Thông tin bé gái 3 tháng tuổi bị gãy xương đùi khiến các bậc phụ huynh lo lắng về chất lượng chăm sóc ở những cơ sở trông giữ trẻ.
Theo tờ New Straits Times đưa tin, ngày 12/6 một cặp vợ chồng ở Shah Alam (Malaysia) đã vô cùng sốc khi phát hiện con gái 3 tháng tuổi bị gãy xương đùi sau khi từ nhà trẻ về nhà.
Vô cùng tức giận vì con gặp phải tai nạn nghiêm trọng, người cha đã lập tức báo cảnh sát tố cáo người trông trẻ vô trách nhiệm, lơ là việc trông trẻ và không đưa ra được bất kỳ lời giải thích nào.

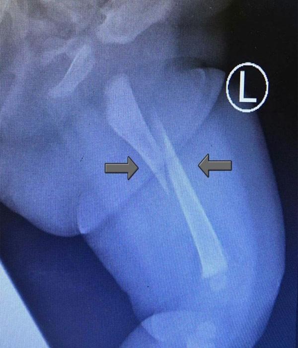
Kết quả chụp X-quang cho thấy phần xương đùi trái của bé gái bị gãy đôi. (Ảnh Worldofbuzz)
Theo đơn tố cáo, người cha cho biết 7h sáng hôm đó anh đưa con đi học bình thường, cô bé rất khỏe mạnh, không hề có biểu hiện đau ốm. Tới 3h chiều cùng ngày khi trở lại nhà trẻ đón con anh bắt đầu thấy nghi ngờ khi bé tỏ ra đau đớn, dỗ dành thế nào cũng không ngừng khóc.
Lo lắng con bị bệnh, người cha lập tức đưa bé tới bệnh viện Shah Alam, Selangor để kiểm tra. Tại đây, sau khi tiến hành thăm khám và chụp chiếu các bác sĩ kết luận bé bị gãy xương đùi trái.

Hai chân của bé được treo cố định tránh va chạm. (Ảnh Worldofbuzz)
Sau khi thông tin bé gái gặp tai nạn ở nhà trẻ đăng tải trên các trang báo địa phương, không ít các bậc phụ huynh tỏ ra lo lắng cho sức khỏe của bé. Thậm chí nhiều người tỏ ra e ngại trước chất lượng chăm sóc và trách nhiệm của những người trực tiếp trông giữ trẻ.
"Dạo gần đây có khá nhiều trường hợp trẻ gặp nạn khi đi học. Câu chuyện của bé gái này càng khiến tôi lo lắng hơn vì con gái tôi cũng đang trong độ tuổi đi học mầm non. Ngày nào con về học mà có biểu hiện khác thường là tôi quan tâm hỏi han ngay. Hy vọng các mẹ hãy cảnh giác cao độ nhé", chị Maya chia sẻ kinh nghiệm của cá nhân.
Bên cạnh đó, bác sĩ, tiến sĩ Kamarul Ariffin Nor Sadan cũng đã đưa ra những dấu hiệu cơ bản cho thấy trẻ bị bạo hành, lạm dụng ở trường mà cha mẹ nào cũng nên biết trên trang cá nhân của mình sau khi thông tin về vụ việc:
- Bé la hét khóc lớn mỗi lần tới nhà giữ trẻ
- Trẻ dần thu mình, nhút nhát và sợ người lạ
- Hành vi thay đổi: Quá kích động hoặc im lặng bất thường
- Cơ thể bé xuất hiện những vết bầm tím. Tập trung chủ yếu ở tay, chân, lưng…
- Thường xuyên gặp ác mộng, mê sảng, khó ngủ
Cha mẹ nên làm gì khi nghi ngờ con bị bạo hành, ngược đãi:
- Ngay lập tức không để con tiếp cận với kẻ nghi bạo hành.
- Làm đơn khiếu nại gửi tới nơi trông giữ trẻ (nếu có)
- Báo ngay với cảnh sát để điều tra sự việc
- Đưa trẻ đến cơ sở y tế khám sức khỏe.
