5 năm bị táo bón khiến đại trực tràng bé trai bị phình dài, dãn to 20 cm, chứa gần 3 kg phân ứ đọng bên trong, to như thai phụ sắp sinh.
Từ lúc mới sinh ra, bé trai có dấu hiệu bị táo bón, bụng trướng to. Bác sĩ chẩn đoán bé bị đại tràng dài. Mỗi lần bé đi ngoài khó, bụng to lên, người nhà phải dùng thuốc bơm vào hậu môn.
Tuy nhiên, cách này chỉ làm giảm triệu chứng chứ không thể trị dứt điểm bệnh.
Gia đình cũng đưa bé tới các bệnh viện nhi chữa, nhưng vì thời gian điều trị kéo dài, đi lại bất tiện và khá tốn kém, bệnh của bé không hết. Suốt 5 năm qua, bé trai phải sống chung với căn bệnh táo bón.

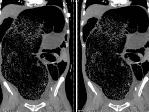
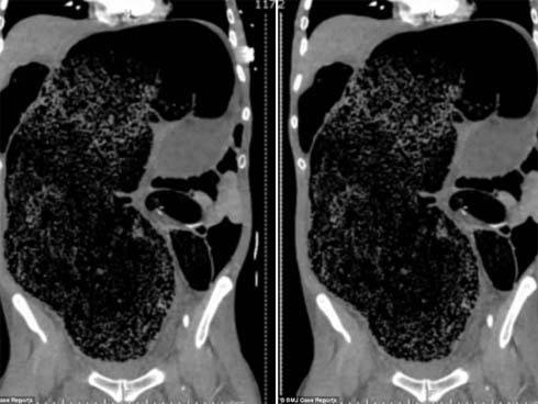
Đại tràng bị phình, dãn to
Gần đây, lượng phân lớn tích trữ trong đoạn ruột giãn khiến bụng bé ngày càng phình to bất thường, đau quằn quại, gia đình đưa tới bệnh viện Nhi đồng thành phố cấp cứu.
Qua thăm khám và kết quả chụp phim, bác sĩ chẩn đoán bé bị hội chứng phình đại tràng bẩm sinh, khiến một đoạn đại tràng không có dây thần kinh để kiểm soát sự co bóp đại tràng và được chỉ định phẫu thuật gấp.
Trong ca mổ kéo dài 3 giờ, ê-kíp bác sĩ đã cắt bỏ phần trực tràng bị phình dài gần 20 cm, dãn to 20 cm, cùng gần 3 kg phân ứ đọng bên trong, dù đã được thụt tháo bơm rửa trước phẫu thuật.
2 tuần sau mổ, bé ăn uống, tự đi ngoài, bụng xẹp hẳn và đã được xuất viện trong sự vui mừng từ gia đình.

Bé trai tươi cười xuất viện sau 5 năm sống chung với táo bón
Nguy hiểm của bệnh phình đại tràng bẩm sinh
Theo các bác sĩ, bệnh phình đại tràng bẩm sinh do nguyên nhân vô hạch chiếm vị trí hàng đầu trong hội chứng tắc ruột ở trẻ sơ sinh.
Trẻ mắc bệnh phình đại tràng bẩm sinh do vô hạch sẽ không đi tiêu phân su trong ngày đầu tiên khi sinh ra, trong khi trẻ bình thường sẽ đi được. Những ngày sau đó, bé vẫn tiếp tục táo bón và người nhà phải dùng thuốc bơm vào hậu môn cho bé.
Lúc đó, một số bé sẽ đi ngoài được, còn một số bé vẫn không thể. Những bé không đi ngoài được, người nhà sẽ đưa bé đến bệnh viện, sau đó bệnh viện phải đặt ống thông vào hậu môn, bơm nước muối sinh lý (thụt tháo) để giúp bé đi ngoài.
Không phải trẻ nào mắc bệnh này cũng có thể phát hiện trong giai đoạn sơ sinh. Do vậy, khi xuất viện, bác sĩ hẹn tái khám thì người nhà bệnh nhi nên tuân thủ.
Tình trạng bệnh nặng hay nhẹ, phát hiện sớm hay trễ tùy thuộc nhiều vào đoạn ruột vô hạch (không có hạch thần kinh trong thành ruột) dài hay ngắn.
Trẻ có đoạn ruột vô hạch ngắn, bụng sẽ trướng lên, không đi cầu được nhưng chỉ cần mua ống thuốc bơm vào hậu môn sẽ giúp trẻ đi tiêu. Nhiều gia đình thường chấp nhận giải pháp này và không đưa trẻ đến bệnh viện khám lại. Tình trạng táo bón sẽ kéo dài trong nhiều năm.
Những trẻ có đoạn ruột vô hạch dài thì dù có bơm thuốc vẫn không giúp trẻ đi tiêu bình thường nên thường phải đưa trẻ đến bệnh viện thụt tháo.
Lâu ngày đoạn ruột vô hạch này không hoạt động sẽ bị teo nhỏ và đại tràng nằm ở phía trên bị phình dãn ra, ứ đọng ngày càng nhiều phân và chứng táo bón sẽ kháng trị với các loại thuốc nhuận tràng.
Nhiều trẻ sơ sinh với đoạn ruột vô hạch dài có thể gây tắc ruột ngay những ngày đầu sau sinh nên được phát hiện sớm, phẫu thuật cấp cứu, sau sinh bụng trướng lên, chậm tiêu phân su đều phải đưa trẻ đến cơ sở y tế chuyên khoa để các bác sĩ xác định bệnh và điều trị kịp thời.
Trẻ được mổ sớm có hiệu quả rất nhiều lần so với khi trẻ đã lớn. Mổ càng sớm, ruột của trẻ sơ sinh ít viêm dính, đặc biệt chức năng đi tiêu sau mổ được hoàn thiện tốt hơn.
Phẫu thuật muộn khi trẻ càng lớn, tình trạng ứ đọng phân càng kéo dài, dẫn đến chậm phát triển thể chất, nguy cơ bị viêm ruột trước và sau mổ càng cao, có thể dẫn đến nhiễm trùng huyết, nhiễm độc thậm chí tử vong.
Theo Vietnamnet
