"Bác sĩ bác sĩ ... Con tôi lỡ nuốt phải thủy ngân trong nhiệt kế. Tôi phải làm sao?", trong phòng cấp cứu của Bệnh viện Phụ nữ và Trẻ em Thanh Đảo, một cặp vợ chồng ôm con lo lắng hỏi han.
Bé gái 2 tuổi cắn nhiệt kế thủy ngân, hành động của người mẹ được bác sĩ khen ngợi
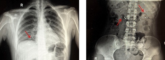
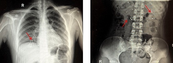
Hóa ra khi bé Ruirui, con của cặp đôi này đo nhiệt kế, bé đã nghịch ngợm và cắn vỡ nhiệt kế đồng thời nuốt phải thủy ngân khi bố mẹ không để ý. Khi phát hiện ra điều này, bố mẹ bé hết sức hốt hoảng và đã vội vàng đưa bé đến bệnh viện.
Hiện nay, việc theo dõi thân nhiệt đã trở thành một thao tác không thể thiếu trong mỗi gia đình, nhiều bậc cha mẹ cho rằng số liệu đo của nhiệt kế thủy ngân càng “chính xác” nên đây là vật dụng cần thiết phải có ở nhà. Tuy nhiên, một số phụ huynh bất cẩn, cất giữ thủy ngân không đúng cách, rất dễ dẫn đến tai nạn.

Cách sơ cứu này có đúng không? Sau khi nghe lời 2 vị phụ huynh này nói, bác sĩ đã giơ ngón tay cái lên bày tỏ sự khen ngợi.
Bác sĩ giải thích, nhiệt kế thủy ngân được làm bằng thủy tinh và kim loại thủy ngân, các mảnh vỡ có thể gây tổn thương niêm mạc miệng, họng, đường tiêu hóa, thậm chí có thể dẫn đến thủng trong trường hợp nặng.

Thủy ngân được hấp thụ rất ít qua đường tiêu hóa nhưng nếu nuốt nhầm thủy ngân, nếu có vết thương loét trên niêm mạc đường tiêu hóa, thủy ngân sẽ vào máu người ngay qua vết loét hoặc vết thương. Và nguy cơ thủy ngân bị hấp thụ vào cơ thể rất cao, có thể gây nguy hiểm nghiêm trọng đến tính mạng. Khi người bệnh nuốt nhầm thủy ngân, họ nên uống lòng trắng trứng hoặc sữa để bảo vệ niêm mạc đường tiêu hóa và giảm hấp thu chất độc một cách hiệu quả.
Sau khi các bác sĩ khoa cấp cứu tiến hành làm sạch miệng, rửa dạ dày, gây nôn, đẩy nhanh bài tiết và các biện pháp khác, cuối cùng lượng thủy ngân còn sót lại trong dạ dày của Ruirui cũng được đào thải ra ngoài.
Trẻ nuốt phải thủy ngân, nhớ cho bé uống lòng trắng trứng, sữa hoặc sữa đậu nành
Sau khi nhiệt kế bị vỡ, bạn không nên dùng tay nhặt trực tiếp xỉ và hạt thủy ngân, nếu có vết thương ở tay hoặc da bị đứt khi nhặt lên có thể khiến thủy ngân xâm nhập vào máu qua vết thương.
Đầu tiên, bạn phải cho trẻ ra khỏi phòng có chứa chiếc thủy ngân bị vỡ, quan sát kỹ xem miệng trẻ có bị xước không, lấy mảnh thủy tinh ra khỏi miệng trẻ. Tiếp theo, tìm các vết xước trên ngón tay của trẻ và làm sạch khu vực trẻ tiếp xúc với thủy ngân.

Đối với trường hợp trẻ nuốt phải thủy ngân, trước tiên bạn có thể cho trẻ uống một ít lòng trắng trứng, sữa hoặc sữa đậu nành để bảo vệ niêm mạc đường tiêu hóa, cuối cùng nên đưa trẻ đến bệnh viện càng sớm càng tốt.
Thủy ngân tiếp xúc với không khí có thể dễ dàng bay hơi vào không khí nhưng điều này còn nguy hiểm hơn là vô tình nuốt phải thủy ngân. Do thủy ngân bay hơi trong không khí, nó sẽ biến thành hơi thủy ngân, dễ bị hít vào cơ thể gây ngộ độc.
Vì thủy ngân dễ bay hơi hơn ở nhiệt độ cao, bạn nên tắt bếp ngay lập tức. Đóng tất cả các cửa ra vào và cửa sổ sang các phòng khác, mở cửa ra vào và cửa sổ của các phòng bị ô nhiễm, và duy trì thông gió trong ít nhất 24 giờ.
Dùng thìa nhỏ hoặc găng tay để thu nhặt thủy ngân rơi vãi trên mặt đất bằng tăm bông ẩm hoặc băng dính và cho vào lọ đậy kín, sau đó thêm một lượng nhỏ nước vào lọ và ghi "Rác thủy ngân" trên lọ rồi ném vào thùng rác.
Theo Emdep.vn
