Nếu uống nước có ga hoặc bất kỳ loại nước giải khát có đường nào khác mỗi ngày, cơ thể bạn có thể sẽ phải đối mặt với 6 điều tồi tệ sau đây:
1. Cơ thể thiếu chất dinh dưỡng
Nhiều nghiên cứu đã phát hiện ra rằng, tiêu thụ nước giải khát, nước ngọt có liên quan đến sự chuyển hoá các chất dinh dưỡng trong thực phẩm. Điều này có nghĩa là, những người uống đồ uống có ga hàng ngày, cơ thể họ có thể sẽ thiếu vitamin, khoáng chất và chất xơ trong chế độ ăn uống hàng ngày.
Các chuyên gia dinh dưỡng khuyến cáo, tốt nhất bạn nên hạn chế lượng đồ uống có ga mỗi ngày, tốt nhất không nên uống hàng ngày.
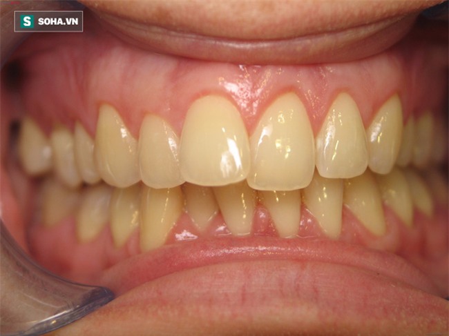
2. Nước có ga có thể ăn mòn và gây sâu răng
Việc uống nước có ga thường xuyên cũng có thể làm xói mòn men răng và gây sâu răng do lượng đường và độ chua trong loại nước giải khát này.
Một báo cáo của Tổ chức Y tế thế giới và FAO năm 2003 chỉ ra bằng chứng mối liên quan giữa uống nước ngọt và nguy cơ mòn men răng hoàn toàn có thể xảy ra, trong khi đó các bằng chứng khác liên quan đến các loại đường tự do trong nước có ga gây sâu răng cũng hoàn toàn thuyết phục.

Một đánh giá gần đây về sức nước giải khát và sức khoẻ răng miệng kết luận rằng, độ ph thấp của các loại đồ uống có thể dẫn đến xói mòn bề mặt men răng, trong khi đó hàm lượng đường cao được cho là tạo điều kiện cho các vi sinh vật tạo mảng bám trên răng, dần dần dẫn đến sâu răng.
Do đó, Hiệp hội Nha khoa Úc khuyến cáo không nên sử dụng thường xuyên nước giải khát và đồ uống có cồn, hay bất kỳ loại đồ uống thể thao, nước trái cây có chứa hàm lượng đường cao.
3. Tăng nguy cơ giòn xương
Uống nước có ga và các loại nước giải khát cũng làm giảm mật độ xương và tăng nguy cơ gãy xương ở cả trẻ em và người lớn.
Một nghiên cứu năm 2004 cũng chỉ ra rằng, nguy cơ gãy xương bàn tay và cẳng tay xảy ra nhiều ở trẻ từ 9-16 tuổi do uống loại nước giải khát có chứa hàm lượng caffeine cao.

Các loại nước có ga cũng có thể tác động tiêu cực đến mật độ xương ở phụ nữ do chứa hàm lượng caffeine cao. Nguyên nhân là bởi, caffeine được xác định là chất xúc tác có thể làm tăng sự bài tiết canxi qua nước tiểu, tăng nguy cơ gây loãng xương, gãy xương và thậm chí là hạ kali máu.
4. Tăng nguy cơ mắc bệnh tim mạch
Theo nghiên cứu của Tổ chức Heart Framingham Mỹ, mức tiêu thụ nước giải khát có ga lớn hơn hoặc bằng 350ml mỗi ngày có thể làm tăng nguy cơ béo phì, tăng nguy cơ hội chứng chuyển hoá, tăng chu vi vòng eo, tăng huyết áp, tăng mức cholesterol xấu đặt bạn vào nguy cơ đau tim do máu đông đột ngột ở động mạch.
Tương tự, nghiên cứu của tổ chức Nurses Health Study II Mỹ, phát hiện ra những phụ nữ ăn hoặc uống đồ uống có đường mỗi ngày có nguy cơ mắc bệnh tiểu đường tuýp 2 cao hơn so với những người khác không uống.
5. Cơ thể phải đối mặt với nhiều phản ứng phụ bất lợi do lượng caffeine có trong đồ uống có ga
Nước giải khát có chứa caffeine - một chất gây nghiện nhẹ có trong trà, cà phê socola. Nhưng hàm lượng caffeine trong nước giải khát khoảng 40-50mg/375ml, tương đương với một tách cà phê đậm đặc.

Mất phản xạ với caffeine cũng là một trong những tác dụng phụ của việc tiêu thụ lượng caffeine quá mức. Caffeine nếu tiêu thụ vừa đủ có thể làm tăng năng lượng, tăng cường tâm trạng và sự tập trung. Tuy nhiên, chất này cũng có thể gây tác động tiêu cực như gây rối loạn giấc ngủ, tăng mức độ lo lắng cùng một số triệu chứng như nhức đầu, mệt mỏi, cáu kỉnh.
Một số nghiên cứu năm 1999 và 2004 còn xác nhận mối liên hệ giữa đồ uống có ga và nguy cơ sỏi thận.
6. Tăng nguy cơ ung thư do uống nước có ga có chứa benzen
Gần đây, các nhà chức trách đã có một số thay đổi về quy định hàm lượng Benzen trong nước uống giải khát.
Tuy nhiên, sự hiện diện của axit benzoic trong nước giải khát được xem là gây ra tác hại nguy hiểm đến sức khoẻ, nó hoạt động như một chất xúc tác khi tiếp xúc với axit ascorbic (vitamin C) và các ion kim loại (sắt hoặc đồng) để tạo thành chất hoá học có tên là Benzen. Phản ứng hoá học này thường xảy ra khi chúng tiếp xúc với nhiệt hoặc
Năm 2007, Cục quản lý Thực phẩm và Dược phẩm Mỹ (FDA) đã tiến hành các thử nghiệm cộng đồng kiểm tra mức độ benzen trong nước giải khát trên toàn quốc. 4 trong số 100 sản phẩm được tìm thấy chứa hàm lượng benzen vượt quá mức quy định.
Theo Trí thức trẻ