Một tháng trước, Tiểu Lâm đột nhiên xuất hiện triệu chứng bị nôn ọe nghiêm trọng, người nhà cứ nghĩ bé bị viêm dạ dày nhưng thực chất là Tiểu Lâm mắc một căn bệnh khác nguy hiểm hơn gấp vạn lần.
Tiểu Lâm (10 tuổi) là một cậu bé có tính cách vui vẻ, hoạt bát. Một tháng trước, Tiểu Lâm đột nhiên xuất hiện triệu chứng nôn ọe nghiêm trọng. Người nhà lập tức đưa cậu bé đến phòng khám bệnh, đồng thời cho sử dụng thuốc điều trị Viêm loét dạ dày ruột nhưng tình trạng nôn ói không thuyên giảm, thậm chí còn kèm theo triệu chứng đau bụng trên, thể trạng yếu ớt, không thể nói chuyện, hô hấp khó khăn. Sau đó, Tiểu Lâm được đưa vào bệnh viện cấp cứu. Bác sĩ chẩn đoán Tiểu Lâm mắc bệnh cơ tim giãn, đồng thời có dấu hiệu suy tim nghiêm trọng. Sau khi tiến hành điều trị, dấu hiệu suy tim được cải thiện nhưng bệnh nhi vẫn cần tích cực điều trị.
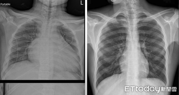
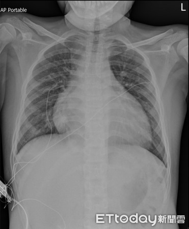
Ảnh chụp X-quang của Tiểu Lâm
Bác sĩ Ngụy Dục Nhân, chuyên ngành khoa nhi, bệnh viện National Cheng Kung University Hospital (Đài Loan) cho biết: Bệnh cơ tim giãn là biến chứng cơ tim thường thấy ở trẻ nhỏ, thậm chí bệnh có thể xuất hiện sớm ở giai đoạn trẻ sơ sinh. Đặc trưng là tâm thất trái hoặc cả hai tâm thất trái phải phình đại khiến cơ tim không co lại bình thường, tim không thể bơm nhiều máu dẫn đến tình trạng suy tim. Bệnh cơ tim giãn xảy ra ở trẻ nhỏ không có triệu chứng hoặc có triệu chứng từ nhẹ đến nặng. Trong đó, 80% triệu chứng tương tự như viêm dạ dày ruột khiến cơ thể suy yếu, hô hấp khó khăn, nôn ói. Trong trường hợp nghiêm trọng, bệnh nhi sẽ xuất hiện triệu chứng suy tim và bị choáng.
Bác sĩ Ngụy Dục Nhân cho biết: Chỉ một số ít bệnh nhân có thể sử dụng thuốc cải thiện tình trạng bệnh và duy trì cuộc sống thường ngày. Hiện tại, loại thuốc mới đang được tiến hành kiểm nghiệm lâm sàng. Đa số bệnh nhân vẫn phải chống chọi với triệu chứng của bệnh và có tỉ lệ tử vong cao. Song song với điều trị tích cực sử dụng thuốc, bệnh nhân nên suy nghĩ đến việc cấy ghép tim.
Bệnh cơ tim giãn có 20 - 30% người bệnh do đột biến gene liên quan đến tế bào cơ tim. Những nguyên nhân khác bao gồm: viêm cơ tim, thiếu máu cơ tim, bệnh tim bẩm sinh, rối loạn nội tiết tố hoặc biến chứng do nhóm cơ thần kinh gây ra.
Theo Helino


