Theo tạp chí điện tử Người đưa tin, tối 10/3, Bệnh viện Nhi Hà Nội thông tin, ngày 8/3 khoa Tiêu hóa của bệnh viện đã tiếp nhận và nội soi cấp cứu thành công cho bệnh nhi V.K.V (4 tuổi, Hà Nội) do nuốt phải pin cúc áo – một loại dị vật cực kỳ nguy hiểm nếu không được xử lý kịp thời.
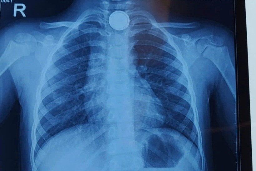
Cụ thể, 14h chiều ngày 8/3, bệnh nhi V. vô tình nuốt phải pin cúc áo. Gia đình nhanh chóng đưa bé đến bệnh viện gần nhà, chụp X-quang phát hiện dị vật pin mắc ở thực quản ngang mức xương đòn.

Vị trí pin cúc áo trong cổ bệnh nhi. Ảnh: Dân trí
17h30, bệnh nhi được chuyển đến Bệnh viện Nhi Hà Nội. Nhận thấy mức độ nguy hiểm, Bệnh nhi được Ekip Nội soi - Gây mê - Ngoại khoa, khám và hội chẩn ngay được sự nguy hiểm của dị vật cần phải được nội soi cấp cứu ê-kíp.
Báo Lao động thông tin, theo các bác sĩ, pin cúc áo không chỉ là một dị vật thông thường mà còn có thể gây tổn thương nặng nề chỉ trong vài giờ đầu, do có tính chất ăn mòn kèm cơ chế dòng điện, nên sẽ gây bỏng loét dẫn tới thủng rất sớm, đặc biệt pin to mắc ở thực quản như của bệnh nhi này.
Khi tiến hành nội soi, các bác sĩ nhận thấy thực quản chu vi xung quanh pin đã loét hết, phía trên và phía dưới dị vật đều phù nề chít hẹp hết đường ra cũng như đường xuống dạ dày. Các nỗ lực gắp pin ra đều khó khăn. Ekip đã sử dụng ống mềm nội soi, ống cứng nội soi 1 lỗ để gắp ra nhưng đều bị kẹt lại do hẹp đầu ra.

Thành công lấy được dị vật là pin cúc áo cho bệnh nhi 4 tuổi. Ảnh: Người đưa tin
Sau 3 giờ nỗ lực và áp dụng nhiều phương pháp khác nhau, ekip cùng Bác sĩ Quách Văn Nam (Khoa Tiêu Hóa) đã thành công lấy được dị vật mà không cần can thiệp phẫu thuật mở, giúp bé tránh khỏi nguy cơ thủng thực quản và hồi phục tốt hơn sau can thiệp.
Theo chia sẻ của TS.BS Ninh Quốc Đạt – Bệnh viện Nhi Hà Nội, pin cúc áo không chỉ là một dị vật thông thường mà còn có thể gây tổn thương nặng nề chỉ trong vài giờ đầu do cực âm và cực dương của pin sát nhau, khi nuốt vào trong đường tiêu hoá, gặp nước, dịch nhày sẽ sinh ra dòng điện, giải phóng nhanh và nhiều hydroxyl radical (OH), tăng nhanh pH, gây ăn mòn mạnh, rất dễ thủng thực quản, thủng lan sang khí quản, động mạch chủ, thủng dạ dày,...
Trường hợp nặng có thể gây tử vong trong vòng 2 giờ. Về lâu dài rất dễ gây sẹo hẹp, rò... đường tiêu hóa. Bác sĩ cũng cho biết, ở Mỹ trung bình hàng năm có 3000 ca nuốt phải pin cúc áo, nguy hiểm tới mức họ thành lập một đường dây nóng chuyên tiếp nhận các cuộc gọi cấp cứu cho loại dị vật này, có tên là National Battery Ingestion Hotline (NBIH).

Theo doisongphapluat.nguoiduatin