Một bé gái 3 tuổi giấu tên đến từ Camberley, Surrey, liên tục kêu ca về cơn đau nhức ở má phải và chảy nước mũi bất thường, đôi khi có dính cả máu trong suốt 5 ngày. Cô bé cũng bị đỏ ở xung quanh má, hàm và mắt phải.
Các bác sĩ ban đầu chẩn đoán cô bé bị viêm màng não quanh cơ, nhiễm trùng mí mắt và các vùng da xung quanh. Họ đã kê toa thuốc kháng sinh nhưng các triệu chứng vẫn tiếp tục.

Gia đình tiếp tục đưa cô bé quay trở lại bệnh viện khám và bác sĩ tiến hành xét nghiệm máu, siêu âm vùng cổ, tuyến nước bọt. Các kết quả cho thấy bé gái bị quai bị nên bác sĩ cho cô bé dùng thuốc giảm đau và khuyên nên uống nhiều nước, bệnh sẽ tự hồi phục.
Tuy nhiên vì các triệu chứng của cô bé không hề có dấu hiệu thuyển giảm nên lại tiếp tục sử dụng thêm thuốc kháng sinh và chữa viêm xoang. Dù vậy, mọi thứ vẫn không tiến triển tốt.
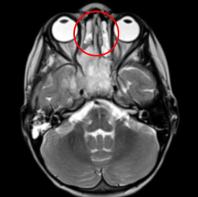
Ba tuần sau khi gặp các triệu chứng khó hiểu, cô bé cuối cùng được đưa đi quét não khi gặp phải các vấn đề như đau trong khi ăn, lỗ mũi bên phải khó thở. Kết quả cuối cùng cho thấy cô bé có một khối u lớn trong khoang mũi. Bé bị chẩn đoán mắc bệnh ung thư khoang mũi hiếm gặp. Căn bệnh tấn công xương và một phần mô bên trong khoang mũi, thậm chí đã lan một ít đến vùng xương sọ, cơ hàm và cả một số tế bào não bộ.
May mắn khi bé gái không có dấu hiệu di căn đến các bộ phận khác trên cơ thể. Cô bé vừa bắt đầu quá trình hóa trị và xạ trị tích cực.
Ung thư khoang mũi là gì?
Ung thư khoang mũi là một loại ung thư ảnh hưởng đến mô mềm trong khoang mũi, tai giữa, đầu hoặc cổ. Ung thư mũi thường ảnh hưởng đến bé trai từ hai đến bốn tuổi.
Nguyên nhân thường không rõ ràng, tuy nhiên, trẻ em bị rối loạn di truyền hiếm gặp nhất định, chẳng hạn như hội chứng Li-Fraumeni, có nguy cơ cao hơn.
Các triệu chứng có thể bao gồm:
- Nghẹt mũi hoặc chảy nước mũi nhiều, xuống cả cổ họng;
- Một mắt sưng và nhô ra;
- Chảy máu mũi thường xuyên
- Đau, tê một số bộ phận trên mặt
Theo Khám phá
