Việc chăm sóc sức khỏe răng miệng sớm cho trẻ là điều quan trọng đối với các bậc cha mẹ.
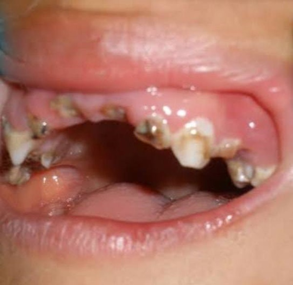
Mới đây, một nha sĩ người Thái Lan, anh Aral Wongworachat đã chia sẻ câu chuyện hiếm gặp về một cậu bé với răng miệng đầy vi khuẩn và hậu quả khôn lường. Theo lời vị nha sĩ này, khi cậu bé tới khám anh đã hốt hoảng khi nhìn thấy tình trạng của bé. Thật may mắn là cậu bé đã được đưa tới bệnh viện một cách kịp thời để có những bước điều trị thích hợp, cứu vãn tình hình trước khi quá muộn.
Cậu bé lên 3 tuổi, giống như nhiều bạn trẻ khác rất thích ăn kẹo ngọt. Vấn đề ở chỗ, gia đình không chú ý đến việc vệ sinh răng miệng cho em. Cậu bé đã không đánh răng cả sáng và tối. Và rồi cuối cùng, nó không chỉ gây hại cho miệng mà vi khuẩn còn ăn lên tới tận mắt của bé.

Arak nói rằng: “Cậu bé đã không có thói quen đánh răng thường xuyên, cũng không được kiểm tra răng miệng định kì. Cho tới khi tình huống bất thường xảy ra. Mắt trái của bé bị sưng lên và không thể mở ra nổi. Ngay lập tức bố mẹ đã đưa cậu bé đi khám. Sau khi các bác sĩ kiểm tra, chụp X- quang và thấy rằng có mủ trong đó. Ngay lập tức em phải nhổ những chiếc răng sâu và tiến hành bước tiếp theo".
Vị bác sĩ này cũng cho biết, việc vi khuẩn trong răng nanh chạy đến mắt hoặc tai là rất hiếm nhưng trên thực tế có những trường hợp nó còn có thể xâm nhập vào tận mô não và gây ra những tác động thậm chí còn khủng khiếp hơn gấp bội.

Hướng dẫn chăm sóc răng miệng cho trẻ theo từng độ tuổi
Việc chăm sóc sức khỏe răng miệng sớm cho trẻ là điều quan trọng đối với các bậc cha mẹ. Có nhiều cách bảo vệ và phòng ngừa bệnh răng miệng cho trẻ, trong đó, cha mẹ nên lưu ý đến việc chọn bàn chải, kem đánh răng phù hợp lứa tuổi và thực hành chải răng đúng cách.
Từ 8 tháng tuổi: bé bắt đầu mọc răng sữa.
Giai đoạn từ một tuổi đến 2 tuổi: Cha mẹ cần chủ động đánh răng cho trẻ. Khi bé chưa mọc răng hay mới mọc một vài chiếc răng đầu tiên bạn cần vệ sinh răng nướu cho trẻ bằng gạc mềm thấm nước ấm sạch hoặc nước muối pha loãng
Khi trẻ 3 - 6 tuổi: Trẻ bắt đầu mọc răng hàm và lần lượt thay răng, chuyển từ răng sữa sang răng vĩnh viễn. Đến lúc này, cha mẹ có thể cho trẻ tự đánh răng mỗi ngày dưới sự giám sát của người lớn.
Trẻ 6 - 9 tuổi: cha mẹ vẫn nên kiểm tra việc chải răng của trẻ đều đặn để đảm bảo trẻ đánh răng đúng cách.

Bên cạnh đó, cha mẹ cần nhớ một số nguyên tắc và nên sử dụng những mẹo dưới đây nhằm tạo hứng thú cho trẻ làm quen với thói quen đánh răng đúng cách:
Chia lịch đánh răng, vệ sinh răng miệng vào thời gian hợp lý. Bạn cần hướng dẫn trẻ đánh răng đều đặn ngày 2 lần (buổi sáng và trước khi đi ngủ)
Đánh răng đúng cách để trẻ không bị đau đớn, khó chịu, đồng thời mang lại hiệu quả chăm sóc, bảo vệ răng miệng cao. Đó là đặt bàn chải nhẹ nhàng sao cho lông bàn chải vừa khít trên bề mặt răng, chải từng nhóm răng, mỗi nhóm độ 2 - 3 cái, chải đủ ba mặt răng: mặt trước, mặt sau và mặt nhai. Thời gian đánh răng lý tưởng nhất là khoảng 2 - 3 phút.

Lưu ý chọn loại kem đánh răng phù hợp với từng độ tuổi của trẻ: chọn loại có công thức không đường, chứa Xylitol và Active Fluoride để chống sâu răng. Rất nhiều trẻ nhũ nhi có xu hướng thích ăn hoặc mút kem đánh răng nên phụ huynh cần chọn loại kem an toàn nếu trẻ lỡ nuốt phải. Là dòng kem đánh răng cho trẻ em rất phổ biến tại nhiều thị trường châu Á như Nhật, Thái Lan, Singapore, kem đánh răng Kodomo của thương hiệu Lion có công thức không đường, bổ sung Active Fluoride và Xylitol giúp ngăn ngừa sâu răng hiệu quả, an toàn cho bé nếu lỡ nuốt phải.
Chọn bàn chải cho trẻ: cha mẹ cần ưu tiên loại có đầu tròn nhỏ với cổ bàn chải dài để trẻ dễ xoay sở khi chải sâu tận mặt sau của răng. Lông bàn chải cho trẻ là loại lông siêu mềm đủ để loại bỏ các mảng bám mà không gây trầy xước nướu.
Theo Khoevadep
