Siêu âm thai định kỳ ở tuần thứ 16 tại bệnh viện nhi Texas, bà mẹ Margaret Boemer, đến từ Texas (Mỹ), chết lặng khi nghe bác sĩ thông báo có gì đó không ổn ở thai nhi. Chị kể lại: "Các bác sĩ nói rằng họ thấy có một cục gì đó ở trên màn hình siêu âm. Họ nghi ngờ thai nhi có một khối u quái vùng xương chậu. Đây là tin tức thật đáng sợ, bởi con tôi chỉ mới được 16 tuần thai".
Sau đó, các xét nghiệm được tiến hành. Tiến sĩ Darrell Cass, phó giáo sư phẫu thuật nhi khoa, đồng thời là giám đốc bệnh viện nhi Texas, cho biết: "Em bé của chị Margaret có một khối u quái tuyến sinh dục. Nó phát triển trước khi sinh và phát triển từ xương cụt của em bé. Đây là khối u phổ biến ở trẻ sơ sinh, nhưng trên thực tế thì nó khá hiếm gặp với tỷ lệ 1/35.000 ca sinh. Và thường thì bé gái sẽ có khối u này nhiều hơn bé trai".

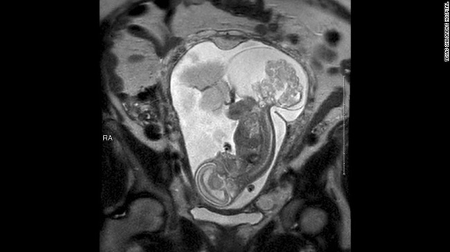
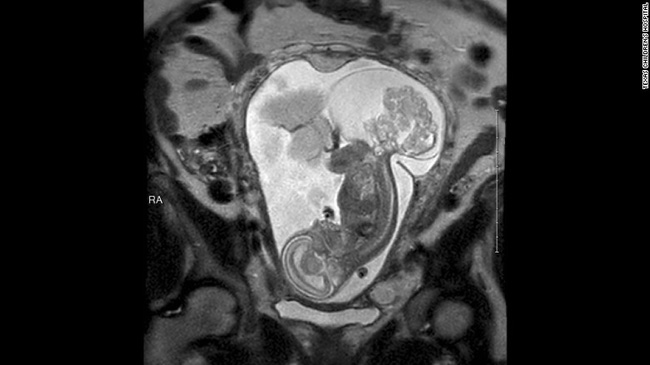
Kểt quả siêu âm ở tuần thứ 16 cho thấy, LynLee có một u quái vùng xương chậu.
Đây đúng là một tin sét đánh đối với chị Margaret, vì ban đầu chị mang thai đôi, nhưng một em bé đã bị sảy tự nhiên trước tam cá nguyệt thứ hai. Rồi đến tuần thứ 16, chị lại nhận được tin con gái của mình bị dị tật bẩm sinh hiếm gặp.
Tiến sĩ Darrell giải thích thêm: "Mặc dù khối u này lành tính và nó sẽ được cắt bỏ sau khi em bé chào đời. Nhưng trong khoảng thời gian thai nhi và khối u "chung sống" với nhau, nó sẽ gây ra một số vấn đề cho em bé, đặc biệt nhất là khối u sẽ hút dòng máu từ em bé, khiến bé bị suy dinh dưỡng, suy tim, thậm chí tử vong trước cả khi chào đời".
Do đó, các bác sĩ đã đưa cho chị Margaret hai lựa chọn. Một là chấm dứt thai kỳ. Hai là tiến sĩ Darrell tiến hành phẫu thuật bào thai. Tuy nhiên, lựa chọn thứ 2 không phải là một con đường dễ dàng. Tệ hơn nữa nếu ca phẫu thuật thất bại thì em bé sẽ chết ngay tức khắc.
"Dù lựa chọn phương án nào thì LynLee đều không có nhiều cơ hội sống. Nhưng tôi vẫn chọn phương án 2", chị Margaret kể tiếp. "Ở tuần thứ 23, khối u đã khiến con bị suy tim, vì vậy các bác sĩ sẽ phải phẫu thuật bào thai để cứu sống em bé".
Ca phẫu thuật đưa thai nhi ra ngoài cắt bỏ khối u rồi đưa lại vào bụng mẹ
Khi thai nhi được 23 tuần 5 ngày, tiến sĩ Darrell đã cùng với tiến sĩ Oluyinka Olutoye và ê kíp mổ đã tiến hành phẫu thuật khẩn cấp cứu LynLee. Tại thời điểm đó, khối u đã to gần bằng bào thai. Và ca phẫu thuật đã diễn ra trong vòng 5 giờ đồng hồ.

