Chủ đề

bào thai

bào thai

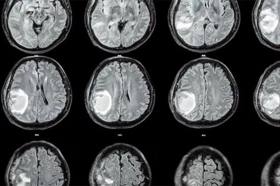
Đầu bé 1 tuổi tự nhiên to lên, bác sĩ lấy ra cả một bào thai trong não

Ca bệnh đặc biệt được công bố trên tạp chí Neurology được xác nhận là một trường hợp thai trong thai cực hiếm, trong đó đứa bé ra đời đã mang theo bào thai người em song sinh trong não.

Ấn Độ: Phát hiện 8 bào thai trong bụng bé gái 21 ngày tuổi

Một nhóm bác sĩ Ấn Độ đã loại bỏ thành công 8 bào thai có kích thước từ 3 đến 5cm trong bụng của một bé gái 21 ngày tuổi.

Bụng của bé sơ sinh to bất thường, bác sĩ "kinh hoàng" khi xem kết quả X-quang, lúc phẫu thuật lại càng choáng váng

Theo các bác sĩ, đây là một trường hợp cực kỳ hiếm gặp, với tỉ lệ 1/500.000 ca sinh

Bé gái 9 tuổi kêu đau bụng, bác sĩ nói: Có một đứa trẻ ở trong

Mới đây, câu chuyện xảy đến với một bé gái 9 tuổi ở Hy Lạp khiến nhiều người vô cùng bất ngờ.

Bé gái 6 tháng bụng phình như trái bóng vì mang bào thai từ trong bụng mẹ

Gia đình lo lắng khi con gái 6 tháng tuổi có bụng ngày càng to lạ thường. Đi khám họ sốc hơn khi bác sĩ nói em đang mang bào thai, hiện tượng "bào thai trong bào thai" rất hiếm gặp.

Người phụ nữ mang bầu suốt 46 năm "không chịu đẻ", bác sĩ sốc nặng khi lấy bào thai ra

Sau khi chứng kiến cảnh một bà mẹ đau đớn quằn quại trong bệnh viện, người phụ nữ này đã bỏ chạy và quyết không sinh con trong suốt 46 năm.