Ca hát là hoạt động có lợi cho cả thể chất lẫn tinh thần, nhưng quá đà rất có thể sẽ phải nhập viện.
Một cụ ông ở miền đông Trung Quốc đã phải nhập viện cấp cứu sau khi hát karaoke "bằng cả mạng sống".
Trò chuyện với PearVideo, cụ ông họ Hoàng, 65 tuổi ở quận Nam Xương, tỉnh Giang Tây kể rằng mình đã bị đau tức ngực sau khi hát karaoke liền tù tì 10 bài giọng cao.
Các bác sĩ cho hay, vì ông Hoàng đã cố gắng hát đúng những nốt cao khiến phổi bị căng thẳng quá độ.
"Lúc đó tôi đang phấn khích và liên tục ca những nốt rất cao. Ngay sau đó liền bị khó thở..."
Ông Hoàng cảm thấy điều này thật bất thường vì đó toàn là những ca khúc ông đã hát nhiều lần, luôn có thể lên đúng giọng. Nhưng hôm đó, ông bị hụt hơi và đau nhói ở phổi trái.

Tuy nhiên, ông Hoàng bỏ qua sự khó chịu đó và tiếp tục hát, khi trở về nhà cơn đau mới trầm trọng hơn. Lúc được người nhà đưa đến bệnh viện vào sáng hôm sau, các bác sĩ thông báo rằng ông Hoàng đã bị... xẹp phổi.
Bác sĩ họ Đặng đang làm việc tại khoa Cấp cứu của bệnh viện Nam Xương nói với PearVideo rằng, tình trạng này rất nguy hiểm, muộn chút nữa là mất mạng.
"Bệnh nhân này bị xẹp phổi do liên tục gắng sức lên giọng hát nốt cao, khiến các phế nang bị chèn ép", bác sĩ Đặng giải thích.
Ngoài ra, tình trạng này rất phổ biến ở nam giới, đặc biệt là đàn ông trung niên. "Khi đã có tuổi, không nên hát liên tục cả giờ đồng hồ như vậy."
Video về tình huống oái oăm này đã thu hút hơn 100 triệu lượt xem trên Weibo.
"Ông cụ đã hát bằng cả mạng sống theo nghĩa đen", một bình luận có hàng nghìn likes cho hay.

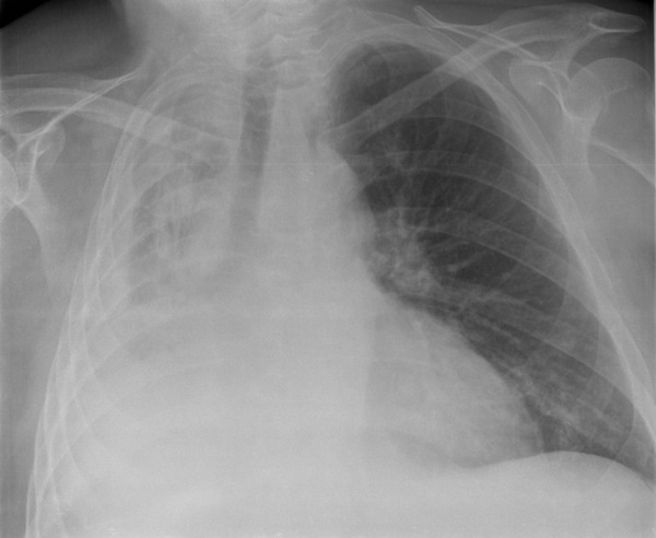
Phim X-quang của một người bị xẹp phổi
Xẹp phổi là tình trạng chèn ép hoặc tắc nghẽn phổi dẫn đến giảm hay mất khả năng trao đổi khí. Nó có thể ảnh hưởng đến một phần hoặc toàn bộ phổi. Đặc biệt, nó có thể xảy ra với cả trẻ em lẫn người cao tuổi. Cách nhanh nhất để phát hiện thường là chụp X-quang.
Một số dấu hiệu và triệu chứng phổ biến khi bị xẹp phổi mà chúng ta không nên xem nhẹ:
- ho
- đau ngực (không phổ biến)
- khó thở (nhanh và nông)
- tăng nhịp tim. huyết áp bất thường
- tím tái (dấu hiệu muộn)
Khi có hơn 2 triệu chứng kể trên, cần phải đến bệnh viện khám chữa càng sớm càng tốt.
Theo Helino
