Trẻ nhỏ rất nghịch ngợm và ham khám phá thế giới xung quanh. Chính vì thế có khi chỉ một chút lơ là của người lớn cũng đủ khiến trẻ gặp nguy hiểm và tai nạn đã xảy ra với bé.
Gần đây một cậu bé 2 tuổi ở tỉnh Hồ Nam, Trung Quốc, trong lúc nghịch đôi giày của mẹ đã gặp phải một tai nạn đau đớn. Cũng may cậu bé được cứu chữa kịp thời nên sức khỏe không bị ảnh hưởng nghiêm trọng.
Mẹ của cậu bé chia sẻ với truyền thông rằng, buổi chiều hôm ấy cô và chồng đi làm bên ngoài. Bé trai 2 tuổi ở nhà với bà ngoại. Nhưng người bà đã để cháu trai 2 tuổi chơi một mình ở phòng khách trong khi bà bận làm việc nhà.
Lát sau nghe thấy tiếng khóc thét của cháu, người bà hốt hoảng chạy đến xem thì phát hiện trong miệng cháu có cắm một đoạn que nhỏ. Bà vội vã hỏi cháu làm sao nhưng cậu bé không nói được, chỉ ú ớ chỉ vào miệng rồi khóc lóc đầy đau đớn.

Chiếc que nhỏ cắm trong vòm họng bé trai.
Bà ngoại kiểm ra xung quanh và phát hiện vật thể lạ cắm trong miệng cháu trai chính là dụng cụ mà mẹ cậu bé vốn dùng để căng giữ dáng giày. Hóa ra trong lúc chơi một mình cậu bé đã nghịch đôi giày của mẹ, cho đoạn que nhỏ ấy vào miệng cắn thử, chẳng may chiếc que đã mắc lại trong họng của đứa trẻ.
Người bà đã thử rút chiếc que ra cho cháu nhưng không thành công. Trái lại càng khiến cậu bé bị đau đớn hơn. Bà vội vàng đưa cháu đến bệnh viện gần nhà nhưng các bác sĩ nhận định trường hợp của cậu bé khá nghiêm trọng nên cậu bé lập tức được chuyển lên bệnh viện tuyến trên.
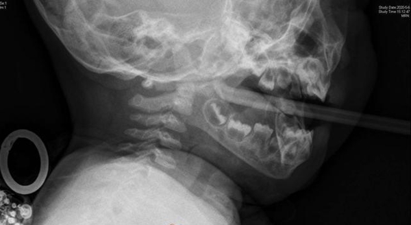
Khi đến được bệnh viện tuyến trên thì bé trai đã có hiện tượng môi tím tái và có nguy cơ ngạt thở. Qua ảnh chụp X-quang cho thấy chiếc que nhỏ đã cắm thẳng vào vòm họng của đứa trẻ, dù phần trước của que rất cùn, không phải là vật sắc nhọn. Sau khi hội chẩn, các bác sĩ quyết định sử dụng phương pháp nội soi gắp dị vật và gây mê toàn thân.


Hỉnh ảnh X-quang và dị vật sau khi được gắp ra khỏi vòm họng bé trai.
Chiếc que nhỏ được gắp ra khỏi họng của cậu bé dài đến 17 cm. May mắn sau đó sức khỏe của cậu bé phục hồi tốt và sớm được xuất viện.
Các bác sĩ cũng khuyến cáo dị vật bị mắc trong miệng là một trường hợp rất nguy hiểm vì nó có thể chặn khí quản, gây ngạt thở hoặc làm thủng mạch máu gây xuất huyết. Trong trường hợp này cha mẹ nên bình tĩnh và lập tức đưa con đến bệnh viện cấp cứu, không được tự ý rút dị vật ra để tránh gây ra những tổn thương thứ phát.
Qua câu chuyện này các bậc cha mẹ cần phải hết sức lưu ý trong việc trông con. Bởi chỉ cần sơ suất một chút là đã có thể gây nguy hiểm cho trẻ, thậm chí ảnh hưởng đến tính mạng. Bởi xung quanh môi trường sống có rất nhiều những vật dụng có thể gây ra tai nạn trẻ em, như ổ cắm điện, thuốc uống, nước sôi, kéo, pin cúc áo, viên bi, hạt đậu... Do đó việc tăng cường giám sát và chú ý dọn dẹp, loại bỏ các tác nhân có thể gây nguy hiểm cho bé là một việc rất quan trọng mà cha mẹ không được lơ là.
Theo Pháp luật và bạn đọc
