Chủ đề
bệnh lạ
Cả làng mắc chứng lạ mỗi lần ngủ là li bì một tuần mới thèm dậy, giới khoa học đau đầu tranh cãi mãi mới tìm ra nguyên nhân
Các nhà khoa học không khỏi sốc khi người dân một ngôi làng nhỏ bỗng dưng ngủ li bì mê man như "công chúa ngủ trong rừng".
Cô gái mắc bệnh lạ khiến 1 chân không ngừng phù ra, bị trêu chọc là “quái vật” nhưng cơ thể và cuộc sống hiện tại khiến ai cũng thán phục
Dù cho không phải là người phụ nữ xinh đẹp nhất, nụ cười rạng rỡ luôn trên môi Mahogany Geter lại tạo ra sức hút khó cưỡng.
43 người Canada mắc bệnh lạ gây co thắt cơ bắp, mất trí nhớ và ảo giác
Các quan chức ở Canada đang chạy đua để tìm ra nguyên nhân của căn bệnh não bí ẩn đã khiến hơn 40 người ở tỉnh New Brunswick mắc phải. Các triệu chứng của căn bệnh này bao gồm mất trí nhớ và ảo giác.
Loại bệnh lạ khiến người mắc phải cười cho đến chết, nguyên nhân đến từ một hủ tục "rợn gáy" của bộ tộc cổ xưa
Ai cũng bảo "một nụ cười bằng mười thang thuốc bổ” nhưng riêng trường hợp này thì không vì chúng sẽ làm bệnh nhân chết từ từ trong đau đớn.
Người phụ nữ Anh cứ gặp trai đẹp là ngất xỉu
Mắc phải một chứng bệnh hiếm gặp về rối loạn gene, một người phụ nữ 32 tuổi ở Anh sẽ mất kiểm soát và bất tỉnh khi nhìn thấy đàn ông đẹp trai, hấp dẫn.
Ăn kim loại, loét da toàn thân và những căn bệnh lạ ở Việt Nam
Với sự phát triển của y học, Việt Nam ghi nhận ngày càng nhiều người mắc hội chứng lạ lùng mà thế giới chưa tìm ra nguyên nhân.
Bé gái tắc ruột vì hội chứng ăn tóc
Khi phẫu thuật, các bác sĩ phát hiện có một búi tóc rất to ở đoạn ruột non làm tắc nghẽn đường ruột bé gái 8 tuổi.
Bé gái 8 tuổi mang hình hài của bà cụ 70 tuổi, trông yếu ớt nhưng vô cùng mạnh mẽ, vẫn không tránh khỏi số phận định sẵn
Đây là một căn bệnh di truyền hiếm gặp khiến người bệnh bị lão hóa ngay từ khi còn rất nhỏ, chỉ xảy ra 1 trường hợp trên 4 triệu người.
Chào đời với làn da nhăn nheo như một ông già, bé trai khiến bố mẹ sốc nặng, nhiều năm sau ai cũng choáng khi nhìn thấy hình hài đứa trẻ
Không chỉ các bác sĩ, mà chính bố mẹ của Tomm cũng không thể tưởng tượng nổi con trai mình lại mang dáng vẻ kỳ dị như vậy.
Những hình ảnh không thể nào quên về Đinh Văn K'rể: Tạm biệt cậu bé tí hon với nụ cười luôn nở trên môi
Vĩnh biệt cậu bé tí hon K'rể nhưng tất cả sẽ nhớ mãi nụ cười thật tươi cùng sự dũng cảm phi thường của em.
Cậu bé tí hon K'rể qua đời khiến nhiều người xót xa
Chiều 9/11, thông tin cậu bé tí hon K'rể qua đời được thầy giáo Đặng Văn Cương chia sẻ đã khiến nhiều người tiếc thương.
Căn bệnh của người đàn ông "mặt quỷ" đã được giải mã, giành giải thưởng tại cuộc thi y khoa ở Hoa Kỳ
Công trình nghiên cứu y khoa của một nhóm bác sĩ ở Việt Nam cùng cộng sự về trường hợp bệnh lạ của anh Lê Văn Mến đã giành giải thưởng trong một cuộc thi y khoa ở Hoa Kỳ.
Không thể kiểm soát được 2 chân, lúc nào cũng có cảm giác muốn di chuyển: Hội chứng này ảnh hưởng đến sức khỏe thế nào?
Bạn đã bao giờ cảm thấy chân tự di chuyển và không thể kiểm soát chưa? Đây có thể là dấu hiệu của căng cơ, co giật ngẫu nhiên hoặc cảnh báo một điều gì đó đang xảy ra trong não bộ.
Giả thiết về căn bệnh lạ giúp danh họa Leonardo da Vinci tạo ra các tuyệt tác hội họa vĩ đại
Hầu như ai cũng biết tới bức họa nàng Mona Lisa nổi tiếng của danh họa Leonardo da Vinci, nhưng làm sao để ông có thể vẽ nên một kiệt tác hoàn hảo như vậy giờ đây đã có lời giải đáp.
Hội chứng khiến bé trai 6 tháng tuổi "mọc đuôi" 5cm, em bé 11 tháng tuổi có "đuôi" dài 15cm và ngày càng dài
Hội chứng khiến bé trai 6 tháng tuổi "mọc đuôi" 5cm, em bé 11 tháng tuổi có "đuôi" dài 15cm và ngày càng dài
Người phụ nữ mắc căn bệnh đau đớn nhất thế giới
Kayla Hansen mắc căn bệnh mà nỗi đau của nó mang lại hơn cả khi sinh con, gãy xương hay hóa trị ung thư.
Lịch sử Việt từng có vị vua mắc bệnh lạ: Lông lá mọc khắp người, triều đình phải làm cũi vàng nhốt vào và quá trình điều trị xứng đáng là một kỳ tích
Theo sử sách ghi lại, vào năm 21 tuổi vua Lý Thần Tông bỗng mắc một chứng bệnh kỳ lạ. Ngài ngứa ngáy khắp mình mẩy, càng gãi lông càng mọc khắp người, tính khí cuồng loạn, cả ngày gầm thét như hổ...
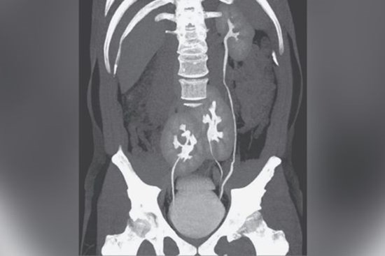
Bị đau lưng, người đàn ông đi khám mới biết mình có tới 3 quả thận
Một người mà có tới 3 quả thận là trường hợp rất hiếm gặp, trong tài liệu y khoa, số ca bệnh này còn chưa đến 100.
Bé gái 11 tuổi ở Hà Nội có khối u khổng lồ trong cơ thể chứa toàn tóc, nguyên nhân do 1 thói quen từ năm 2 tuổi của bé
Bệnh nhân có tiền sử bứt tóc ăn từ lúc 2 tuổi nhưng gia đình không để ý và chỉ đưa con đến bệnh viện khi bé xuất hiện đau bụng vùng thượng vị.
 
                     
                     
                     
                     
                     
                     
                     
                     
                     
                     
                     
                     
                     
                     
                     
                     
                     
                    