Lần đầu tiên chị Margaret được ôm con sau khi cả hai mẹ con đã trải qua một ca phẫu thuật cắt bỏ khối u.
Tiến sĩ Darrell chia sẻ: "Việc cắt bỏ khối u trên em bé chúng tôi làm rất nhanh, nó chỉ chiếm tầm khoảng 20 phút. Phần lớn thời gian còn lại, chúng tôi để dành cho việc mở tử cung. Vì không muốn sức khỏe của người mẹ bị nguy hiểm nên chúng tôi đã phải làm rất cẩn thận, vừa rạch vừa khâu để cho tử cung càng kín và túi ối càng giữ được nước càng tốt".
Tuy nhiên, tiến sĩ Darrell cũng cho biết thêm là do khối u quá lớn nên cần phải có một vết rạch khổng lồ để lấy nó ra. Kết quả là em bé đã gần như được đưa ra bên ngoài tử cung của mẹ về cơ bản. Thêm vào đó, trong lúc phẫu thuật, tim của LynLee có lúc đã ngừng lại. Nhưng may mắn là bác sĩ chuyên khoa tim đã dùng thuốc để duy trì sự sống cho em bé trong khi các bác sĩ khác cắt bỏ khối u.
Khi ca mổ kết thúc, LynLee được đặt trở lại trong tử cung và các bác sĩ tiến hành khâu kín tử cung của chị Margaret lại.

Như vậy LynLee đã có 2 lần chào đời.
"Đúng là một phép lạ khi bạn có thể mở tử cung ra như vậy rồi khâu nó lại mà mọi thứ vẫn hoạt động bình thường. Tất cả mọi nỗ lực của mọi người đều xứng đáng", tiến sĩ Darrell nói.

Sau vài tuần nằm trong phòng chăm sóc đặc biệt, LynLee đã được về nhà cùng bố mẹ và hai chị của mình.
Từ sau ca phẫu thuật quan trọng đó, chị Margaret luôn phải nằm trên giường nghỉ ngơi trong suốt thời gian còn lại của thai kỳ. Bất chấp sự đau đớn sau ca mổ, bà mẹ đã mạnh mẽ vượt qua 12 tuần tiếp theo để đón chào LynLee Hope ra đời lần thứ 2 cũng bằng phương pháp sinh mổ lúc 36 tuần 5 ngày. Cô "chiến binh nhỏ" nặng 2,4kg đã được đưa ngay vào phòng chăm sóc đặc biệt dành cho trẻ sơ sinh để các bác sĩ kiểm tra sức khỏe.

Hiện nay, LynLee khỏe mạnh, xinh đẹp và đáng yêu.
Theo đánh giá sơ bộ ban đầu, LynLee khỏe mạnh và được đưa về nằm cùng với mẹ. Tuy nhiên, cô bé sẽ phải tiếp tục thực hiện một ca phẫu thuật để loại bỏ hoàn toàn khối u còn sót lại khi được 8 ngày tuổi. Sau đó, LynLee nằm trong phòng chăm sóc đặc biệt trước khi trở về nhà với bố mẹ của mình.

U quái vùng xương chậu (Sacrococcygeal Teratoma) là gì?
U quái vùng xương chậu là một khối u phát triển từ xương cụt. Đây là loại u phổ biến nhất ở trẻ sơ sinh, xảy ra ở 1/35.000 ca sinh. Khối u này thường gặp ở trẻ em gái hơn trẻ em trai.
Khối u vùng xương chậu có thể nằm bên trong hoặc bên ngoài cơ thể thai nhi. Thông thường, chúng nhỏ, lành tính và không gây ra vấn đề gì trong thai kỳ. Tuy nhiên, chúng có thể phát triển lớn, thậm chí có một vài trường hợp chúng còn lớn hơn cả thai nhi.
Điều này khiến cho tim thai nhi phải làm việc nhiều hơn để bơm máu đến khối u và phần còn lại của cơ thể. Từ đó dẫn đến việc thai nhi bị suy tim gây nguy hiểm tử vong cho em bé dưới 30 tuần tuổi thai.
Thông qua siêu âm bình thường, các bác sĩ dễ dàng phát hiện thai nhi có bị u quái vùng xương chậu hay không. Và phương pháp điều trị u quái phụ thuộc vào kích thước và vị trí khối u. Các bác sĩ sẽ căn cứ vào tình hình thực tế để đưa ra một phương án tốt nhất bảo vệ cho mẹ và em bé.
Theo Pháp luật và bạn đọc
