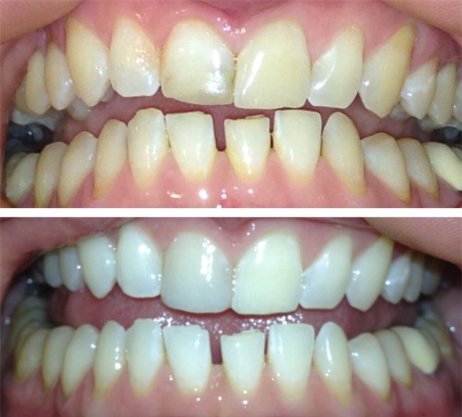
Nhiều người đang tìm cách để loại bỏ vàng răng, giúp "một góc con người" đẹp hơn. Nhưng đâu là giải pháp hiệu quả nhất?
1. Đánh răng thường xuyên
Đây được xem là việc làm quan trọng nhất sau khi bạn ăn thức ăn hoặc đồ uống có thể làm đổi màu răng như: rượu vang đỏ, cà phê, quả việt quất, củ cải đỏ....
Bạn nên vệ sinh răng miệng 2-3 lần/ngày, mỗi lần đánh kéo dài 2-3 phút để đảm bảo làm sạch tất cả bề mặt của mỗi răng, thực hiện chuyển động tròn khi đánh, tránh đánh răng quá nhẹ…
2. Kem đánh răng làm trắng
Kem đánh răng làm trắng có thể giúp làm giảm độ vàng của răng và cải thiện độ trắng. Những sản phẩm này chứa các thành phần mạnh hơn kem đánh răng thông thường, giúp loại bỏ các vết ố vàng trên răng.
Kem đánh răng làm trắng không có chất tẩy nhưng có thể chứa một lượng nhỏ carbamide peroxide hoặc hydrogen peroxide. Những chất này giúp răng sáng bóng hơn.
Theo một nghiên cứu trong năm 2014, kem đánh răng làm trắng răng thường làm sáng màu răng bằng một hoặc hai sắc thái.

3. Than hoạt tính
Kem đánh răng có chứa than hoạt tính có thể giúp làm giảm vết bẩn trên răng. Một bài tổng kết năm 2017 cho thấy loại kem này có thể giúp loại bỏ các vết bẩn trên bề mặt răng.
Tuy nhiên, bạn cần cẩn thận vì kem đánh răng chứa than hoạt tính có thể khó lấy ra khỏi các khe hở của răng và xung quanh các vùng da đang cần phục hồi.
4. Bột soda và hydrogen peroxide
Sử dụng kem đánh răng có chứa bột baking soda và hydrogen peroxide có thể giúp làm giảm độ vàng của răng. Bạn có thể tự làm ở nhà bằng cách trộn 1 thìa baking soda với 2 thìa hydrogen peroxide.
Một nghiên cứu năm 2012 cho thấy việc sử dụng kem đánh răng có chứa baking soda và hydrogen peroxide làm giảm vết vàng răng và cải thiện độ trắng.
5. Vitamin C
Một nghiên cứu được thực hiện trong năm 2007 cho thấy thiếu vitamin C có thể làm bệnh viêm quanh răng nghiêm trọng hơn. Nguyên nhân gây ra bệnh này là do vi khuẩn tích tụ trên răng và lợi. Sự tích tụ này góp phần làm đổi màu.
Vì vậy, bổ sung vitamin C có thể làm giảm sự đổi màu của răng. Tuy nhiên, hiện chưa có nghiên cứu nào chứng minh dùng vitamin C có thể có tác dụng tẩy trắng răng.
6. Các enzyme trái cây
Khi được thêm vào kem đánh răng, một số enzyme trái cây có thể chống lại sự đổi màu. Một nghiên cứu trong năm 2012 kết luận kem đánh răng chứa enzyme papain từ quả đu đủ và enzyme bromelain từ dứa giúp loại bỏ vết bẩn trên răng.
7. Giấm táo
Khi được sử dụng với số lượng nhỏ, giấm rượu táo có thể làm giảm nhuộm màu trên răng và tăng độ trắng.
Một nghiên cứu được thực hiện trong năm 2014 cho thấy giấm rượu táo có tác dụng tẩy trắng răng. Tuy nhiên, cần lưu ý rằng đây là một nghiên cứu trên động vật.
Giấm rượu táo có thể phá hủy bề mặt răng nếu sử dụng quá thường xuyên. Cần nhiều nghiên cứu hơn nữa trong việc sử dụng giấm táo như một chất tẩy trắng răng.
8. Súc dầu dừa
Nghiên cứu trong năm 2015 cho thấy súc dầu dừa hoặc ngậm dầu dừa cũng là một cách loại bỏ mảng bám trên răng hiệu quả. Mà sự tích tụ mảng bám có thể góp phần làm vàng nên cách làm với dầu dừa được xem có thể giảm sự đổi màu răng.
Theo Trí thức trẻ
