Theo một báo cáo trên Tạp chí Y học New England (NEJM), một người đàn ông Brazil, 38 tuổi, đã đến gặp bác sĩ để khám về chứng đau thắt lưng. Các bác sĩ khám bệnh cho anh ta đã vô cùng bất ngờ khi phát hiện ra một trường hợp cực kỳ hiếm gặp.
Để tìm ra nguyên nhân cơn đau dữ dội của người đàn ông này, các bác sĩ tại bệnh viện do Rim ở São Paulo, Brazil, đã thực hiện chụp CT. Quá trình chụp chiếu cho thấy người đàn ông bị thoát vị đĩa đệm hoặc "trượt đĩa đệm" - một tình trạng tương đối phổ biến khi phần đệm giữa các đốt sống cột sống di chuyển ra khỏi vị trí.
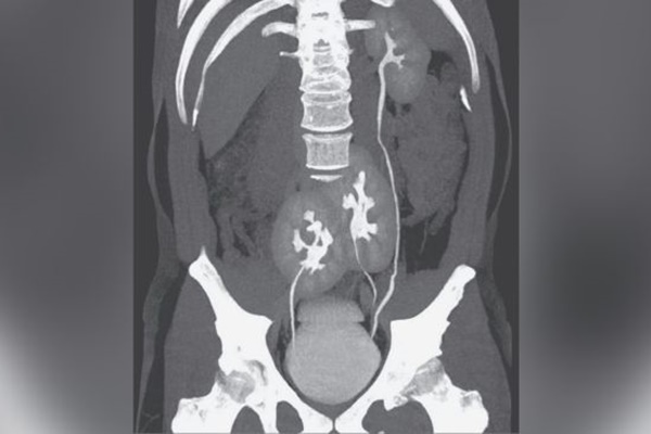
Tuy nhiên, đây không phải là điều duy nhất khiến các bác sĩ quan tâm. Họ còn phát hiện ra một điều rằng người đàn ông này có một đặc điểm giải phẫu khác thường. Anh ta có tới 3 quả thận chứ không phải 2 quả thận như người bình thường. Theo báo cáo cho biết, một quả thận trông bình thường ở bên trái và hai quả thận hợp nhất nằm gần xương chậu.

Hình ảnh chụp CT cho thấy ba quả thận của người đàn ông: Một quả thận xuất hiện bình thường ở bên trái và hai quả thận hợp nhất ở xương chậu. (Ảnh: © Tạp chí Y học New England © 2020)
Người đàn ông không có bất kỳ triệu chứng nào liên quan đến vấn đề về thận và các cơ quan dường như hoạt động bình thường.
Thông thường, mỗi quả thận được kết nối với bàng quang thông qua một ống duy nhất gọi là niệu quản. Trong trường hợp của người đàn ông này, một trong những quả thận gần xương chậu được kết nối trực tiếp với bàng quang thông qua niệu quản. Tuy nhiên, niệu quản của quả thận gần xương chậu còn lại nối với niệu quản của thận bình thường ở bên trái trước khi nó đi vào bàng quang.
Có ba quả thận là tình trạng rất hiếm gặp, các trường hợp được báo cáo trong tài liệu y khoa còn chưa đến 100 ca. Tình trạng này được cho là phát sinh trong quá trình phát triển phôi, khi một cấu trúc hình thành một quả thận tách làm hai.
Bởi vì tình trạng này thường không gây ra các triệu chứng gì cụ thể nên mọi người thường không biết mình "khác thường". Các trường hợp thường được phát hiện do thực hiện các xét nghiệm y tế không liên quan, các tác giả của báo cáo NEJM cho biết.
Như với trường hợp của người đàn ông nói trên, anh ta không cần bất kỳ sự chăm sóc y tế nào cho quả thận thừa của mình. Theo báo cáo, anh ta chỉ được kê thuốc giảm đau dạng uống để tình trạng đau lưng của mình.
Theo Báo dân sinh
