Khi được chẩn đoán bị ung thư phổi tình trạng của bệnh nhân đã vô cùng nặng, không còn thời gian để phẫu thuật và hóa trị. Chỉ trong 5 ngày, hơi thở của cô gái trẻ dần yếu đi và qua đời.
Ho, khó thở, sốt là những chứng bệnh nhỏ bình thường trong cuộc sống, nhưng đôi khi, ho kéo dài lại là một tín hiệu cầu cứu của phổi.
Tiểu Mơ, 21 tuổi, đến từ Trung Quốc đã bị khó thở, sốt và ho kéo dài được một thời gian. Nhưng do bận bịu công việc gia đình và học hành, mãi đến gần đây cô mới đến bệnh viện địa phương để khám. Tại đây, Tiểu Mơ được chẩn đoán viêm phổi. Tuy nhiên, sau gần hai tuần điều trị, tình trạng của cô không được cải thiện.
Sau đó, Tiểu Mơ được gửi đến khoa Hô hấp của một bệnh viện lớn. Sau khi xem kết quả xét nghiệm, bác sĩ cho biết cô gái trẻ tuổi này đang ở giai đoạn cuối của ung thư phổi biểu mô tuyến. Ông lập tức làm thủ tục nội soi phế quản và đã đưa ra khẳng định cho kết luận của mình.

Chỉ mới 21 tuổi nhưng do chủ quan không đi khám, bệnh của Tiểu Mơ đã tiến triển thành ung thư giai đoạn cuối.
Tiểu Mơ và gia đình sau khi nghe tin đã khóc rất nhiều. Tại sao cô gái mới 21 tuổi mà đã bị ung thư giai đoạn cuối, thậm chí còn không phát hiện ra? Bác sĩ nói rằng một số bệnh ung thư phổi, có thể được phân biệt ngay lập tức, nhưng một số bệnh ung thư phổi rất khó nhận biết và có các triệu chứng như bệnh viêm phổi bình thường. Thêm vào đó, Tiểu Mơ để cơn ho của mình kéo dài nửa năm, tạo cơ hội cho tế bào ung thư âm thầm phát triển.
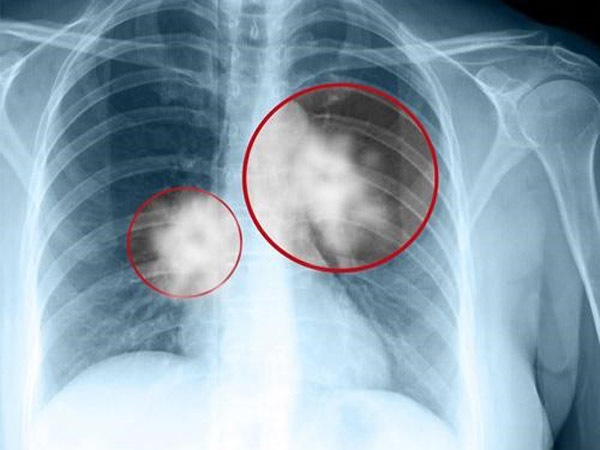
Từ hình ảnh X-quang, bác sĩ nói phổi của cô có màu trắng lớn, đó là viêm bạch huyết ung thư, có nghĩa là ung thư phổi di căn. Thật đáng tiếc khi không còn thời gian để phẫu thuật và hóa trị. Chỉ trong 5 ngày, hơi thở của Tiểu Mơ ngày càng yếu đi và qua đời
Ung thư phổi biểu mô tuyến
Là hình thức ung thư phổi phổ biến với phụ nữ, đặc biệt được phát hiện ở những người không hút thuốc, dưới 45 tuổi và hầu hết là người châu Á. Kiểu khác của loại ung thư phổi này là ung thư phổi phế nang được tìm thấy ở những phụ nữ trẻ không hút thuốc. Hiện nay ung thư phổi biểu mô tuyến vẫn ngày một tăng khi ung thư phổi biểu mô tế bào có dấu hiệu giảm.
Nguyên nhân các bệnh ung thư phổi nói chung một phần đều do hút thuốc. Cũng có rất nhiều trường hợp không hút thuốc là do tiếp xúc radon bên trong nhà. Ung thư phổi biểu mô tuyến là sự kết hợp nhiều yếu tố khác nhau.

Cách nhận biết ung thư phổi biểu mô tuyến
Thông thường, ung thư phổi biểu mô tuyến thường bắt đầu từ các mô nằm bên ngoài phổi. Khi mới hình thành, chúng ít bị phát hiện do không gây ra các triệu chứng đặc biệt. Những dấu hiệu mắc bệnh sớm như mệt mỏi, khó thở, đau lưng, vai…rất dễ bị bỏ qua.
Chỉ đến khi bệnh đã trở nên trầm trọng thì các dấu hiệu đặc trưng của ung thư phổi như ho lâu ngày, ho ra máu mới bắt đầu xuất hiện. Vì vậy, để phát hiện bệnh sớm, hãy chú ý những triệu chứng sau:
- Thở khó khăn, nặng nhọc: Bởi đây không phải một triệu chứng nghiêm trọng cho nên khiến nhiều người chủ quan. Tình trạng này xuất hiện do khối u ở phổi gây ra, cản trở quá trình hô hấp.
- Ho nhiều: Dấu hiệu này giống với các bệnh cảm thông thường vì vậy nhiều bệnh nhân không đi kiểm tra. Trên thực tế, ho dai dẳng kéo dài dẫn đến khàn tiếng, mất tiếng có thể do phổi gây ra do viêm phổi hoặc nhiễm trùng phổi.
- Đau tức ngực: Đây là dấu hiệu điển hình nhất của bệnh ung thư phổi. Cơn đau thường xuất hiện mỗi khi người bệnh hoạt động mạnh, ho hay cười nói.

- Sút cân một cách bất thường: Việc giảm sút cân nặng không phải do chế độ ăn uống, tập luyện gây ra đều rất có thể là dấu hiệu của một căn bệnh nào đó, trong đó có ung thư phổi. Nguyên nhân có thể do xuất hiện khối u ở phổi khiến gia tăng đột ngột sự trao đổi chất gây ra tình trạng trên.
- Đờm có lẫn máu: Ngay cả khi lượng máu lẫn trong đờm nhỏ thì bạn cũng nên đến bệnh viện để kiểm tra lại sức khỏe của mình.
- Dấu hiệu khác thường ở các mô vú: Đây là dấu hiệu thường gặp ở nam giới khi vùng ngực to lên bất thường do tế bào ung thư kích thích ảnh hưởng đến nội tiết tố.
- Đau vai: Hiện tượng này xảy ra khi có một khối u phát triển và chèn lên phần trên của phổi tạo áp lực dẫn đến đau nhức ở vai, cánh tay, bàn tay.
Theo VietNamNet
