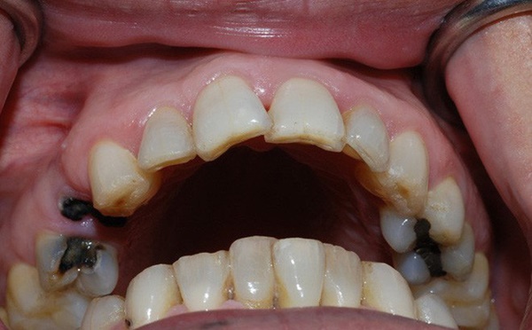
4. Mắc các bệnh răng miệng lâu ngày
Nếu lâu ngày gặp các vấn đề như khoang miệng không sạch, miệng có mùi hôi, răng miệng không sạch sẽ thì rất dễ gây kích ứng niêm mạc miệng, nướu, lưỡi. Về lâu dài sẽ gây kích ứng và làm tăng khả năng bị ung thư.

Theo Pháp luật & Bạn đọc
