Em bé là trẻ sinh non, có cân nặng chỉ 1.7kg bị vỡ dạ dày do bất thường cơ dạ dày bẩm sinh, rất may đã được các bác sĩ cứu chữa kịp thời.
Trao đổi với phóng viên, bà Hoàng Thị Nguyệt, Giám đốc Bệnh viện Sản - Nhi tỉnh Lào Cai cho biết, bệnh viện vừa tiếp nhận và cứu chữa thành công một em bé sơ sinh bị vỡ dạ dày hiếm gặp.
Theo bà Nguyệt, em bé sinh non ở tháng thứ 8, với cân nặng chỉ 1.7kg. Khi mới chào đời, em bé này hồng hào, bú được và đã đi ngoài phân su. Tuy nhiên, 2 ngày sau sinh trẻ nôn nhiều và xuất hiện bụng chướng. Phát hiện những biểu hiện bất thường, gia đình đã đưa trẻ đến bệnh viện Văn Bàn điều trị.
Sau 2 ngày điều trị, tình trạng chướng bụng không đỡ nên các bác sĩ đã chuyển đến Bệnh viện Sản Nhi Lào Cai.
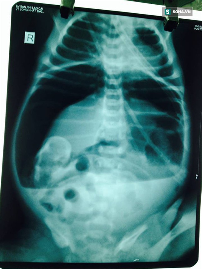
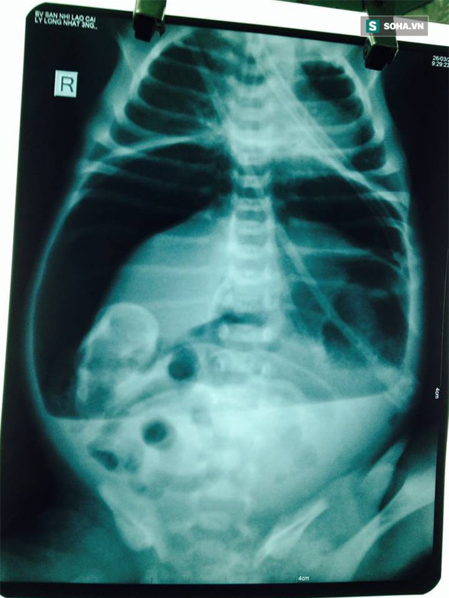
"Khi chúng tôi tiếp nhận trẻ ở trong tình trạng li bì, khó thở, tím, không sốt, bụng chướng căng, đặt sonde dạ dày có ít dịch màu xanh, bơm rửa trực tràng dịch nhày nâu lượng ít. Ngay sau đó trẻ được hồi sức tích cực bằng cách: trợ hô hấp, nuôi dưỡng hoàn toàn bằng đường tĩnh mạch, X-quang ổ bụng có hình ảnh mức nước - hơi và liềm hơi dưới cơ hoành.
Với tình trạng trẻ như vậy, chúng tôi đã hội chẩn cùng Ths.BS Đinh Ngọc Dũng - Trưởng khoa Ngoại tổng hợp - Bệnh viện Đa khoa tỉnh Lào Cai và chẩn đoán: Viêm phúc mạc do tắc ruột phân su biến chứng vỡ tạng rỗng", bà Nguyệt thông tin. Khi tiến hành phẫu thuật cấp cứu cho cháu bé, kíp phẫu thuật bất ngờ phát hiện dạ dày trẻ có cấu trúc bất thường.
"Toàn bộ mặt trước không có lớp cơ chỉ có niêm mạc và thanh mạc, một đường vỡ lớn từ tâm vị đến hang vị. Các bác sỹ đã tiến hành cắt lọc và khâu phục hồi dạ dày", bà Nguyệt cho hay.
Nói về tình trạng sức khỏe hiện tại, GĐ Bệnh viện Sản Nhi Lào Cai cho biết, đến nay sau 3 ngày điều trị tích cực tại khoa hồi sức sơ sinh bằng thở máy, nuôi dưỡng tĩnh mạch hoàn toàn và kháng sinh phối hợp, chăm sóc dặc biệt. Hiện tại, trẻ hồng hào, tim mạch tốt, thân nhiệt ổn định, bụng mềm.
Theo nhận định của bà Nguyệt, đây là một trường hợp hiếm gặp vỡ dạ dày do bất thường cơ dạ dày, trên trẻ sinh non, nhẹ cân. "Hiện nay với những tiến bộ của ngoại khoa, gây mê và hồi sức sơ sinh, ngày càng có nhiều trẻ sinh non, nhẹ cân, dị tật bẩm sinh được cứu sống", bà Nguyệt nói.
Theo Trí Thức Trẻ
