Vài ngày sau, khi Tiểu Vân đang trò chuyện với người nhà thì đột nhiên ngất xỉu. Nhân viên y tế đã tiến hành hồi sức tim phổi, sốc điện trong quá trình đưa bệnh nhân nhập viện.
Bác sĩ Lý Dịch Đạt, khoa nội tim mạch, bệnh viện Buddhist Dalin Tzu Chi General Hospital, chia sẻ về trường hợp Tiểu Vân (20 tuổi). Vài tháng trước, Tiểu Vân đến khám tại khoa nội tim mạch do cảm thấy nhịp tim bất thường.
Tiểu Vân không có triệu chứng rõ ràng như thở gấp, tức ngực, không có tiền sử mắc bệnh huyết áp cao, mỡ máu cao, đường huyết cao, nhưng bác sĩ Lý Dịch Đạt thông qua điện tâm đồ phát hiện Tiểu Vân mắc bệnh rối loạn nhịp tim.
Tiến hành siêu âm tim phát hiện chức năng tim của Tiểu Vân hoạt động kém, người bệnh có nguy cơ đột tử. Do đó, bác sĩ Lý Dịch Đạt đã sắp xếp cho Tiểu Vân chụp cộng hưởng từ, kê đơn thuốc giảm thiểu nguy cơ đột tử và bảo vệ tim mạch cho người bệnh. Tiểu Vân đã về nhà và tiến hành theo dõi thêm bệnh tình.

Vài ngày sau, khi Tiểu Vân đang trò chuyện với người nhà thì đột nhiên ngất xỉu. Nhân viên y tế đã tiến hành hồi sức tim phổi, sốc điện trong quá trình đưa bệnh nhân nhập viện. Tại phòng cấp cứu, Tiểu Vân đã hồi phục nhận thức, tỉnh táo, cơ thể không cảm thấy khó chịu.
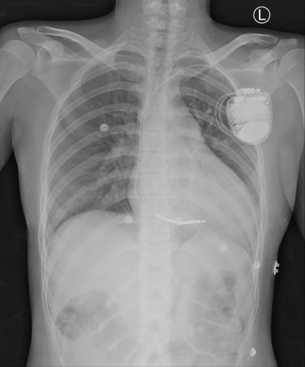
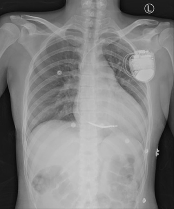
Bác sĩ Lý Dịch Đạt tiến hành cấy ghép máy khử rung tim (ICD) cho bệnh nhân, đồng thời điều chỉnh liều lượng sử dụng thuốc đã kê đơn ban đầu. Tiểu Vân đã xuất viện về nhà và không còn xảy ra tình trạng ngất xỉu.
Bác sĩ Lý Dịch Đạt cho biết: "Không chỉ người cao tuổi mà ngay cả người trẻ tuổi cũng có nguy cơ đột tử. Trường hợp Tiểu Vân do cấp cứu kịp thời nên đã thoát khỏi cơn nguy kịch. Nhóm người mắc bệnh huyết áp cao, mỡ máu cao, đường huyết cao, nhồi máu cơ tim, suy tim, cơ tim phì đại, ngất xỉu không rõ nguyên nhân hoặc gia đình có tiền sử người nhà đột tử đều là nhóm đối tượng có nguy cơ đột tử cao. Nếu bạn có biểu hiện tức ngực, thở gấp, nhịp tim bất thường, ngất xỉu thì nên nhanh chóng đến bệnh viện khám. Mỗi người nên tự trang bị kiến thức hồi sức tim phổi để sơ cứu người thân trong trường hợp nguy cấp".
Nếu bạn có biểu hiện tức ngực, thở gấp, nhịp tim bất thường, ngất xỉu thì nên nhanh chóng đến bệnh viện khám.
Rối loạn nhịp tim là gì?
Rối loạn nhịp tim là một bệnh tim đặc trưng bởi tần số hoặc nhịp tim bất thường: quá nhanh, quá chậm, quá sớm hoặc quá thất thường. Đồng thời bệnh thường phổ biến hơn nhiều với nam giới (70% các trường hợp), và 30% bệnh nhân là nữ (theo nghiên cứu thuộc Khoa Y, Trường Cao đẳng Y tế Baroda, Bệnh viện Đa khoa Sir Sayaji, Vadodara, Ấn Độ).
Các triệu chứng phổ biến của chứng rối loạn nhịp tim là:
- Nhịp tim chậm: Nhịp tim đập ít hơn 60 nhịp mỗi phút.
- Nhịp tim nhanh: Nhịp tim đập nhiều hơn 100 nhịp mỗi phút.
- Tức ngực.
- Khó thở.
- Choáng váng, chóng mặt.
- Đổ mồ hôi.
- Ngất xỉu hoặc gần ngất xỉu.
- Đánh trống ngực.
- Cảm giác ngực bị đè nén.
- Thở ngắn.
- Đau hoặc tức ngực.
- Yếu hoặc mệt mỏi
Những yếu tố nào làm tăng nguy cơ rối loạn nhịp tim?
Có rất nhiều yếu tố nguy cơ rối loạn nhịp tim, chẳng hạn như:
- Hút thuốc.
- Uống quá nhiều rượu hay cà phê.
- Lạm dụng ma túy.
- Stress.
- Bệnh tiểu đường.
- Chứng ngưng thở lúc ngủ.
- Di truyền.
Theo Helino
