Chị N.T.N (38 tuổi, trú tại Bắc Ninh) đến điều trị ung thư phổi giai đoạn cuối, di căn xương tại Bệnh viện Bạch Mai (Hà Nội). Vài tháng gần đây, chị có dấu hiệu đau lưng. Chị làm công nhân nên nghĩ đau lưng thông thường do ngồi nhiều. Mỗi lần mỏi, chị đứng lên đi lại và mua cao về dán.
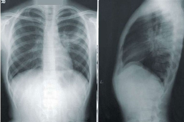
Khi cơn đau lưng trở nên trầm trọng, cảm giác “cắn trong xương”, chị N. đến bệnh viện kiểm tra. Qua phim chụp, bác sĩ thấy có tổn thương ở cột sống và nghi ngờ u ở xương. Các kết quả cận lâm sàng chuyên sâu phát hiện hình ảnh khối mờ trung tâm thùy trên phổi trái kích thước 22x32mm, bờ tua gai, xâm lấn trung thất, phế quản gốc. Bác sĩ chẩn đoán ung thư phổi di căn sang cột sống, có hiện tượng hủy xương ở vùng bả vai, cột sống, cánh tay.
Theo chị N., gia đình không có ai hút thuốc lá. Chị làm công nhân giày da hơn 13 năm và không đi khám sức khỏe. Bác sĩ tư vấn việc điều trị ở giai đoạn này chủ yếu thiên về giảm các triệu chứng hơn là chữa khỏi, từ đó giúp giảm đau, ngăn ngừa gãy xương và các biến chứng nghiêm trọng khác.

Bệnh nhân đang nghe bác sĩ tư vấn tại Bệnh viện Bạch Mai. Ảnh: BSCC.
Trường hợp khác là ông N.T.P (51 tuổi, trú tại Long Biên, Hà Nội) vào viện khám vì triệu chứng đau nhức lưng và bả vai kéo dài 2-3 tháng. Ban đầu, ông P. cho rằng tình trạng của ông do bê vác đồ vật nặng gây căng cơ.
Khi cơn ho đau tức ngực kéo dài, người đàn ông này mới đến bệnh viện kiểm tra. Bác sĩ phát hiện ông P. bị ung thư phổi di căn màng phổi.
Phó giáo sư Phạm Cẩm Phương, Giám đốc Trung tâm Y học hạt nhân và Ung bướu, Bệnh viện Bạch Mai, cho biết ung thư phổi ở những bệnh nhân trẻ tuổi thường được chẩn đoán ở giai đoạn muộn hơn và có tiên lượng xấu hơn so với nhóm bệnh nhân lớn tuổi.
Ung thư phổi có thể di căn đến nhiều cơ quan như não hay gan... đặc biệt là xương. Khoảng 30-40% người bệnh ung thư phổi tiến triển đều bị di căn đến xương. Các xương bị ảnh hưởng phổ biến nhất là cột sống (đặc biệt là đốt sống ở ngực và vùng bụng dưới), xương chậu và xương trên của cánh tay, chân. Ung thư phổi là một trong những loại ung thư khá đặc biệt khi có thể lan sang tay và chân.
Khi đó, bệnh nhân có triệu chứng đau lưng. Đây là triệu chứng xuất hiện phổ biến nhất do tế bào ung thư kích thích hoặc chèn ép vào màng xương, dây chằng dọc sau hoặc đĩa đệm, mất vững cột sống, chèn ép hoặc xâm lấn vào rễ thần kinh. Thời điểm đầu, người bệnh sẽ thấy đau như khi bị căng cơ hoặc tác động ngoại lực mạnh. Bệnh nhân uống thuốc chứa corticoid có thể giảm triệu chứng này.
Ở giai đoạn muộn hơn, u chèn ép tủy nên bệnh nhân đau đớn khi đi lại, ngứa hoặc tay chân yếu, nghiêm trọng có thể dẫn tới chân yếu, liệt, gãy xương.
Theo bác sĩ Phương, đau lưng cảnh báo u ác tính khi cơn đau kéo dài trên 8 tuần. Tính chất đau trong chèn ép tủy thường tăng lên về đêm. Đau tại vị trí di căn xương. Đau xương tăng dần, cảm giác xương yếu đi rõ rệt. Đau liên tục, dùng thuốc giảm đau không đỡ.
Những phương pháp điều trị ung thư phổi nói riêng và ung thư nói chung bao gồm: hóa trị, liệu pháp miễn dịch và liệu pháp nhắm trúng đích. Tuy nhiên, ở giai đoạn di căn xương, việc điều trị chỉ có thể làm giảm triệu chứng và biến chứng, không thể chữa khỏi hoàn toàn tình trạng này.
Theo VietNamNet
