
Ảnh minh họa: Getty Images
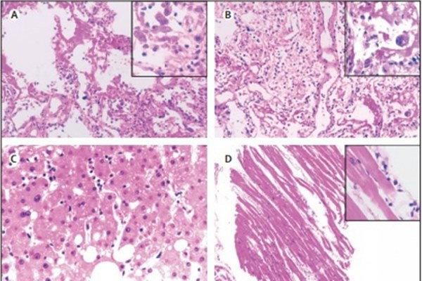
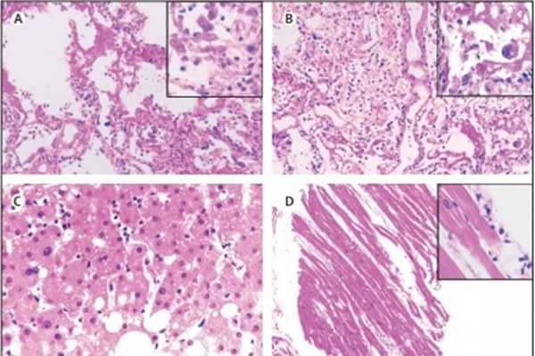
Theo Bloomberg, sau khi khám nghiệm tử thi một bệnh nhân nam giới 50 tuổi tử vong do COVID-19 tại Trung Quốc, các bác sĩ cho biết phổi của bệnh nhân này có những tổn thương tương tự như hai loại virus corona khác - SARS và MERS - gây ra.
Được biết, bệnh nhân đã qua đời vào ngày 27/1 sau khi căn bệnh kéo dài 2 tuần khiến người này càng ngày càng khó thở. Phế nang (cơ quan giúp đưa oxy vào máu và loại bỏ carbon dioxide) trong phổi bệnh nhân này bị tổn hại nặng nề và việc đó làm ảnh hưởng nghiêm trọng tới tim.
Các xét nghiệm máu cho thấy một loại tế bào chịu trách nhiệm chống lại nhiễm trùng đã hoạt động quá mức và gây ra tổn hại lớn cho hệ miễn dịch của bệnh nhân.
Virus corona chủng mới - hay COVID-19 - đã lây nhiễm hơn 70.000 người và làm hơn 1.800 người tử vong. Con số này lớn hơn rất nhiều so với các đợt dịch bệnh trước đó là SARS và MERS.

Hình ảnh các tổn thương trong phổi của bệnh nhân nhiễm virus COVID-19. Ảnh: Lancet
Nghiên cứu nói trên được đăng trên tạp chí y khoa Lancet và đã cung cấp thêm một số thông tin về cách virus COVID-19 làm tổn thương người bệnh. Những nghiên cứu như vậy thường rất khó thực hiện bởi các bác sĩ "được tiếp cận rất ít tới dữ liệu khám nghiệm tử thi".
Các tác giả của nghiên cứu cho rằng kết quả khám nghiệm có thể hữu ích cho việc điều trị bệnh nhân nhiễm COVID-19. Hiện tại chưa có loại thuốc nào chứng tỏ có tác dụng rõ rệt trong việc chống lại virus corona chủng mới.
Trong quá trình điều trị, bệnh nhân được cấp một số các loại thuốc để giảm nhẹ tình trạng viêm phổi và "khó thở nghiêm trọng". Mặc dù bệnh nhân hạ sốt sau khi dùng thuốc nhưng ngày càng khó thở hơn và mức oxy trong máu giảm mạnh trong những ngày cuối đời.
"Bệnh nhân ngay lập tức được thông khí xâm lấn, ép tim ngoài lồng ngực và tiêm adrenaline. Tuy nhiên, bệnh nhân không qua khỏi và qua đời vào 18h31 (giờ Trung Quốc)," các bác sĩ điều trị cho hay.
Theo Trí Thức Trẻ
