Vật dụng rất thường có trong nhà và là
thứ yêu thích của nhiều trẻ nhỏ lại chính là một ẩn họa có thể gây ra
nhiều tai nạn kinh hoàng không thể ngờ.
Cũng giống nhiều cô cậu bé 2 tuổi khác, Wren Bowell rất yêu thích
việc tô màu và vẽ tranh. Một buổi tối năm 2012, trước giờ đi ngủ, Wren
đã hớn hở chạy ra khỏi phòng để khoe bố mẹ bức tranh vừa hoàn thành.
Đáng sợ thay, trong lúc chạy quá nhanh, Wren đã vấp chân té nhào và bị
chiếc bút chì em đang cầm trong tay xuyên từ hốc mắt vào sâu trong não.

Martyn và Michelle, bố mẹ của Wren kinh hoàng cho hay: “Bất
cứ điều gì xảy ra với con cũng đều khiến cho bạn rất sốc. Gãy một
chiếc xương thôi cũng đã đủ tệ hại rồi, nói gì đến những hệ quả kinh
khủng hơn khi mắt hoặc não của con bị tổn thương”.
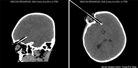
Rất may mắn Michelle là một y tá nên cô đã không vội vàng đụng vào vết thương hay rút cây bút chì ra khỏi đầu con gái. Cô bé Wren tội nghiệp được đưa vào bệnh viện Royal United tại thành phố Bath để cấp cứu. Tuy nhiên khi chụp ảnh cắt lớp để xác định vết thương, các bác sĩ ở đây đã phát hiện ra vị trí cây bút chì xuyên qua não Wren quá hiểm hóc nên đã phải nhờ đến các chuyên gia thần kinh tại Frenchay giúp đỡ.

Hình
ảnh chụp cho thấy cây bút đã sượt qua nhãn cầu và những chỗ chí tử
trong não của bệnh nhân một cách thần kỳ. Chỉ cần đường đâm chệch một
chút thôi sẽ gây tổn thương đến mạch máu lớn trong não và Wren có thể đã
không giữ được tính mạng. Các bác sĩ sau đó đã tiến hành mở hộp sọ để
lấy cây bút ra bởi cú đâm quá mạnh khiến cây bút lún sâu đến gần 4cm vào
trong não của cô bé.

Sau
ca phẫu thuật căng thẳng kéo dài 4 tiếng đồng hồ, bé Wren đã vượt qua
nguy hiểm. Cô bé nằm viện theo dõi trong 3 tuần trước khi được cho xuất
viện. Các bác sĩ cũng cho biết trường hợp của Wren là một phép màu bởi
cô bé không chỉ thoát chết trong gang tấc mà còn không bị bất cứ tổn
thương vĩnh viễn nào.

Câu chuyện về tai nạn của bé Wren tưởng chừng rất xa lạ nhưng là điều mọi bậc phụ huynh đều phải lưu ý bởi từng có không ít những tai nạn tương tự đã xảy ra. Không chỉ là bút chì, mà đũa, muỗng, tua vít và những vật nhọn khác đều là những hiểm họa đối với trẻ nhỏ, bố mẹ tuyệt đối không nên để con chơi chơi với chúng.