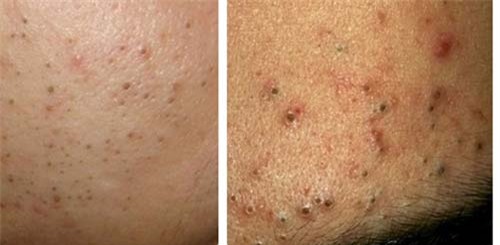
Rất nhiều chị em phụ nữ bị mụn đầu đen quấy rầy nhưng lại không biết cách đánh đuổi chúng triệt để. Mụn đầu đen đáng ghét không chỉ làm cho da chúng ta trở nên sần sùi, đen sạm, mất đi vẻ đẹp vốn có có khuôn mặt, mà còn gây mất tự tin khi giao tiếp với người xung quanh.

Bạn có biết mụn đầu đen do đâu mà có? Do tác động của yếu tố môi trường, cũng như vệ sinh da mặt chưa đúng cách, các lỗ chân lông bị tắc nghẽn, tích tụ bã nhờn, mồ hôi và bụi bẩn sâu trong lỗ chân lông, lâu ngày bị oxy hóa biến thành màu đen.
Chỉ ần dùng màng bọc thực phẩm theo hướng dẫn dưới đây, mụn đầu đen cứng đầu đến đâu cũng bay hết.
1. Nguyên liệu cần chuẩn bị:
- 1 miếng nilon bọc thực phẩm
- 1 lọ Vaseline
- 1 bát nước nóng, 1 khăn mặt mềm.
- 1 viên đá lạnh.

2. Cách làm:
- Hòa tan 1 thìa muối biển vào bát nước sôi rồi xông hơi mặt chừng 5 phút để lỗ chân lông thông thoáng và các mạch máu được lưu thông.

- Xông hơi xong, bạn rửa mặt bằng sữa rửa mặt và nước ấm, rồi dùng khăn khô mềm thấm khô.
- Thoa lên mũi 1 lớp Vaseline mỏng, dùng tay massage nhẹ nhàng để các dưỡng chất thấm sâu vào tế bào, khoảng 3-5 phút.

- Dùng miếng màng bọc thực phẩm trùm kím phần mũi rồi sử dụng khăn mặt mềm đã nhúng qua nước ấm, vắt khô và phủ lên trước mặt nilon vừa bọc.

- Cứ để như vậy chừng 20 phút rồi bạn bỏ khăn và lớp nilon ra, nhẹ nhàng lấy khăn giấy lau lên mũi, bạn sẽ thấy mụn đầu đen có cứng đầu đến đâu cũng chui ra hết.
- Cuối cùng, lấy viên đá lạnh chườm lên da để lỗ chân lông se nhỏ lại.

Áp dụng công thức này 2 lần/tuần để mụn đầu đen không bao giờ xuất hiện trên mặt bạn nữa.
Theo Khám phá

