Một người phụ nữ họ Lin (Đài Loan, Trung Quốc) đã phải hối hận vì sự chủ quan của mình khi biết trong ổ bụng có khối u 6cm và túi mật toàn là sỏi. Bà Lin ngoài 60 tuổi, bị đau bụng âm ỉ kết hợp với chóng mặt, rối loạn tiêu hóa dai dẳng đã lâu. Tuy nhiên, chỉ cho rằng đó là do ăn uống kém, lại đã có tuổi, cũng không phải vấn đề sức khỏe gì nghiêm trọng nên không muốn tốn tiền thăm khám.
Cho đến gần đây, tần suất tiêu chảy của bà Lin tăng lên rất nhiều, còn có máu trong phân nhưng uống thuốc mãi không khỏi. Vì cuộc sống hàng ngày bị ảnh hưởng, bà tới Khoa Tiêu hóa thuộc viện Đa khoa Cathay (Đài Loan, Trung Quốc) để kiểm tra.

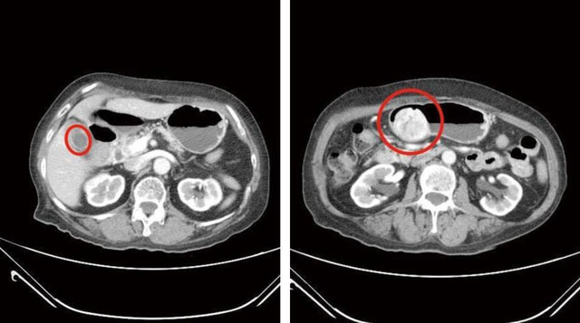
Sau khi nội soi tiêu hóa trên và chụp CT, các bác sĩ phát hiện cùng lúc bà gặp phải 2 vấn đề nghiêm trọng trong ổ bụng. Một là sỏi chất đầy trong túi mật và hai là khối u dạ dày loại mô đệm đường tiêu hóa 6cm. Điều đáng nói là khối u này không phải mới xuất hiện mà đã được nghi ngờ từ 3 năm trước nhưng bà Lin không chịu thăm khám chuyên sâu, cũng cho rằng không có triệu chứng khó chịu rõ ràng.
Ngay sau đó, bà được phẫu thuật loại bỏ sỏi túi mật và cắt bỏ khối u. Hiện tại đang được chăm sóc hậu phẫu và chuẩn bị điều trị khối u bổ sung theo phác đồ từ bác sĩ.
Những dấu hiệu dễ bỏ qua của sỏi mật, khối u mô đệm đường tiêu hóa
Thông qua trường hợp của bà Lin Tiến sĩ Tsai Hsin - bác sĩ phẫu thuật tổng quát của Bệnh viện Đa khoa Cathay nhắc nhở: “Sỏi túi mật và khối u mô đệm đường tiêu hóa đều là những bệnh lý phát triển âm thầm, không có dấu hiệu rõ ràng ở giai đoạn đầu. Bên cạnh việc thăm khám sức khỏe định kỳ, đừng xem nhẹ những thay đổi dù nhỏ nhưng lặp lại nhiều lần. Tốt nhất là nên đi thăm khám ngay vì đó có thể là dấu hiệu của nhiều bệnh lý nguy hiểm”.
Cũng theo Tiến sĩ Tsai, sỏi túi mật là sự tích tụ của cholesterol, muối mật hoặc bilirubin trong túi mật, tạo thành các viên sỏi có kích thước khác nhau. Chúng có thể gây đau, viêm nhiễm hoặc tắc nghẽn đường mật nếu không được phát hiện sớm. Điều đáng lo là sỏi túi mật có thể phát triển âm thầm trong nhiều năm mà không gây triệu chứng. Tuy nhiên, khi sỏi mật quá nhiều hoặc chặn dòng chảy của mật, người bệnh có thể gặp các dấu hiệu sau:
- Đau bụng trên, đặc biệt sau khi ăn đồ dầu mỡ
- Buồn nôn, nôn mửa kéo dài
- Đầy bụng, khó tiêu
- Sốt, ớn lạnh do viêm túi mật
- Vàng da, vàng mắt nếu sỏi gây tắc ống mật
- Đau lan ra lưng hoặc vai phải

Còn với u mô đệm đường tiêu hóa, Tiến sĩ Tsai giải thích: “Khối u mô đệm đường tiêu hóa (GIST) là một loại ung thư hiếm gặp, phát triển từ tế bào kẽ trong lớp cơ của đường tiêu hóa, thường xuất hiện ở dạ dày hoặc ruột non. GIST có thể lành tính hoặc ác tính, nhưng nếu không được điều trị kịp thời, khối u có thể phát triển lớn, gây xuất huyết, tắc nghẽn hoặc di căn. Đáng lo là loại u này thường chỉ có triệu chứng rõ rệt khi kích thước đã lớn hơn 2cm”.
Tiến sĩ Tsai cũng chỉ ra 6 dấu hiệu quan trọng giúp nhận biết sớm khối u mô đệm đường tiêu hóa - loại u hiếm gặp nhưng nguy hiểm này:
- Đau tức bụng, cảm giác chướng bụng kéo dài
- Buồn nôn, nôn không rõ nguyên nhân
- Đi ngoài phân có máu hoặc phân đen
- Sụt cân bất thường
- Cảm giác no nhanh dù ăn rất ít
- Thay đổi thói quen đại tiện, rối loạn tiêu hóa dai dẳng.
Theo doisongphapluat.nguoiduatin.vn
