Vụ việc học sinh Trần Chí Kiên (lớp 2, trường Tiểu học Nam Trung Yên, Hà Nội) bị gãy xương đùi tại sân trường gây xôn xao trên mạng xã hội và báo chí gần ba tháng nay. Nếu chỉ là tai nạn vô ý thông thường, câu chuyện không đáng trở nên ầm ĩ. Điều dư luận quan tâm là cách hành xử, trốn tránh trách nhiệm của cô hiệu trưởng.
Theo phụ huynh học sinh, các bạn cùng lớp đến thăm em Trần Chí Kiên kể lại: Khi Kiên bị xe đâm ngã, chú lái taxi và cô hiệu phó xuống xe nhưng cô hiệu trưởng vẫn ngồi bên trong. Một bạn gái chạy vòng qua xe gõ cửa bảo: “Cô ơi, xe đâm vào bạn Chí Kiên rồi”.
Nhiều độc giả cho rằng, nếu cô hiệu trưởng xuống xe, đưa học sinh đi cấp cứu, thăm hỏi và xin lỗi gia đình, mọi chuyện đã không phức tạp như hiện nay.
Chuyện bé thành to vì cách ứng xử
Theo dõi diễn biến của câu chuyện, nhiều độc giả cho rằng bản chất của sự việc không lớn. Luật sư Nguyễn Anh Thơm, Trưởng Văn phòng luật sư Nguyễn Anh (Đoàn luật sư Hà Nội) đánh giá dưới góc độ pháp luật, từ đầu, cô hiệu trưởng trường Nam Trung Yên không có dấu hiệu phạm tội.

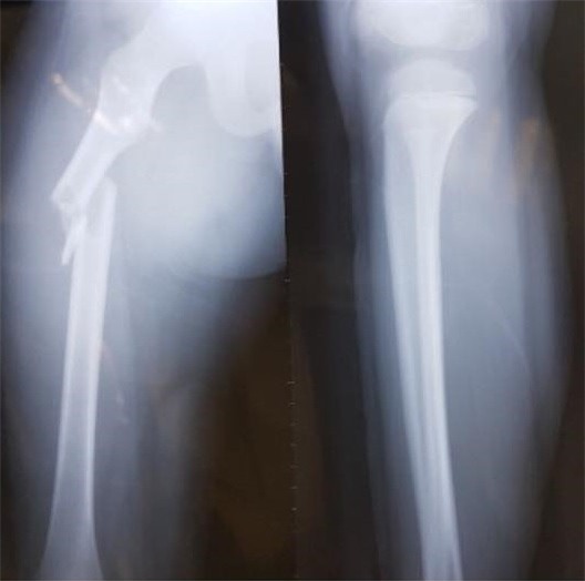
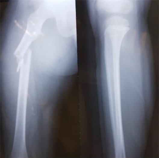
Hình ảnh khi xương đùi của học sinh Trần Chí Kiên được chụp X-quang. Ảnh: NVCC.
Trong sự việc này, nếu có, anh lái xe - người điều khiển, xử lý các tình huống trên đường - chịu trách nhiệm về lỗi vô ý gây thương tích.
Cụ thể, Điều 108 Bộ luật Hình sự năm 1999 nêu: “Người nào vô ý gây thương tích hoặc gây tổn hại cho sức khỏe của người khác mà tỷ lệ thương tật từ 31% trở lên, thì bị phạt cảnh cáo, cải tạo không giam giữ đến hai năm hoặc phạt tù từ ba tháng đến hai năm”.
Ngoài ra, lái xe sẽ phải chịu bồi thường toàn bộ chi phí thiệt hại.
Vì vậy, khi xảy ra sự việc không may, giá như nữ giáo viên biết nhận lỗi và xin lỗi, chăm sóc học sinh của chính mình thì sự việc đơn giản hơn rất nhiều.
Thế nhưng, nữ hiệu trưởng bị giáo viên trong trường tố báo cáo sai sự thật khi làm phiếu khảo sát. Luật sư Thơm cho rằng nếu chứng minh được cô hiệu trưởng cưỡng ép hay mua chuộc người viết phiếu mới vi phạm pháp luật. Hành động này của cô giáo trước tiên thuộc về vấn đề đạo đức khi trốn tránh trách nhiệm và gian dối, ngành giáo dục cần lên tiếng.
