Một bé trai khi vừa chào đời thì đã được 12 tuổi. Sự ra đời của đứa trẻ này không chỉ đơn giản là sự xuất hiện của một sinh mệnh mới mà còn là điều kỳ diệu trong lịch sử y học. Chuyện gì đã xảy ra?

Câu chuyện của đôi vợ chồng họ Lý khiến cho rất nhiều người kinh ngạc và họ lại càng tin tưởng hơn vào sự tiến bộ của nền y học sẽ ngày càng giúp cho nhiều cặp vợ chồng hiếm muộn hoàn thành được tâm nguyện của mình.
Chị Lý đã ngoài 40 tuổi, con lớn đang học tiểu học. Gia đình nhỏ 3 người của chị rất hạnh phúc và êm ấm nhưng trong thâm tâm của hai vợ chồng, họ đều mong mỏi có thêm một đứa con thứ hai.
Đối với nhiều người, sau khi chính sách sinh con của đất nước mở cửa họ đã bắt đầu kế hoạch sinh thêm con. Tuy nhiên, với hoàn cảnh đặc biệt của chị Lý, gia đình họ không dễ dàng để tận hưởng được niềm hạnh phúc này.
Trở về thời điểm năm 1999 khi hai vợ chồng chị Lý vừa cưới nhau. Không bao lâu sau cả nhà vui mừng tột độ đón tin vui chị Lý đã mang thai. Đau đớn thay, chưa được bao lâu thì chị Lý được bác sĩ chẩn đoán là thai ngoài tử cung cần phải bỏ lập tức. Lúc đó không chỉ họ bị mất đi đứa con mà cả chị Lý cũng rơi vào hoàn cảnh nguy kịch.

Sau khi vượt qua nguy hiểm, bác sĩ cho biết chị Lý bị tắc ống dẫn trứng và sau nay không thể có thai được nữa. Tin tức như sét đánh ngang tai khiến cho vợ chồng họ suy sụp tuyệt vọng.
Tuy nhiên vợ chồng họ Lý không muốn chấp nhận số phận nghiệt ngã như vậy. Lúc này công nghệ thụ tinh nhân tạo đã phát triển và từng giúp được rất nhiều trường hợp vợ chồng hiếm muộn tìm con và đôi vợ chồng đã đặt hết hy vọng của mình vào các bác sĩ.
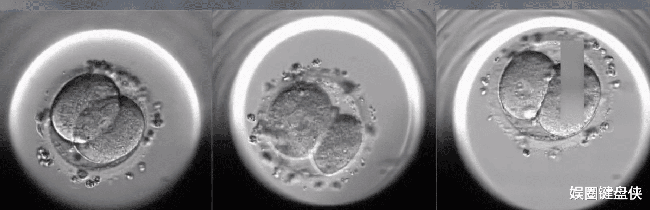
Năm 2003, vợ chồng họ Lý đến tìm gặp tiến sĩ Vương Tiểu Hồng để làm xét nghiệm và thực hiện thụ tinh nhân tạo. Trải qua quá trình chọc hút trứng, bác sĩ cho biết đã lấy được 12 trứng khỏe mạnh từ chị Lý. Đáng mừng hơn nữa, 12 trứng này sau đó đã được thụ tinh thành công với tinh trùng của anh Lý.
Tiếp đến, bác sĩ đã chuyển hai phôi thai vào tử cung của chị Lý. Thật may mắn là một trong hai phôi thai đã có sự phát triển rất tốt. Sau 9 tháng mang thai, chị Lý đã sinh được một bé trai kháu khỉnh và khỏe mạnh.

Đến năm 2015, vợ chồng họ Lý một lần nữa bàn bạc với nhau về chuyện sinh thêm con thứ hai nhưng họ biết điều mình sắp đối mặt là khó khăn và thử thách gấp trăm lần vì cả thể trạng và tuổi tác của chị Lý đều không phù hợp để mang thai.
Hai vợ chồng lúc này nghĩ đến các phôi thai ngày xưa vẫn còn ở bệnh viện. Đó chính là niềm hy vọng duy nhất của họ nhưng đã trải qua 12 năm, liệu các phôi thai đông lạnh này có còn sử dụng được hay không?
Hai vợ chồng đánh liều đến bệnh viện hỏi bác sĩ, đề nghị được dùng phôi thai 12 năm trước để thụ tinh nhân tạo. Bác sĩ kinh ngạc cho biết trên lý thuyết thì "thời hạn sử dụng" của một phôi đông lạnh chỉ được khoảng 5 năm. Trong khi đó phôi thai của chị Lý đã thụ tinh cách đây đến 12 năm, hiệu quả cho việc thụ tinh không ai dám đảm bảo.
Bên cạnh đó, những năm về trước, công nghệ đông lạnh lưu trữ phôi thai cũng không được tân tiến như bây giờ, việc các phôi sau khi rã đông có còn dùng được hay "đã chết" cũng là một vấn đề lớn.
Nghe những phân tích của bác sĩ, vợ chồng họ Lý thoáng chút thất vọng nhưng bác sĩ Vương cuối cùng vẫn quyết định cố hết sức để giúp họ thụ tinh nhân tạo thêm lần nữa. Trước đó bác sĩ Vương từng thực hiện một ca chuyển phôi với phôi thai đã được đông lạnh 7 năm, tuy có hồi hộp lo lắng nhưng ca chuyển phôi vô cùng thành công.

Trong số 10 phôi thai 12 năm trước thì có 3 phôi kém chất lượng, 7 phôi khỏe mạnh được trữ đông ở bệnh viện. Bác sĩ Vương đã vất vả liên hệ sang tận nước ngoài để đặt mua loại dung dịch rã đông phôi mà thị trường trong nước đã không còn sử dụng.
Quá trình tiến hành rã đông phôi làm tất cả đội ngũ y bác sĩ đều hồi hộp đến nín thở. Sau quá trình rã đông đầy căng thẳng, họ vui mừng thông báo rằng có 3 phôi được rã đông thành công. Ba phôi này được đặt cẩn thận vào lồng ấp mô phỏng nhiệt độ và môi trường của tử cung nhưng sau đó chỉ còn lại 2 phôi có sự phát triển tốt.
Bác sĩ Vương lập tức tiến hành chuyển phôi thai vào tử cung của chị Lý. Tuy vậy, đó vẫn chưa phải là thời điểm họ có thể vui mừng.
Sau khi phôi được cấy vào tử cung là khoảng thời gian dài nhất đối với chị Lý. Chị không dám đi ra ngoài, không dám cử động mạnh sợ rằng ảnh hưởng đến phôi thai. Nửa tháng sau đó, nhận được kết quả siêu âm của bác sĩ, đôi vợ chồng vỡ òa trong hạnh phúc.
Quá trình mang thai của chị Lý khá tốt đẹp, không gặp bất cứ trở ngại gì. Đến ngày dự sinh, bác sĩ quyết định mổ lấy thai để bảo đảm an toàn cho cả hai mẹ con vì chị là sản phụ cao tuổi.

Bé trai "12 tuổi" khỏe mạnh được sinh ra trong sự vui sướng tột độ không chỉ của cặp vợ chồng mà còn của tất cả các bác sĩ ngày hôm đó. Không ai có thể tin được rằng phôi thai đông lạnh đã 12 năm sau đó được rã đông, đưa vào tử cung người mẹ và cuối cùng là sự chào đời của một đứa trẻ. Đây là khoảnh khắc khiến cho bác sĩ phải thốt lên: Đúng là kỳ tích!
Theo Pháp luật và bạn đọc