- Nếu trẻ bị bạo hành hãy kiên trì với phương pháp vật lý trị liệu và chú ý tới cảm xúc của bé.
Chi tiết 6 dấu hiệu dễ nhận biết nhất báo hiệu trẻ có thể đang bị bạo hành ở trường:
1. Cơ thể trẻ xuất hiện nhiều vết bầm tím
Đây chắc chắn là dấu hiệu rõ ràng nhất mà cha mẹ không được phép bỏ qua. Cơ thể trẻ tuy non nớt, mềm yếu nhưng không thể tự xuất hiện các vết bầm tím, vết xước.
Sau mỗi ngày con đi học về cha mẹ cần kiểm tra thân thể bé để phát hiện những thương tích trên người. Nếu thấy có bất kì dấu vết nào lạ trên cơ thể bé mẹ cần lời giải thích rõ ràng từ giáo viên. Nếu câu trả lời nhận được là "quen thuộc: bé bị ngã". Mẹ cần bình tĩnh xem xét thêm các biểu hiện khác nữa.
2. Trẻ sợ hãi khi ở trong không gian kín
Thông thường, ở tất cả các trưởng mầm non, tiểu học hiện nay đều đã trang bị những thiết bị camera kết nối với điện thoại thông minh của phụ huynh để cha mẹ tiện theo dõi trẻ nhỏ. Chính vì thế, để bạo hành trẻ, các bảo mẫu cần phải đưa trẻ vào khu vực kín để thực hiện.
Đó là lý do trẻ tỏ ra sợ hãi khi ở trong không gian kín, bé sẽ mường tượng ra cảnh bị bạo hành. Vì thế, khi con ở trong phòng 1 mình hay đưa con đi tắm... thấy con có biểu hiện sợ hãi, cha mẹ cần nhẹ nhàng khuyên nhủ và trò chuyện với con để tìm ra nguyên nhân.
3. Trẻ hốt hoảng, ngủ không sâu giấc
Tâm hồn non nớt của trẻ nhỏ rất dễ bị tác động bởi những hành động thô bạo. Nó thường đi vào trong giấc mơ của trẻ, khiến trẻ không thể nào ngon giấc.
Vì thế, nếu thấy con ngủ không ngon giấc, hay giật mình, khóc đêm... mẹ cần tìm hiểu rõ nguyên nhân vì sức khỏe hay là do trẻ đang bị bạo hành.
4. Không chịu đi học, nhìn thấy mẹ là đòi về ngay
Trẻ nhỏ thường phản kháng khi cha mẹ bắt đi học. Đó là một tình huống hết sức bình thường. Tuy nhiên, nếu sự phản kháng của trẻ là vô cùng dữ dội như ôm chặt mẹ, giãy giụa khi mẹ giao bé cho cô giáo hay mỗi lần được mẹ đón đều chạy tới và đòi về ngay lập tức... thì là dấu hiệu bất bình thường. Hãy quan sát ánh mắt của trẻ và ánh mắt của bảo mẫu trong những trường hợp này để nhận ra được nguyên do thực sự.
5. Ngại giao tiếp, tiếp xúc
Trẻ bị bạo hành thường có cảm giác sợ sệt, e dè, ngại giao tiếp và tiếp xúc với bất kì ai, kể cả bố mẹ. Trẻ không chạy nhảy nô đùa như trước mà chỉ thu mình một chỗ, ôm đầu gối hoặc khoanh tay trước ngực...
6. Hành vi quá khích
Nghiến răng, cắn móng tay, thở dốc, hồi hộp hay toát mồ hôi hoặc chống đối lại cha mẹ có thể là những hành vi khác lạ, quá khích của bé cho thấy đang bị ảnh hưởng bởi vấn đề tâm lý nghiêm trọng. Việc bé bị bạo hành dẫn đến lo sợ và không làm chủ được những hành động thân thể mình.
Theo Khám Phá
