Vào tháng 10 vừa qua, cả ba người trong gia đình ông Wu đều bị tiêu chảy, lúc đầu họ nghĩ đó là bệnh đau dạ dày, nhưng khi kiểm tra thực phẩm trong bếp và tủ lạnh, họ không tìm thấy thực phẩm hết hạn sử dụng nên ông đã mua thuốc trị tiêu chảy sau đó uống thuốc, các triệu chứng thuyên giảm đôi chút.

Một tuần sau, ông Wu và con trai lại có triệu chứng tiêu chảy, ông Wu cũng bị đau bụng nên đến bệnh viện khám.
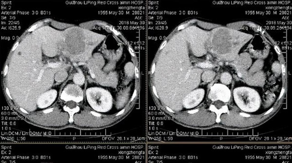
Qua kiểm tra, chỉ số alpha-fetoprotein (AFP) của ông Wu và con trai cao tới 500ng/ml, cuối cùng họ được chẩn đoán là mắc bệnh ung thư gan, sau khi hỏi ý kiến bác sĩ thì hóa ra gia đình ông Wu gặp vấn đề rất nghiêm trọng trong thói quen ăn uống hàng ngày.

Bác sĩ nói thẳng: 1 món ăn chứa chất "kịch độc" nếu chế biến sai cách
Có thông tin cho rằng, ông Wu đặc biệt thích ăn nấm, để tiện cho việc ăn uống, ông đã nhờ vợ ngâm nấm trước một ngày. Tuy nhiên, chúng ta nên biết rằng nấm là loại thực phẩm rất dễ bị nhiễm khuẩn sinh ra độc tố (axit mycolic) sau khi ngâm một thời gian dài.
Nấm ăn có giá trị dinh dưỡng cao, nhưng trong quá trình chế biến cần lưu ý không ngâm nấm quá lâu, bởi nó có thể bị tác động của vi khuẩn trong không khí, nấm sẽ bị nhiễm vi khuẩn và sinh ra axit lên men gạo (axit mycolic).
Chất độc này cực độc và là một loại chất gây ung thư, sau khi ăn vào gan sẽ bị nhiễm độc nặng trong quá trình lọc, từ đó làm tăng khả năng mắc bệnh ung thư gan.

Bệnh nhân ung thư gan, ở giai đoạn đầu của bệnh sẽ có những biểu hiện như sau:
1. Vàng da
Chức năng chính của gan là chuyển hóa, tổng hợp và giải độc, hồng cầu trong cơ thể chúng ta chủ yếu do gan chuyển hóa, trong quá trình chuyển hóa sẽ tạo ra một lượng lớn bilirubin, đây là một loại sắc tố có màu vàng. Khi gan bị tổn thương, không kịp đào thải, tích tụ lâu ngày sắc tố này trong cơ thể sẽ khiến da bị vàng.

2. Giảm cảm giác thèm ăn
Chán ăn không chỉ là vấn đề về đường tiêu hóa mà còn có thể do bệnh lý về gan gây ra, thực chất gan là một bộ phận trong hệ tiêu hóa của con người, khi gan hoạt động bất thường thì dịch mật do nó tiết ra cũng sẽ bị ảnh hưởng. Mật giảm đi, ngấm vào cơ thể, thức ăn không kịp phân hủy, nếu để lâu sẽ dễ gây chán ăn.
Theo Pháp luật & Bạn đọc
