Ngày 14/4, Bệnh viện Đại học Y Dược TP.HCM (BV ĐHYD) cho biết vừa cấp cứu và điều trị thành công cho một sản phụ bị dị dạng mạch máu ở vị trí thân não hiếm gặp, tỉ lệ chỉ 1/3.000 ca.
Đó là trường hợp sản phụ Nguyễn Ngọc H. (30 tuổi, ngụ tại TP.HCM) được chuyển đến cấp cứu tại BV ĐHYD trong tình trạng hôn mê, mất ý thức.
Thời điểm nhập viện, chị H. đang mang thai ở tuần thứ 34. Trong lúc dùng bữa tối thì chị đột nhiên méo và tê mặt, nuốt sặc, yếu liệt nửa người rồi hôn mê sâu.
Tại khoa Cấp cứu BV ĐHYD TP.HCM, sau khi tiến hành cấp cứu và thực hiện các xét nghiệm cần thiết, các bác sĩ đã hội chẩn và cho biết sản phụ bị xuất huyết giai đoạn cấp ở mặt sau bán phần trái cuống não, dẫn đến đột quỵ.
ThS.BS. Đặng Lê Phương, khoa Ngoại Thần kinh của BV chia sẻ, đây là tình trạng dị dạng mạch máu dạng hang rất hiếm gặp.

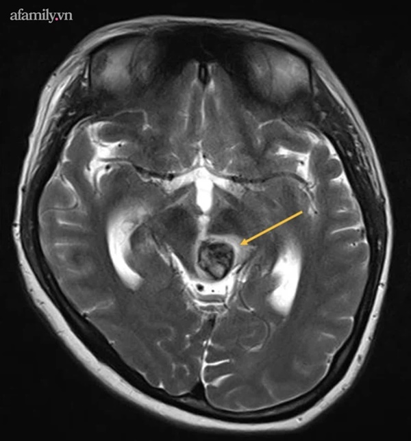
Hình ảnh dị dạng mạch máu não của sản phụ.
Phần thân não của sản phụ bị tổn hại, xuất huyết nặng dẫn đến hôn mê, ảnh hưởng lớn đến hệ hô hấp và tuần hoàn. Trường hợp này có nguy cơ tử vong cao nếu không được cấp cứu và điều trị kịp thời.
Bên cạnh đó vì đường dẫn truyền cảm giác và vận động đi ngang vùng thân não, việc phẫu thuật cho người bệnh đòi hỏi kỹ thuật và sự cẩn trọng cao vì có nguy cơ bị liệt hoặc mất cảm giác sau mổ.
Quá trình thực hiện cấp cứu và điều trị cho sản phụ vô cùng căng thẳng và gấp rút.
Tại phòng cấp cứu, sản phụ được đặt nội khí quản, tiến hành thở máy và chụp CT não bộ. Sau khi hội chẩn liên chuyên khoa xác định tình trạng sản phụ có thể diễn tiến nặng bất cứ lúc nào, các bác sĩ quyết định mổ lấy thai để cứu con trước.
Ekip Sản khoa, Gây mê hồi sức và Sơ sinh đã gấp rút chuẩn bị và thực hiện mổ bắt con cho sản phụ.
Ekip Ngoại Thần kinh được chuẩn bị sẵn sàng ngay bên cạnh phòng mổ để có thể kịp thời can thiệp trong trường hợp tình trạng sản phụ chuyển biến xấu.
"Khi bé cất tiếng khóc chào đời, chúng tôi đã thở phào nhẹ nhõm. Bé nặng 2,2 kg, do sinh non tháng, phổi chưa trưởng thành nên được hồi sức, sau đó chuyển đến chăm sóc tại khoa Sơ sinh.
Cuộc mổ sinh diễn ra thành công sau 30 phút, sản phụ không bị mất máu nhiều" - ThS.BS. Phạm Thị Loan, khoa Phụ sản – người trực tiếp mổ bắt con cho sản phụ cho biết.
Ngay sau cuộc mổ bắt con, sản phụ được chuyển đến Đơn vị Hồi sức Ngoại thần kinh để ổn định huyết áp, thở máy và theo dõi diễn tiến sức khỏe, chuẩn bị phẫu thuật lấy dị dạng mạch máu.
Tại đây, người bệnh được siêu âm kiểm tra ứ dịch lòng tử cung. Sau 6 ngày, người bệnh có thể tự thở trong tình trạng sức khỏe ổn định, các bác sĩ tiến hành phẫu thuật.
Với kỹ thuật theo dõi điện sinh lý thần kinh trong mổ, đường dẫn truyền cảm giác và vận động của người bệnh được theo dõi liên tục, cuộc phẫu thuật diễn ra thuận lợi.
Sau phẫu thuật, người bệnh hồi phục tốt. Sau 7 ngày, sức khỏe của cả mẹ và bé đều ổn định, được xuất viện.

Hiện 2 mẹ con sản phụ đã qua cơn nguy kịch, được xuất viện.
TS.BS. Nguyễn Minh Anh, Trưởng khoa Ngoại Thần kinh của BV chia sẻ, thành công của việc đảm bảo sự an toàn tối đa cho cả mẹ và bé đến từ sự phối hợp liên chuyên khoa giữa khoa Cấp cứu, Phụ sản, Sơ sinh, Gây mê hồi sức và Ngoại Thần kinh đó là đảm bảo sự an toàn tối đa cho cả mẹ và bé.
Bác sĩ khuyến cáo, dị dạng mạch máu xuất hiện ở vị trí thân não như trường hợp sản phụ H. rất hiếm gặp.
Bệnh không có nguyên nhân cụ thể, vì vậy các sản phụ nên khám sức khỏe tổng quát và khám thai định kỳ thường xuyên.
Bên cạnh đó, ngay khi có các dấu hiệu như giảm tri giác, động kinh, đột ngột nhìn đôi, giảm thị lực, méo mặt, nuốt sặc, tê yếu chi hoặc đau đầu đột ngột dữ dội, không giảm hoặc tăng dần theo thời gian cần ngay lập tức đưa người bệnh đến các bệnh viện gần nhất để được cấp cứu.
Theo Pháp luật và bạn đọc
