Hai bé gái sinh đôi tại Ấn Độ được sinh ra với răng cửa mọc đầy đủ khiến các bác sĩ choáng váng.
Các bác sĩ cho biết hai bé gái
song sinh khác trứng được sinh khi 32 tuần tuổi, hơi nhẹ cân và phải ở
trong lồng ấp 15 ngày tiên tuy nhiên về tổng thể, hai bé gái hoàn toàn
khỏe mạnh.
Người mẹ cũng cho biết, cô không gặp khó khăn gì khi cho con bú. Cho dù cả hai em bé đều đã mọc răng ngay từ khi mới lọt lòng.
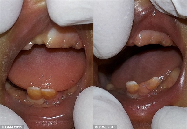
Tuy nhiên, vì quá lo lắng khi thấy các bé mọc răng sớm, gia đình đã mời bác sĩ nha khoa đến kiểm tra. Bác sĩ cho biết hàm trên của hai bé đã gần như đủ răng cửa, còn hàm dưới mọc hoàn chỉnh hai chiếc răng. Chúng hơi ngả vàng, khá cứng cáp.
Hiện tượng trên được gọi là “răng sơ sinh”. Thông thường, răng mọc trong vòng 30 ngày đầu tiên sau khi em bé ra đời đều được gọi là “răng sơ sinh”.

Hai em bé sơ sinh đã mọc răng ngay từ khi mới ra đời.
“Hiện tượng răng mọc sẵn khi em bé mới ra đời hay mọc ngay sau sinh đều là điều rất hiếm.” – Bác sĩ nha khoa cho biết. Cơ hội để em bé mọc răng ngay khi mới sinh là 1/2.000 hoặc 1/3.500 em.
Răng sơ sinh thường thường phát triển ở hàm dưới, cấu trúc răng chưa hoàn thiện nên dễ lung lay. Thông thường, răng mọc khi trẻ mới sinh có thể gây nguy hiểm vì trẻ dễ ngạt thở. Ngoài ra, răng mới có thể gây tổn thương cho em bé khi bú sữa và khiến người mẹ bị đau.
Tuy nhiên, mẹ của cặp song sinh cho biết cô không hề gặp hiện tượng trên. Ngoài ra, trong miệng của hai bé cũng không có dấu vết bị thương do răng cắn.
Các bác sĩ quyết định sẽ giữ nguyên răng của các bé vì chúng không gây hậu quả nghiêm trọng gì cả. Răng sơ sinh sẽ làm giảm khả năng loại bỏ chồi răng, từ đó tạo điều kiện cho răng sữa phát triển tốt hơn.
Cha mẹ của các em cũng được cảnh báo về nguy cơ bị nghẹn hoặc hình thành áp xe răng. Tuy nhiên, hiện các bé vẫn phát triển bình thường.
Theo Trí Thức Trẻ