Thấy con liên tục ho khò khè, mẹ của bé gái 3 tuổi tại Đức Hòa, Long An đưa con đi khám nhiều nơi và được chẩn đoán là viêm phổi, theo dõi suyễn.
Theo lời kể của gia đình bé A (3 tuổi, ngụ Đức Hoà, Long An), 2 tháng trước đó bé đang ăn đậu phộng thì hóc sặc, có ói ra vài hạt đậu phộng, mẹ yên tâm nghĩ không còn dị vật nào dù con khò khè và hay ho kéo dài từ đó.
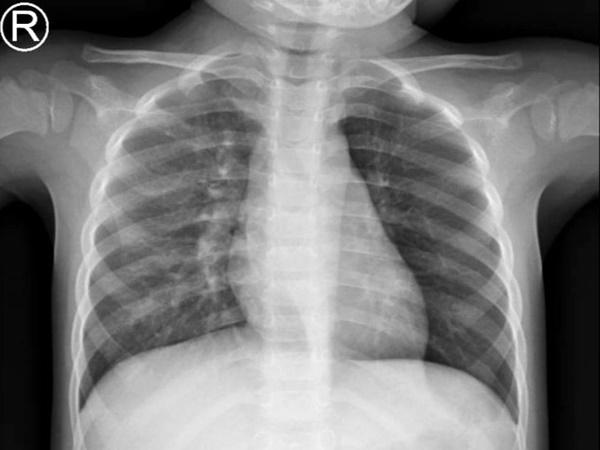
Thấy bé ngày càng khó thở sau một thời gian dài điều trị kháng sinh, xông thuốc nhiều nơi, gia đình bé đến Bệnh Viện Nhi Đồng Thành Phố. Kết quả chụp X-quang phổi thẳng dù không phát hiện dị vật nhưng có dấu hiệu ứ khí khu trú phổi trái trên phim.
Kết hợp bệnh sử hóc sặc trước đó, kèm hội chứng xâm nhập khá rõ, BS CK1 Phạm Đỗ Thiên Ân, khoa Hô Hấp ra sức nhiều lần thuyết phục mẹ cho bé nội soi đường thở kiểm tra dị vật. Qua 3 lần tham vấn tận tình, giải thích rõ nguy cơ viêm phổi nặng nếu không loại bỏ dị vật, người nhà quyết định đồng ý nội soi.
Tiến hành gây mê nội soi đường thở, TS.BS Trịnh Hồng Nhiên, trưởng khoa Hô Hấp phát hiện có hạt đậu phộng nằm gần bít lòng phế quản thùy dưới phổi trái kích thước 5 mm. Sau khi được các bác sĩ gắp dị vật ra, sức khỏe của bé dần ổn định, phổi bớt ứ khí, viêm phổi cải thiện và đáp ứng kháng sinh điều trị hiệu quả.

Hình ảnh dị vật trên phim X-Quang.
Theo bác sĩ Thiên Ân, không ít trường hợp dị vật đường thở của trẻ dễ bị tưởng nhầm thành viêm phổi, hen suyễn. Nhiều trẻ được cho dùng kháng sinh kéo dài dẫn đến những biến chứng nặng nề như như xẹp phổi, tạo áp xe mủ trong phổi, hoại tử, tràn khí màng phổi... Có những trường hợp để lại di chứng não suốt đời cho trẻ.
“Một số dị vật đường thở thường gặp là các loại hạt thực vật như đậu phộng, hạt dưa, hạt bí hạt me, mãng cầu, bắp rang..., các loại xương cá, xương heo, lươn... các loại đồ chơi có kích thước nhỏ, một số vật dụng sinh hoạt hằng ngày, các loại pin... Nhiều loại dị vật rất trơn, rất dễ tuột sâu vào lòng phế quản, đi sâu vào trong và gây tổn thương phổi”, bác sĩ Ân nói.

Dị vật được thấy trong quá trình nội soi.
Ngoài các loại hạt và dị vật cứng trên, một số trường hợp trẻ hóc thạch dừa, rau câu, trân châu. Đây là dị vật nguy hiểm vì thường mềm, trơn tuột, dễ nát nên khiến các bác sĩ gặp nhiều khó khăn khi lấy ra.
Chuyên gia khuyến cáo:
- Phải biết cách phát hiện kịp thời khi trẻ có khả năng bị dị vật đường thở, tránh để quá lâu, dẫn đến nhiều trường hợp đáng tiếc.
- Phải nghĩ tới dị vật khi trẻ đang chơi đang ăn đột nhiên ho, sặc sụa, tím tái, khó thở, ngạt thở có khi rất đột ngột. Nhiều trẻ có thói quen ngậm đồ chơi, nhặt các đồ vật lạ, thức ăn rơi vãi cho vào miệng rất dễ khiến dị vật lọt sâu vào đường thở mà bố mẹ không biết.
- Cần đưa trẻ đi khám chuyên khoa khi có biểu hiện ho khò khè lâu ngày, khó thở.
- Phụ huynh cần luôn để ý đến con, tránh cho bé ăn các loại thực phẩm dễ gây hóc, nghẹt đường thở như các loại hạt, thạch, những loại trái cây có hạt nhỏ...

Dị vật sau khi được lấy ra ngoài.
- Thức ăn nên cắt làm nhiều mảnh nhỏ, cẩn thận khi chế biến và cho trẻ ăn các đồ ăn có xương.
- Tránh các thói quen nguy hiểm như bóp mũi nhét đồ ăn vào khi trẻ khóc, biếng ăn.
- Ngoài ra, không nên cho trẻ chơi đồ chơi quá nhỏ, góc cạnh, có nhiều bộ phận dễ tách rời, chơi mà không có sự giám sát của người lớn. Không để đồ chơi, vật dụng quá nhỏ, có thể nguy hiểm trong tầm tay của trẻ, gần nơi ăn, nơi ngủ...
- Khi phát hiện trẻ ngậm phải vật lạ trong miệng, cần giữ bình tĩnh, không gây hốt hoảng, sợ hãi cho trẻ.
- Không tự ý dùng tay móc dị vật trong họng.
- Khi dị vật đã lọt vào đường thở, tùy từng trường hợp mà có cách xử trí đúng đắn, vỗ lưng ấn ngực hoặc Heimlich kịp thời nếu đã được hướng dẫn, để không dẫn đến những hậu quả đáng tiếc.
Theo Khám Phá
