Bệnh nhân nữ, 28 tuổi ở Trung Quốc lần đầu lên cơn động kinh nặng "đột ngột ngã xuống đất, chân tay co giật và sùi bọt mép" cách đây 4 năm. Ban đầu, mặc dù kiểm tra cho thấy những bất thường ở não nhưng các bác sĩ vẫn chưa thể chẩn đoán được nguyên nhân cụ thể. Cùng lúc đó, người này bắt đầu cảm thấy chân tay phải yếu đi.
Sau đó một thời gian, cô gái được phán đoán mắc bệnh sán não. Vì bào tử sống nằm ở vùng chức năng nội sọ nên phẫu thuật có thể gây tổn thương và làm nặng thêm tình trạng rối loạn chức năng, do đó bệnh nhân được chỉ định theo dõi thêm.
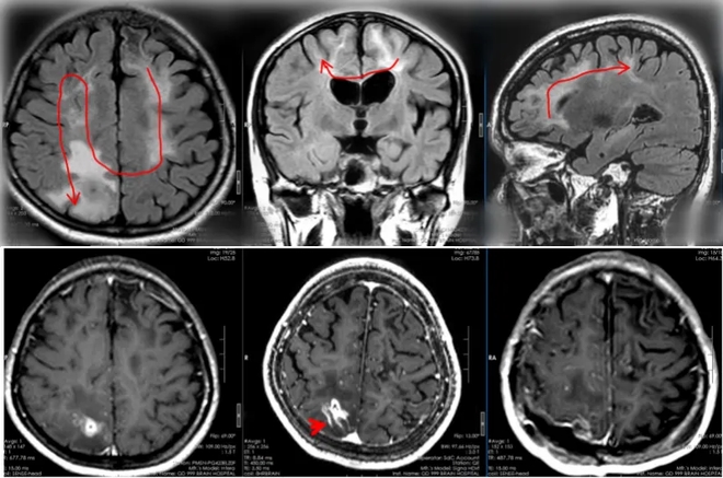
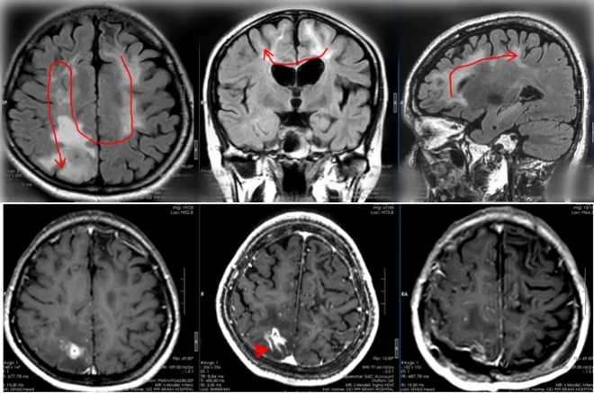
Trong hai năm qua, bệnh nhân này vẫn kiên trì dùng thuốc và khám sức khỏe định kỳ, không còn bị động kinh nữa. Tuy nhiên, chân phải của cô tiếp tục yếu và trí nhớ cũng suy giảm. Vào ngày 20/4 vừa qua, các bác sĩ cuối cùng đã phát hiện con giun ký sinh di chuyển đến vùng không còn chức năng của thùy đỉnh bên phải của bệnh nhân.


Chớp lấy thời cơ, 3 ngày sau, bệnh nhân được thực hiện ca phẫu thuật mở hộp sọ cho bệnh nhân, không chỉ "bắt" thành công một con giun dài 20cm còn sống , mà còn loại bỏ được "tổ giun" (u hạt viêm).
Bác sĩ phân tích rằng "việc bệnh nhân nhiễm bệnh ấu trùng sán nhái có liên quan đến chế độ ăn uống của cô ấy". Hóa ra bệnh nhân nữ không chỉ uống nước thô (chưa qua xử lý) khi còn trẻ mà còn ăn cả ếch, ốc hoang dã...
Được biết, ấu trùng sán nhái không chỉ ký sinh ở động vật như ếch, rắn, ốc sên mà còn có thể có bọ chét nước bị ký sinh bởi proto cercariae trong nước giếng hoặc nước suối trên núi. Nếu tiêu thụ nước thô hoặc ăn thịt ếch ốc, cá sống, thịt rắn... chưa qua xử lý, bạn có thể bị nhiễm bệnh ấu trùng sán nhái.
Khi ấu trùng sán nhái di chuyển đến não, động kinh là một triệu chứng phổ biến và cũng có thể gây ra yếu chân tay, nhức đầu, nôn mửa và các triệu chứng khác, bác sĩ nhắc nhở rằng phòng ngừa là chìa khóa để tránh nhiễm ký sinh trùng. Căn bệnh này có thể phòng tránh hiệu quả bằng cách duy trì thói quen sinh hoạt tốt, không uống nước thô, không ăn thịt sống và thực hiện các biện pháp bảo vệ khi hoạt động ngoài trời.
Theo Phụ nữ mới
