Thấy có triệu chứng đau lưng, cơn đau ở mức độ nhiều, lan xuống 2 bên mông, kèm theo tình trạng nhức mỏi vùng gáy, ho khạc đờm trắng trong... nên ông L.Đ.D (65 tuổi, Phú Yên) đến viện khám.
Được biết, cách đây khoảng 1 tuần, ông D có đi thăm khám tại một bệnh viện trên địa bàn tỉnh. Ông được chẩn đoán mắc cảm cúm kèm thoái hóa đốt sống. Ông D được kê thuốc kháng sinh và thuốc giảm đau xương khớp đông y nhưng tình trạng đau không thuyên giảm.

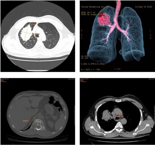
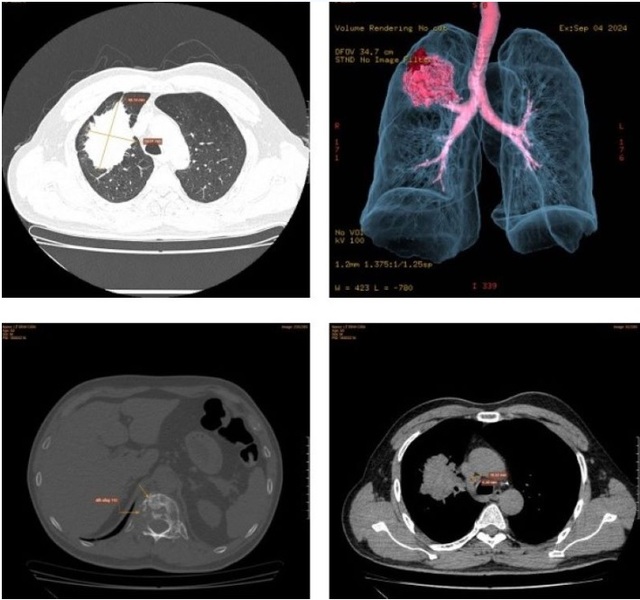
Kết quả chụp cắt lớp vi tính phát hiện bất thường. Ảnh: BVCC
Lo lắng về tình trạng sức khỏe, ông D đã tới Phòng khám Medlatec Gò Vấp (TP.HCM) để khám. Qua thăm hỏi và khám bệnh, bác sĩ chỉ định bệnh nhân làm các xét nghiệm, chẩn đoán hình ảnh cần thiết. Kết quả chụp cắt lớp vi tính phát hiện tổn thương "ăn mòn" xương đốt sống (D12L1) điển hình của một tổn thương thứ phát (di căn).
Nghi ngờ có khối u ác tính, bác sĩ đã chỉ định bệnh nhân chụp CT phổi liều thấp và phát hiện tổn thương u thùy trên phổi phải, kích thước lớn, đường bờ tua gai co kéo màng phổi vùng tương ứng quanh u. Dựa vào các kết quả trên, bệnh nhân được chẩn đoán u thùy trên phổi phải, theo dõi ung thư phổi di căn. Bệnh nhân đã được chuyển viện tới viện Chợ Rẫy thực hiện quá trình điều trị theo chuyên khoa.
Đau lưng, cảnh giác với dấu hiệu ung thư phổi
Bác sĩ cho biết, trường hợp bệnh nhân D phát hiện ung thư phổi từ triệu chứng đau lưng không phải là hiếm. Bởi khối u ở phổi phát triển sẽ xâm lấn phá hủy các tổ chức xung quanh, hoặc di căn xa dẫn đến tình trạng đau tại chỗ hay lan rộng.
Bên cạnh đó, những dấu hiệu khác cảnh báo ung thư phổi dễ bị nhầm lẫn như: Ho kéo dài, dai dẳng, ho ra máu, khó thở, khán giọng, đau ngực...
Đau ở thắt lưng, người đàn ông đi khám bất ngờ phát hiện ung thư phổi di căn- Ảnh 3.
Trên thực tế, ung thư phổi nếu được phát hiện sớm có thể chữa khỏi bệnh. Ở Việt Nam, đây là căn bệnh có tỷ lệ tử vong cao vì thường được phát hiện muộn, bởi bệnh diễn tiến âm thầm, lặng lẽ. Vì vậy, chủ động tầm soát phát hiện bệnh sớm là yếu tố tiên quyết để có thể chiến thắng trong cuộc chiến chống ung thư.
Ai nên tầm soát ung thư phổi?
Các chuyên gia khuyến cáo mọi người dân đều nên chủ động ung thư phổi định kỳ hàng năm, ngay từ khi chưa xuất hiện triệu chứng, đặc biệt là với các nhóm đối tượng nguy cơ cao như:
- Người trong độ tuổi từ 50 - 80 tuổi.
- Người đang hút thuốc lá hoặc bỏ thuốc lá trong vòng 15 năm trở lại, thường xuyên hít phải khói thuốc.
- Người có tiền sử gia đình mắc ung thư phổi hoặc có tiền sử phơi nhiễm khí Radon (một loại khí phóng xạ xuất hiện tự nhiên có thể tìm thấy trong môi trường, nhà ở, trường học, nơi làm việc).
Theo Gia Đình & Xã Hội
