Thai phụ mang thai 37 tuần tuổi liên tục đau đầu, chóng mặt. Người phụ nữ tưởng đây là những dấu hiệu thai kì nhưng hóa ra là bệnh nguy hiểm có thể đe dọa tính mạng.
Ở tuần thai thứ 37, chị N.T.N (33 tuổi, ngụ TP.HCM) gần đây bỗng thấy đau đầu, chóng mặt dữ dội. Vì nghĩ đây là dấu hiệu bình thường của thai kì nên chị N.T.N đã đến thăm khám ở một bệnh viện sản khoa.
Qua kiểm tra, không phát hiện có dấu hiệu khác thường ở thai kì, bác sĩ khuyên chị nên đến bệnh viện đa khoa để kiểm tra toàn diện. Tại Bệnh Viện Đại học Y dược TP.HCM, các bác sĩ phát hiện thai phụ bị xuất huyết dưới nhện, một bệnh lý vỡ túi phình động mạch não nguy hiểm.

Thai phụ đã được bác sĩ mổ bắt con thành công đồng thời can thiệp bít túi phình mạch não. Ảnh: BSCC
Theo bác sĩ Trần Quốc Tuấn, khoa Ngoại Thần kinh, xuất huyết dưới nhện rất nguy hiểm. Bởi ở giai đoạn túi phình động mạch não chưa lớn và chưa vỡ thì người bệnh hầu như không có triệu chứng gì. Các túi phình mạch máu não chỉ có thể phát hiện dựa trên các chẩn đoán hình ảnh học.
Nếu túi phình to (chưa vỡ) thì có thể gây triệu chứng yếu liệt chi, liệt vận động mắt hoặc mờ mắt do chèn ép dây thần kinh. Khi túi phình vỡ gây xuất huyết khoang nội sọ, người bệnh sẽ đau đầu đột ngột dữ dội, cổ cứng, nặng hơn có thể kèm rối loạn tri giác và động kinh.

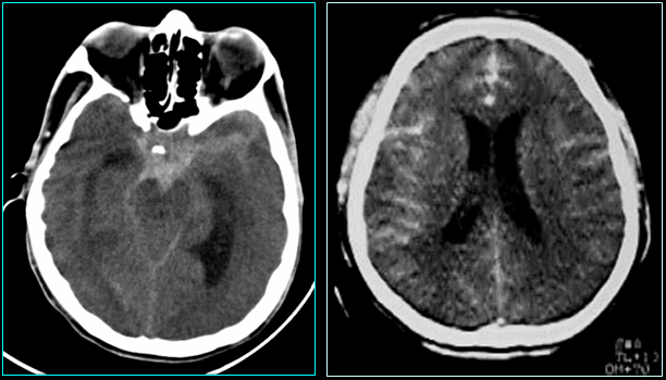
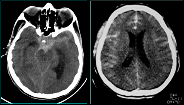
Ảnh chụp phát hiện xuất huyết dưới nhện của thai phụ. Ảnh: BSCC
Trường hợp thai phụ N., sau khi hội chẩn và cân nhắc các nguy cơ, bác sĩ quyết định mổ lấy thai ở tuần thứ 37 và tiếp tục can thiệp mạch máu não điều trị cho chị N. sau sinh để giữ an toàn cho cả mẹ và thai nhi. Ê- kíp đã can thiệp kịp thời và đã giúp chi N có ca sinh mổ an toàn.
Sau đó, sản phụ được tiếp tục chỉ định chụp DSA để xác định túi phình động mạch não và được can thiệp bít túi phình mạch não tại chỗ. Hiện tại, con của chị N đã được đưa về nhà chăm sóc, riêng chị vẫn được chăm sóc và theo dõi.
Xuất huyết dưới nhện - bệnh lý nguy hiểm bà bầu phải đặc biệt chú ý
Xuất huyết dưới nhện hay xuất huyết trong khoang dưới nhện nội sọ là bệnh lý chảy máu nội sọ xung quanh não. Bệnh lý này rất nguy hiểm, các chuyên gia khuyến cáo nếu xuất hiện triệu chứng như: đau đầu đột ngột dữ dội, nên ngay lập tức đưa bệnh nhân đến các cơ sở y tế thực hiện các kiểm tra hình ảnh học để xác định nguy cơ xuất huyết dưới nhện.
Tỉ lệ mắc túi phình động mạch não khá cao, chiếm 3-5% dân số. Nếu người bệnh không được bít hoặc kẹp túi phình mạch máu não kịp thời thì nguy cơ vỡ lại rất cao, lên đến 20-30% trong 2 tuần đầu tiên và 50% trong 6 tháng đầu.
Nếu túi phình động mạch não vỡ lại, 70-90% người bệnh sẽ tử vong. Ngoài ra, xuất huyết dưới nhện còn có thể dẫn đến các hậu quả nặng nề như nhồi máu não, dãn não thất làm tổn thương hệ thần kinh của người bệnh.
Theo Khám phá
