Trung tâm Y học hạt nhân và ung bướu, Bệnh viện Bạch Mai (Hà Nội) vừa thông tin về ca ung thư phổi di căn não đang điều trị tại đây.
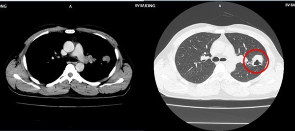
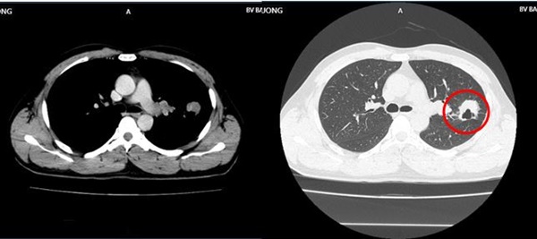
Bệnh nhân là anh H.V.H (43 tuổi) có tiền sử khỏe mạnh. Một tháng trước khi vào viện, anh H. ho khan và đau tức ngực trái. Người đàn ông này đi khám, chụp CT ngực phát hiện khối u thùy trên phổi trái kích thước 30x32mm, vài nốt mờ rải rác màng phổi 2 bên. Sau đó, anh nhập viện để điều trị.

Hình ảnh khối u thùy trên phổi trái, kích thước 30x32mm (vòng tròn màu đỏ), vài nốt mờ rải rác màng phổi 2 bên của bệnh nhân. Ảnh: BVCC
Qua các xét nghiệm, chụp chiếu, bác sĩ chẩn đoán bệnh nhân mắc ung thư phổi trái, dạng biểu mô tuyến di căn não. Bệnh nhân được chỉ định dùng thuốc điều trị đích thế hệ thứ 2: Afatinib 40mg/ngày.
Sau 9 tháng, người bệnh tỉnh, không còn ho, không đau ngực, không khó thở và hoạt động bình thường.
Hình ảnh CT ngực trước điều trị cho thấy u thùy trên phổi trái kích thước 30x32mm, vài nốt mờ rải rác màng phổi 2 bên. Hình ảnh CT ngực sau 9 tháng thể hiện khối u phổi phải tiếp tục giảm kích thước 16x19mm, không còn hạch rốn phổi. Hạch trung thất không còn, tổn thương di căn não đơn ổ biến mất, chất chỉ điểm khối u CEA, Cyfra 21-1 giảm về giới hạn bình thường.
Bệnh nhân không gặp tác dụng phụ đáng kể nào trong quá trình chữa. Người bệnh dung nạp thuốc tốt, bệnh đáp ứng một phần.
Ung thư phổi là bệnh lý ác tính rất phổ biến đứng thứ 2 về số ca mắc mới (theo GLOBOCAN 2020) và là bệnh ung thư có tỉ lệ di căn não cao nhất hiện nay.
Tại Việt Nam, ung thư phổi đứng thứ 2 trong các bệnh ung thư về tỉ lệ mắc cũng như tử vong và đa số các trường hợp khi được chẩn đoán bệnh thường ở giai đoạn muộn.
Có 2 loại chính của ung thư phổi:
- Ung thư phổi tế bào nhỏ: Chiếm khoảng 10%, diễn tiến ác tính, khi phát hiện đã cho xâm lấn và di căn xa.
- Ung thư phổi không tế bào nhỏ: Chiếm khoảng 90%, ít ác tính hơn, phát triển qua từng giai đoạn.
Theo các bác sĩ, hút thuốc lá là nguyên nhân chính gây ung thư phổi. 90% bệnh nhân ung thư phổi do hút thuốc lá. Mặc dù còn 4% bệnh nhân bị ung thư phổi mà không hút thuốc, nhưng họ đã hít một số lượng đáng kể khói thuốc lá (hít khói của người hút thuốc lá).
90% bệnh nhân ung thư phổi đã hút hơn 10 điếu thuốc lá/ngày trong 20 năm. Ở nước ta, hút thuốc lào cũng là một trong những nguyên nhân chính gây ung thư phổi.
Môi trường làm việc cũng là yếu tố dễ gây bệnh ung thư phổi. Những người tiếp xúc với khói, bụi có nguy cơ cao bị ung thư phổi đặc biệt là trong quá trình luyện thép, ni-ken, crôm và khí than.
Tiếp xúc với tia phóng xạ dễ dẫn tới các bệnh ung thư trong đó có cả ung thư phổi. Những công nhân mỏ uranium, fluorspar và hacmatite có thể tiếp xúc với tia phóng xạ do hít thở không khí có chứa khi radon.
Triệu chứng hay gặp nhất của ung thư phổi là ho kéo dài. Thở ngắn, ho có đờm lẫn máu và đau ngực cũng có thể là dấu hiệu chỉ điểm của ung thư phổi. Một thời gian sau, bệnh nhân có thể gầy sút, mệt mỏi, thở nông, khàn giọng, khó nuốt, đau xương, thở khò khè và tràn dịch màng phổi.
Về điều trị ung thư phổi đã có nhiều tiến bộ. Bên cạnh những phương pháp điều trị căn bản (phẫu thuật, xạ trị, hóa trị) đã có nhiều cách chữa mới (điều trị đích, điều trị miễn dịch…).
Các phương pháp này đã mang lại nhiều lợi ích hơn, góp phần kéo dài thời gian sống cũng như nâng cao chất lượng cuộc sống cho người bệnh ung thư phổi.
Theo VietNamNet
