Loét miệng là một căn bệnh nhẹ nhưng nếu nó xuất hiện kèm dấu hiệu bất thường này thì chắc chắn bệnh ung thư miệng đang âm thầm phát triển.
Loét miệng hay nhiệt miệng là một căn bệnh rất dễ gặp. Thông thường loét miệng sẽ lành sau vài ngày đến vài tuần, và không để lại di chứng gì quá nghiêm trọng.
Tuy nhiên các chuyên gia cho biết, nếu vết loét kéo dài từ 2 tuần cho đến hơn 1 tháng thì hãy cẩn thận. Bởi loét ở lưỡi kéo dài cũng có thể là một trong những dấu hiệu sớm của bệnh ung thư miệng.
Ngoài ra, hãy cẩn thận khi loét miệng đi kèm 4 dấu hiệu sau:
1. Vết loét miệng không lành, dần dần to lên
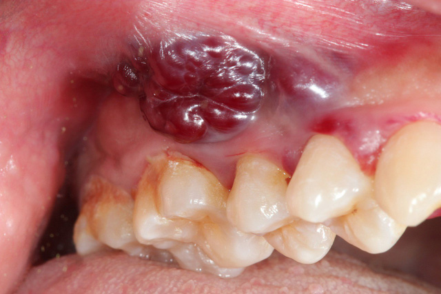
Trong những trường hợp thông thường, vết loét miệng sẽ dần lành từ 1-4 tuần. Tuy nhiên nếu là ung thư, vết loét sẽ không thể lành hay có bất kỳ dấu hiệu cải thiện nào trong suốt hơn 1 tháng. Hơn thế nữa, vết loét sẽ ngày càng lan rộng ra và đau đớn hơn, kèm các mạch máu sẽ hằn rõ.

2. Vết loét không rõ vị trí, nằm ẩn dưới khoang miệng
Vết loét miệng bình thường sẽ nằm lộ rõ ra bên ngoài, có vết lõm sâu ở phần bị loét và phân biệt được bằng mắt thường. Thế nhưng nếu ung thư miệng bắt đầu phát triển, bạn sẽ khó phân biệt được đâu là phần da thịt lành và phần bị loét. Chưa kể có loại còn nằm sâu bên trong khoang miệng hoặc ẩn dưới da.
3. Cơn đau giảm dần, phần bị loét cứng lại
Khi ung thư miệng dần phát tán, cơn đau do loét miệng sẽ dần yếu đi và biến mất hoàn toàn, nhưng phần bị loét vẫn thấy rõ. Đồng thời, nếu bạn dùng tay sờ vào phần bị loét sẽ thấy nó rất cứng.
Do vậy một khi vết loét không còn đau nữa và cứng lại thì chắc chắn là ung thư rồi, bạn cần phải đi khám ngay bởi vết loét bình thường luôn để lại cảm giác đau rát và khó chịu.

4. Đau không rõ nguyên nhân ở nhiều vùng khác
Ngoài các vết loét trên môi hay lưỡi, ung thư miệng còn có dấu hiệu dễ nhận biết khác chính là việc đau không rõ nguyên nhân ở má, răng… Nguy hiểm hơn, dù bạn có sử dụng thuốc giảm đau thì cũng không thể giảm cơn đau được. Nếu có 2 dấu hiệu này thì đó chính là bằng chứng rõ nét nhất cho thấy, bạn đã mắc ung thư miệng.
Ung thư miệng là gì?
Ung thư khoang miệng là bệnh ác tính có thể xuất hiện ở bất kỳ vị trí nào trong khoang miệng như lợi, lưỡi, môi, má, vòm miệng, sàn miệng.

Ung thư miệng tuy ít khi nghe đến nhưng độ nguy hiểm thì không hề kém cạnh các loại khác
Do triệu chứng bệnh khá giống với các bệnh lý viêm nhiễm tại miệng như nhiệt miệng, loét miệng nên người bệnh thường đến bệnh viện khi bệnh đã ở giai đoạn muộn khiến việc điều trị trở nên khó khăn, tốn kém mà hiệu quả không cao.
Nguyên nhân gây ung thư miệng:
Có rất nhiều yếu tố mang nguy cơ cao gây ung thư miệng, nhưng phổ biến nhất phải kể đến:
- Thói quen sống không lành mạnh: Hút thuốc lá và uống rượu bia quá nhiều
- Thói quen ăn trầu, vệ sinh răng miệng không sạch dẫn đến những tổn thương trong khoang miệng
- Nhiễm virus Herpes, HPV, hội chứng Xeroderma pigmentosum, thiếu máu Fanconi…
Phòng ngừa ung thư miệng như thế nào?
Bạn hãy áp dụng các biện pháp sau để giảm thiểu khả năng mắc phải bệnh ung thư miệng:
- Bỏ thuốc lá, hạn chế rượu bia để tránh cho khoang miệng tiếp xúc với các hóa chất gây ung thư
- Tăng cường ăn các loại rau và hoa quả giàu vitamin, đặc biệt là cà rốt
- Khám răng miệng định kỳ 6 tháng 1 lần
Theo Helino
Link gốc: https://afamily.vn/dung-coi-thuong-4-dau-hieu-nay-khi-loet-mieng-boi-co-the-do-la-bang-chung-canh-bao-ung-thu-dang-phat-trien-trong-co-the-ban-20191114131328386.chn
