Sau khi bị rơi cả cầu răng giả 4 chiếc vào phế quản, gây hẹp gần hoàn toàn phế quản, sức khoẻ của cụ ông 90 tuổi, quê Thái Bình bị đe doạ nghiêm trọng. Các y bác sĩ tại bệnh viện Phổi Trung ương đã kịp thời tiến hành nội soi phế quản, cấp cứu kịp thời để cứu sống cụ ông trong gang tấc.
Theo đó, bệnh nhân nhập viện vào lúc 11 giờ 45 phút ngày 23/9, trong tình trạng ho nhiều, khó thở. Các bác sĩ của Bệnh viện Phổi Trung ương đã khẩn trương tiến hành hội chẩn và quyết định nội soi phế quản cấp cứu để gắp dị vật khí quản, giải phóng tắc nghẽn đường thở, nhằm cứu sống người bệnh.

Dị vật nằm sâu trong phế quản khiến bệnh nhân khó thở, đe doạ tính mạng - Ảnh: Bác sĩ cung cấp
Ngay sau đó, bệnh nhân đã nhanh chóng được gắp thành công dị vật ra khỏi phế quản, giải phóng đường thở. Dị vật này là 1 cầu răng sứ 4 răng hàm dài 3,5cm đã bị rơi vào khí phế quản trong quá trình lắp răng giả cho người bệnh.

Dị vật này là 1 cầu răng sứ 4 răng hàm dài 3,5cm đã bị rơi vào khí phế quản của bệnh nhân.
Bác sĩ Nguyễn Lê Nhật Minh, Trưởng khoa Nội soi chẩn đoán và can thiệp thuộc Bệnh viện Phổi Trung ương, cho biết ngày 23/9, bệnh nhân được chuyển từ Bệnh viện đa khoa tỉnh Thái Bình đến trong tình trạng ho nhiều, khó thở. Sau khi lấy được dị vật ra khỏi cơ thể, bệnh nhân cảm thấy dễ chịu, dễ thở hơn sau khi được gắp cầu răng giả ra khỏi phế quản phổi.
Theo bác sĩ Minh, đây là một kỹ thuật y khoa khó vì dị vật quá to và trơn nhẵn do răng giả làm bằng sứ.
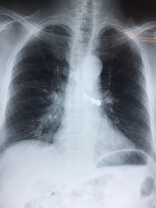
Trước đó, cụ ông này có đi làm răng giả nhưng không may bị sự cố rơi mất răng giả. Người bệnh đã được nội soi dạ dày tại Bệnh viện tỉnh Thái Bình để tìm dị vật nhưng không thấy; được chụp phim X-quang phổi và phát hiện ra dị vật trong đường thở. Do vượt quá khả năng can thiệp nên cụ ông 90 tuổi được lên tuyến trên.
Theo Thời đại
