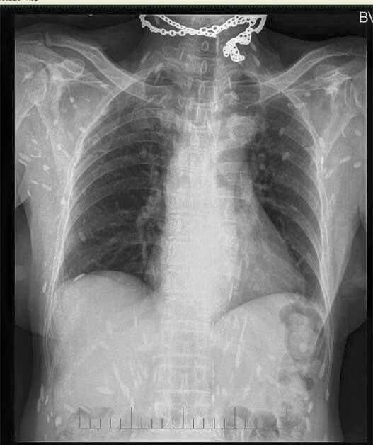
Mấy ngày nay trên mạng chia sẻ hình ảnh phim chụp Xquang của một bệnh nhân bị sán dải lợn, ấu trùng sán lợn di chuyển khắp cơ thể.
Đặc biệt, hình ảnh này còn được 1 bác sĩ admin của trang Bác sĩ nội trú chia sẻ nhằm mục đích cảnh báo với cộng đồng về những hậu quả nguy hiểm của việc nhiễm sán qua đường ăn uống.
Ấu trùng sán lợn: Loại sán nguy hiểm tấn công não người
Hình ảnh đang lan truyền trên mạng xã hội được cho là của bệnh nhân đã khám và điều trị tại Bệnh viện Đa khoa trung ương Thái Nguyên. Bức ảnh được rất nhiều người chia sẻ kèm theo lời cảnh báo từ nay nên nói không với các loại thịt tái, sống, rau sống, tiết canh.
Sau khi xem bức ảnh, GS Nguyễn Văn Đề - Nguyên trưởng Bộ Môn ký sinh trùng, trường Đại học Y Hà Nội cho biết những trường hợp này bác sĩ Đề gặp rất nhiều.
Hơn 30 năm gắn bó với chuyên ngành ký sinh trùng, bác sĩ Đề cho rằng hình ảnh này rất phổ biến, may mà ấu trùng sán lợn chưa lên não.
Bác sĩ Đề cho biết có bệnh nhân ông gặp có 300 ấu trùng sán lợn ở não và 300 ấu trùng sán lợn ẩn dưới da. Các loại ấu trùng này chụp Xquang có thể nhìn được hết.
Theo GS Đề, sán dây lợn cũng là loại sán nguy hiểm, chúng gây tác hại đặc biệt là ở não cho người nhiễm sán. Có trường hợp GS Đề cho biết bệnh nhân bị co giật, viêm não do ấu trùng sán, có thể gây hỏng mắt.
Khi ký sinh ở não gây động kinh, co giật, liệt, nói ngọng làm ảnh hưởng lớn đến sức khỏe người bệnh như mất trí nhớ, đau đầu, buồn nôn, hoa mắt, chóng mặt, nặng hơn có thể liệt tứ chi, viêm màng não mãn tính. Bệnh nguy hiểm và dễ chẩn đoán nhầm.

(Ảnh: fb BS Luong Quoc Chinh)

(Ảnh: fb BS Luong Quoc Chinh)

(Ảnh: fb BS Luong Quoc Chinh)
Dễ lây nhiễm
GS Đề cảnh báo bệnh sán dây lợn dễ lây qua ăn uống, khi người ăn uống phải trứng sán, trứng sán vào đến dạ dày - ruột, dưới tác dụng của dịch tiêu hóa trứng sẽ nở ra ấu trùng.
Ấu trùng xuyên qua thành ống tiêu hóa vào mạch máu và mạch bạch huyết, đến các cơ quan trọng cơ thể thành thể nang sán.
Quá trình phát triển ấu trùng sán lợn là ấu trùng của sán dây lợn có tên khoa học là Taenia solium. Sán trưởng thành ký sinh ở ruột người, sán dài từ 4 đến 12mm gồm 900 đốt, chia làm 3 phần.
Ấu trùng này có vật chủ trung gian là lợn và thường trú ngụ ở cơ và não của lợn hay còn gọi lợn gạo. Vì thế, nếu gặp lợn gạo, ăn lợn gạo chưa chín kỹ có thể mắc bệnh này.
Bệnh ấu trùng sán lợn ở người do ăn phải trứng sán dây lợn dưới dạng lợn gạo. Nang ấu trùng sán lợn ở người dài hơn ở lợn, nang sán tập trung thành chùm như chùm nho, kích thước đến 10 - 20 cm chứa tới 60ml dịch.
Nang ấu trùng sán lợn ký sinh dưới màng nhện của não có kích thước tới 10 - 15cm. Một vật chủ có thể nhiễm tới hàng trăm ấu trùng
Sau khi ăn phải trứng sán dây lợn, trứng vào dạ dày và ruột, trứng nở ra ấu trùng, ấu trùng xuyên qua thành ống tiêu hóa vào máu và di chuyển đến ký sinh ở các cơ vân, ở não, ở mắt.
Những người bị bệnh do ăn phải trứng sán dây lợn từ môi trường ngoài thường có ít nang trừ trường hợp ăn phải cả đột sán.
Những người có sán dây lợn trong ruột, khi đốt già rụng do nhu phản nhu động ruột mà đốt sán trào ngược lên dạ dày và lúc này giống như là ăn phải trứng sáng dây lợn với số lượng vô cùng lớn nên số nang ở người cũng rất nhiều, có người không đếm nổi.
Triệu chứng nhiễm sán
Giáo sư Đề cho biết tùy thuộc vị trí ký sinh của ấu trùng mà gây ra các triệu chứng đau khác nhau. Ví dụ sán ở não gây ra các rối loạn chức năng khác nhau như động kinh, liệt, nói ngọng, rối loạn ý thức, có những cơn nhức, đau đầu dữ dội.
Tại mắt gây ra các triệu chứng chèn sép sau nhãn cầu như tăng nhãn áp, giảm thị lực, song thị.
Tại cơ vân, xuất hiện những nang dưới da kích thước từ 0,5 đến 2cm di động dễ, không ngứa, thường ở cơ bắp tay, chân hoặc cơ liên sườn, cơ lưng, ngực, thường gây máy giật cơ.
Giáo sư Đề nhấn mạnh khi có bệnh phải điều trị nhanh, nếu muộn điều trị rất khó khăn và phức tạp. Điều trị sán dây lợn phải ở nơi có điều kiện cấp cứu tốt, bác sĩ chuyên khoa theo dõi.
Để phòng bệnh, giáo sư Đề khuyên người dân không ăn rau sống, không uống nước lã và quản lý phân thật tốt, nhất là phân người nhiễm sán dây lợn.
Theo Trí thức trẻ