Bệnh nhi là bé trai L.X.P. (4 tuổi, ngụ tại Tiền Giang) được gia đình đưa đến bệnh viện địa phương cấp cứu trong tình trạng khó thở, đau cổ, không thể ăn uống được. Người nhà cho biết, khoảng 5 giờ trước, bé đang chơi trò câu cá thì nuốt con cá đồ chơi.
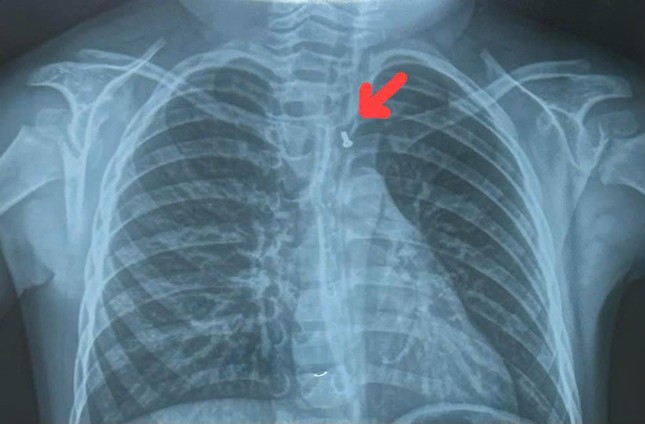
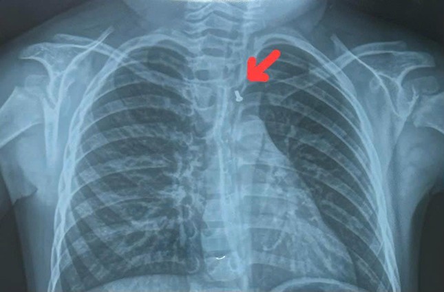
Bệnh nhi nhanh chóng được chuyển lên Bệnh viện Nhi Đồng 1 với chẩn đoán hóc dị vật. Qua kiểm tra, bác sĩ phát hiện, dị vật có hình con cá với nhiều cạnh sắc nhọn đang nằm trong thực quản bệnh nhi. Sau hội chẩn, bệnh nhi đã được bác sĩ chỉ định nội soi lấy dị vật.

Hình ảnh con cá đồ chơi bị kẹt lại trong thực quản khiến bệnh nhi không thể ăn uống được
BS Hoàng Vinh cho biết, trong quá trình nội soi, hình ảnh trên camera cho thấy dị vật là con cá nhựa dài khoảng 2cm, có nguy cơ gây tổn thương thực quản của trẻ. Ê kíp nội soi đã gắp thành công dị vật ra ngoài. Bệnh nhi may mắn khi không bị tổn thương thực quản. Sau khi lấy được dị vật, sức khỏe của trẻ đang bình phục tốt.
Cùng ngày, Bệnh viện Đa khoa Xuyên Á cho biết, tại đây cũng vừa tiếp nhận cấp cứu gắp dị vật là mảnh kim loại tròn, kích thước 17mm kẹt ở vùng hạ họng của bé trai T.P.T. (30 tháng tuổi, ngụ tại tỉnh Đồng Tháp). Trước đó, bệnh nhi đã ngậm mảnh kim loại trong miệng, khi chơi đùa đã vô thức nuốt dị vật, ngay lập tức trẻ rơi vào tình trạng khó thở, đau ở vùng họng, nôn ói.
Bằng phương pháp nội soi, các bác sĩ đã lấy thành công dị vật ra ngoài. Tuy nhiên, mảnh kim loại sắc nhọn đã gây tổn thương thực quản, phải tiếp tục theo dõi, điều trị để tránh nguy cơ biến chứng có thể xảy ra.

Dị vật là mảnh kim loại gây tổn thương thực quản cho bé trai 30 tháng tuổi
Tai nạn hóc sặc dị vật rất nguy hiểm nhưng thường xuyên xảy ra ở trẻ. Từ các trường hợp trên, bác sĩ cảnh báo, khi nuốt phải dị vật, trẻ có thể bị tắc nghẽn đường thở hoặc thực quản, nuốt đau, nuốt khó, không ăn uống được, nặng hơn sẽ dẫn tới nhiễm trùng tạo ổ mũ trong thực quản, nhiễm thủng thực quản, nhiễm trùng trung thất đe dọa tính mạng.
BS.Hoàng Vinh khuyến cáo, trẻ nhỏ rất có thể vô ý nuốt các món đồ nhỏ khi chơi. Để tránh tai nạn tương tự có thể xảy ra, gia đình và người chăm sóc cần tránh cho bé chơi các món đồ nhỏ có thể bỏ vừa khoang miệng, luôn chú ý quan sát trẻ trong khi chơi. Trường hợp phát hiện trẻ nuốt đồ chơi người nhà cần nhanh chóng đưa bệnh nhi đến cơ sở y tế gần nhất để được cấp cứu, can thiệp kịp thời.
Theo Tiền phong
