
Ngày 5/11, Bệnh viện Nhi đồng 1 (TPHCM) cho biết, đơn vị này vừa cứu sống bé gái 13 tuổi hôn mê sâu do vỡ dị dạng mạch máu não trên nền bệnh cơ tim xốp.
Thep đó, em H.T.T.T (13 tuổi) được chuyển cấp cứu từ Bệnh viện Hóc Môn (TPHCM) đến Bệnh viện Nhi đồng 1 trong tình trạng hôn mê nguy kịch với chẩn đoán nghi xuất huyết não và sốc tim.
Theo lời kể của người thân, em T. đang ngủ thì bỗng có biểu hiện khó thở, sau đó rơi vào hôn mê. Gia đình đã đưa em đến bệnh viện gần nhà xử trí ban đầu, được đặt nội khí quản và sử dụng thuốc vận mạch trước khi chuyển gấp lên tuyến trên.
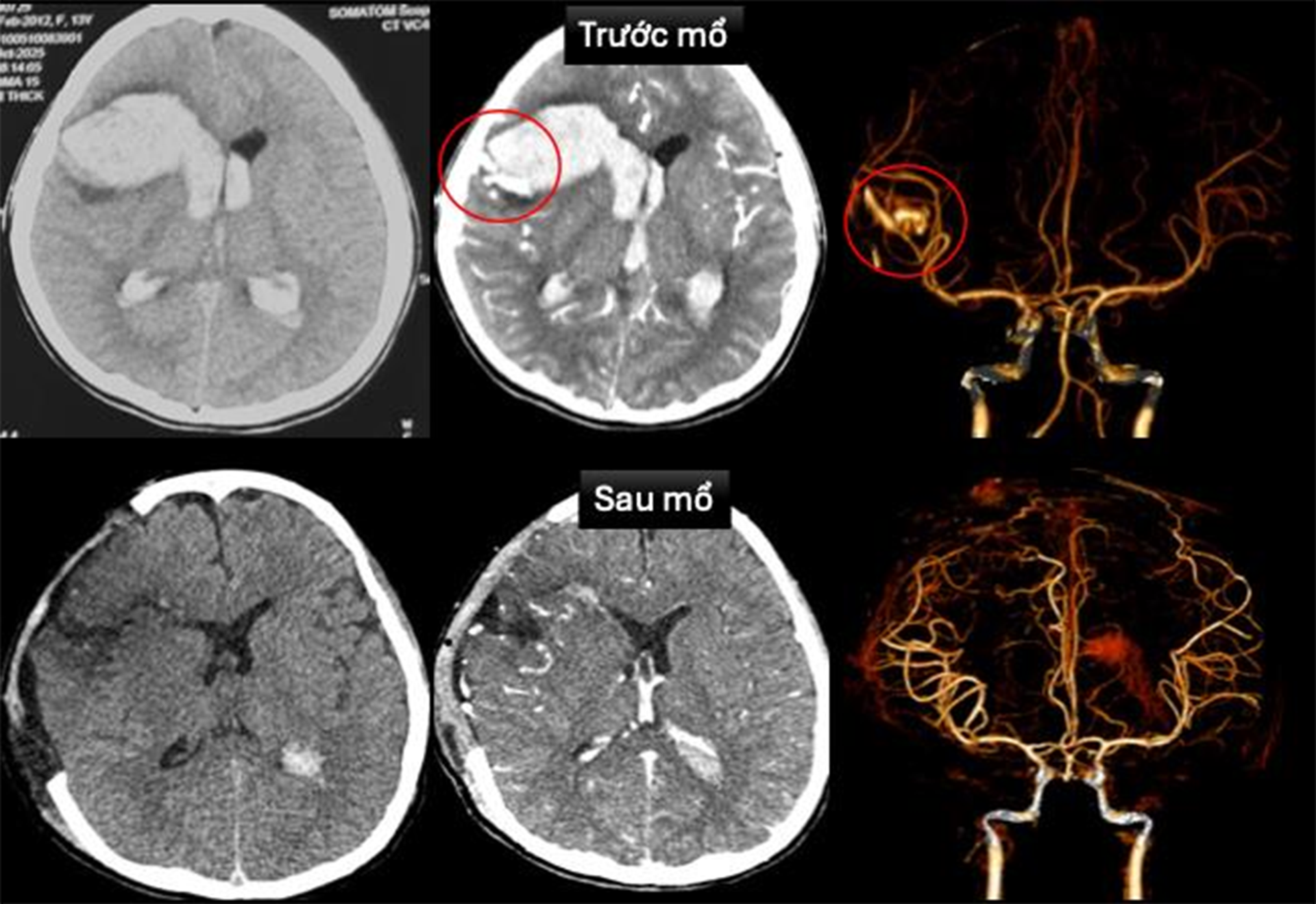
Tại Khoa Cấp cứu, bệnh nhi được ghi nhận hôn mê sâu, thở máy qua nội khí quản, nhịp tim chậm, huyết áp thấp và phải duy trì thuốc vận mạch. Các bác sĩ nhanh chóng tiến hành siêu âm tim, chụp cắt lớp vi tính sọ não dựng hình mạch máu não để chẩn đoán. Kết quả xác định em bị dị dạng động tĩnh mạch trán phải vỡ gây xuất huyết nhu mô não lan vào hệ thống não thất, kèm theo sốc tim, rối loạn nhịp và bệnh cơ tim xốp.
Sau khi hội chẩn đa chuyên khoa, ê-kíp khẩn trương can thiệp cấp cứu. Bác sĩ tim mạch can thiệp đặt máy tạo nhịp tạm thời, đồng thời bác sĩ ngoại thần kinh thực hiện phẫu thuật cấp cứu mở sọ giải áp, vi phẫu cắt dị dạng mạch máu não và lấy máu tụ trong nhu mô não cùng não thất.
