Người đàn ông vô tình làm tăm bông đâm vào tai đang nhiễm trùng, dẫn đến căn bệnh nguy hiểm.
Rắc rối của người đàn ông 31 tuổi đến từ Anh bắt đầu khi dùng tăm bông ngoáy tai và vô tình khiến đầu bông kẹt lại trong ống tai. Tuy tai nạn này không gây đau đớn hay nguy hiểm ngay lập tức nhưng qua 5 năm, nó đã khiến nạn nhân phải trả giá đắt.
Được biết, trong 5 năm qua, người đàn ông này đã bị mất thính lực và nhiễm trùng tai trái nghiêm trọng. Anh đã trải qua hai lần điều trị nhưng chưa hoàn toàn khỏi bệnh. Gần đây, người đàn ông lại tiếp tục dùng tăm bông để vệ sinh tai và trải qua một loạt triệu chứng kinh hoàng sau đó: tai trái đau đớn kéo dài 10 ngày, lên cơn động kinh, đau nửa đầu bên trái và nôn mửa. Ngoài ra, anh đã bắt đầu gặp khó khăn khi nhớ tên của mọi người.
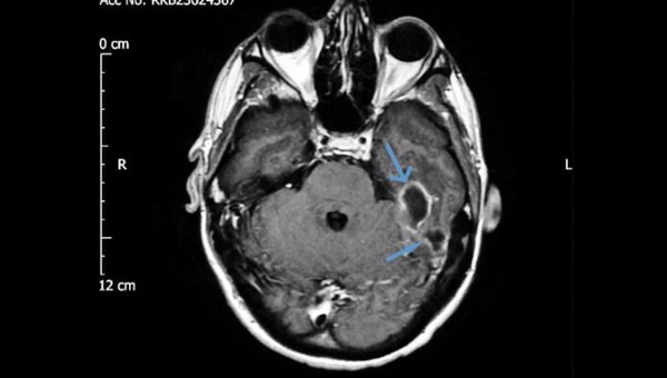
Khi đến bệnh viện, người đàn ông được chụp CT não. Các hình ảnh cho thấy có hai ổ áp xe, các khu vực bị viêm chứa đầy mủ, trong xương ở đáy hộp sọ, liền kề với ống tai trái của bệnh nhân.

Hình ảnh chụp CT cho thấy vùng nhiễm trùng của người đàn ông
Người đàn ông được chẩn đoán bị viêm tai giữa hoại tử externa. Các bác sĩ cho biết, ổ nhiễm trùng bắt nguồn từ trong tai trái và lan dần sang các khu vực xung quanh. Anh ta đã bị nhiễm vi khuẩn nghiêm trọng bắt đầu từ ống tai, tiến vào xương dưới đáy sọ và sau đó di chuyển lên trên, vào màng não.
Các bác sĩ đã thực hiện một cuộc tiểu phẫu trong ống tai của bệnh nhân. Trong quá trình phẫu thuật này, họ đã định vị và loại bỏ đầu tăm bông bị mắc kẹt 5 năm trong tai. Nó đã bao bọc bởi sáp tai và các mảnh vụn và góp phần khiến tình trạng nhiễm trùng trở nên đỉnh điểm nghiêm trọng.
Người đàn ông đã trải qua gần một tuần trong bệnh viện và cần hai tháng dùng kháng sinh tiêm tĩnh mạch và uống để điều trị nhiễm trùng. Sau khi điều trị, sức khỏe và thính giác của người đàn ông hồi phục hoàn toàn.
Viêm tai giữa hoại tử externa (MEO) là gì?
Căn bệnh này còn có tên viêm tai giữa ác tính externa, xảy ra khi nhiễm trùng tai lan sang mô và xương gần đó. Mặc dù tên có chữ ác tính nhưng không có nghĩa bạn bị ung thư. Thuật ngữ "ác tính" ban đầu được sử dụng bởi bác sĩ đã phát hiện ra viêm tai hoại tử do tính chất nghiêm trọng của bệnh và nó tiến triển nhanh chóng.

Các triệu chứng của viêm tai hoại tử sẽ khác nhau giữa các cá nhân dựa trên hoàn cảnh và tiến triển của nhiễm trùng. Các triệu chứng có thể bao gồm: đau tai nghiêm trọng vào ban đêm, đau khi vùng sau tai bạn chạm vào, dịch tai có thể có mủ, có màu vàng hoặc xanh hoặc mùi hôi, mất thính lực, ngứa tai, sốt (hiếm), khó nuốt, mất giọng, đau đầu.
Bạn có thể ngăn ngừa căn bệnh này: tránh làm sạch tai bằng tăm bông hoặc dán bất kỳ đồ vật nào vào tai có thể gây thương tích; nếu bạn có triệu chứng, hãy đi khám và điều trị thích hợp càng sớm càng tốt.
Theo VietNamNet
