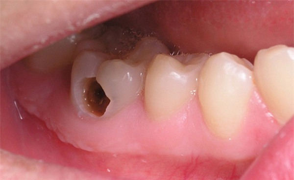
Cái răng cái tóc là gốc con người, hàm răng đẹp không chỉ khiến nụ
cười trông duyên dáng hơn mà còn phản ánh rất nhiều về tình trạng sức
khỏe. Đừng tiếc tiền đến nha sĩ khám răng khi bị sâu vì mối nguy hiểm từ chiếc răng sâu đến sức khỏe bạn là vô cùng lớn đấy.
Theo
tờ Sina đưa tin một người đàn ông 40 tuổi sống tại Vũ Hán, Trung Quốc
đã qua đời bởi chiếc răng sâu gây nên. Ông này bị sâu răng và bị hành hạ
bởi những cơn ê buốt, nhưng ông nghĩ rằng sâu răng chỉ là bệnh đơn giản
và tự mua thuốc giảm đau, thuốc tây chữa trị tại nhà cho mình.

(Ảnh: Internet)
Đến khi đau không thể chịu nổi nữa ông mới đến bệnh viện để khám và lúc này bác sĩ lắc đầu trả lời không còn đường cứu chữa. Do sâu răng quá nặng, ảnh hưởng đến tủy và các vùng miệng lân cận xung quanh gây nhiễm trùng máu. Các bác sĩ đành bất lực nhìn người đàn ông này tử vong.
Một
trường hợp khác là cậu bé 12 tuổi, sống tại Maryland, Mỹ đã tử vong do
chứng áp xe răng lây sang não. Nguyên nhân của chứng áp xe răng là do vệ
sinh răng miệng không kĩ, các mảng bám còn lại của thức ăn tạo điều
kiện thuận lợi cho vi khuẩn sinh sôi, từ đó gây nhiễm trùng bọc mủ, làm
sưng mô, huỷ hoại chân răng. Nếu chân răng bị chết thì ta sẽ không cảm
giác đau nữa nhưng nhiễm trùng vẫn tiếp tục hoạt động và lây lan sang
những vùng lân cận, nguy hiểm nhất là lây sang não và gây tử vong như
trường hợp của cậu bé trên.
Vì vậy đừng xem
thường sâu răng và các dấu hiệu đau răng, chúng nguy hiểm hơn ta tưởng
và có thể cướp đi tính mạng ta bất cứ lúc nào.
Một số biện pháp giữ vệ sinh, phòng chống các bệnh về răng miệng

(Ảnh: Internet)
- Sử dụng nước súc miệng có chất fluoride để diệt khuẩn toàn bộ khoang miệng (có thể thay bằng nước muối loãng)
- Đánh răng ít nhất hai lần một ngày với kem đánh răng
- Xỉa răng hoặc làm sạch kẽ răng bằng chỉ nha khoa khi dính mảng bám
- Thay thế bàn chải đánh răng mỗi tháng ba hoặc bốn lần, hoặc bất cứ khi nào lông chải kém.
- Ăn một chế độ ăn uống cân bằng, và hạn chế thức ăn ngọt và đồ ăn nhẹ giữa các bữa.
- Gặp nha sĩ để kiểm tra thường xuyên và làm sạch chuyên nghiệp.
Theo Trí thức trẻ
Theo Trí thức trẻ