Sau mổ, bệnh nhi được chuyển Khoa Hồi sức Ngoại để điều trị hồi sức tích cực, thông khí cơ học, sử dụng thuốc vận mạch và chống phù não. Hiện em T. đã tỉnh táo, chỉ còn yếu nhẹ chân phải. Tình trạng tim mạch ổn định, đã rút được máy tạo nhịp và ngưng thuốc vận mạch. Hình ảnh chụp cắt lớp vi tính sọ não sau mổ không còn ghi nhận dị dạng mạch máu não. Siêu âm tim kiểm tra cho thấy bệnh cơ tim xốp với chức năng co bóp cơ tim cải thiện (EF 65%).

Theo các chuyên gia y tế, dị dạng động tĩnh mạch não ở trẻ em ước tính chỉ chiếm khoảng 0,01% dân số chung. Tuy nhiên, đây lại là nguyên nhân hàng đầu gây đột quỵ xuất huyết não ở trẻ em, chiếm 70% các trường hợp xuất huyết não tự phát ở trẻ em dưới 19 tuổi.
Đa phần các bệnh nhân có dị dạng động tĩnh mạch não không có triệu chứng, chỉ được phát hiện khi vỡ. Tỷ lệ xuất huyết não của dị dạng động tĩnh mạch não chưa vỡ là 2-4% mỗi năm. Tỷ lệ này sẽ gia tăng theo tuổi, tiền sử dị dạng động tĩnh mạch não xuất huyết trước đó, đặc điểm dị dạng có túi phình mạch máu não kèm theo, vị trí ở tiểu não hoặc vị trí sâu trên lều.
Bên cạnh đó, bệnh cơ tim xốp là một bệnh lý tim mạch hiếm gặp, có thể xuất hiện đơn độc hoặc phối hợp với các dị tật tim bẩm sinh hoặc các hội chứng di truyền. Biểu hiện rất thay đổi, từ không triệu chứng đến suy tim, loạn nhịp tim hoặc đột tử.
Việc mắc hai bệnh hiếm - dị dạng mạch máu não và bệnh cơ tim xốp trên cùng một bệnh nhân rất hy hữu. Ở trường hợp bệnh nhi T., hai bệnh lý đều không biểu hiện triệu chứng.

Theo VietNamNet