Nhiều bạn đọc đồng tình ngay từ đầu, cô hiệu trưởng thừa nhận trách nhiệm khi đồng ý cho taxi vào sân trường, xin lỗi học sinh và gia đình thì đã không bị dư luận lên án.
Thay vì làm những điều trên, cô cho làm phiếu khảo sát sai sự thật để chứng minh mình vô can. Gia đình học sinh đã phải làm đơn kêu cứu gửi tới báo chí và các cơ quan chức năng mong làm rõ sự thật.
Anh Trần Chí Dũng - bố nạn nhân - cho biết: "Trong thời gian Kiên nằm viện, cô giáo chủ nhiệm vào thăm hỏi với tư cách cá nhân. Còn lại, cô hiệu trưởng chỉ liên lạc với gia đình sau khi sự việc đã vỡ lở".
Độc giả Nguyễn Sơn viết: “Tôi không hiểu giáo viên suy nghĩ gì mà hành động vô cảm như vậy. Khi sự việc có chiều hướng bị phanh phui, họ mới đối phó".
Bạn Thu Thủy nêu quan điểm sự trung thực cùng một lời xin lỗi đúng lúc, chân thành có thể giúp cô hiệu trưởng không tự đẩy mình vào bờ vực phá sản niềm tin của gia đình và học sinh.
"Cô hiệu trưởng nên từ chức"
Hiện tại, vụ việc nam sinh bị gãy chân trong sân trường chưa có kết luận chính thức.
Anh Nguyễn Quang Thạch chia sẻ trên Facebook: Vụ học trò bị taxi đâm gãy chân trong sân trường đã trở thành vấn đề quan tâm của xã hội. Chính quyền, báo chí và giáo viên đã lên tiếng. Để chấm dứt tình trạng gian dối trong trường học, cha mẹ học sinh cần đồng lòng lên tiếng với gia đình anh Trần Chí Dũng.

Em Trần Chí Kiên đang tập đi bằng nạng. Ảnh: NVCC.
Độc giả Nguyễn Sơn mong muốn cô hiệu trưởng nên từ chức hoặc xin chuyển làm công tác khác. Những giáo viên khác trong trường liên quan vụ việc phải bị cảnh cáo, qua đó góp phần lấy lại niềm tin cho cha mẹ học sinh và ngành giáo dục.
Bạn Hải Phòng trăn trở ngành giáo dục vẫn có nhiều giáo viên có tâm huyết với nghề nhưng không xin được việc, trong khi đó lại tồn tại "con sâu làm rầu nồi canh".
"Mong ngành quyết tâm xử lý đúng người đúng tội một cách nghiêm khắc. Bởi, nhà giáo còn thiếu trung thực sẽ làm hỏng cả thế hệ học trò và phụ huynh biết tin vào ai", độc giả này nêu quan điểm.
Sự việc bắt đầu vào ngày 1/12/2016, em Trần Chí Kiên bị ngã gãy xương đùi tại trường Tiểu học Nam Trung Yên. Theo lời của Kiên, khi chạy về lớp, em va chạm với ôtô màu xanh nước biển đang di chuyển trong sân trường. Cháu nhận ra trên xe có cô hiệu trưởng và một giáo viên khác. Nữ hiệu trưởng đã phủ nhận điều này và cho làm khảo sát trong trường chứng minh mình vô can. Ngày 6/2, Chủ tịch UBND TP Hà Nội Nguyễn Đức Chung chỉ đạo Sở GD&ĐT Hà Nội và các bên liên quan xem xét, đình chỉ chức vụ hiệu trưởng để chờ kết luận vụ việc. Ngày 17/2 và 18/2, nhiều giáo viên liên tiếp lên tiếng khẳng định hiệu trưởng nhà trường báo cáo sai sự thật về vụ tai nạn. Ngày 18/2, Bộ trưởng GD&ĐT Phùng Xuân Nhạ cho biết sẽ xử lý nghiêm nếu có sai phạm trong vụ nam sinh lớp 2 bị gãy xương đùi tại trường Tiểu học Nam Trung Yên, Hà Nội. |
Theo Trí thức trẻ