Dịch Covid-19 bùng lên ở Trung Quốc từ tháng 12/2019. Trong gần nửa năm qua, dịch đã lan tới 212 quốc gia và vùng lãnh thổ với trên 3,5 triệu ca mắc, gần 250.000 người tử vong.
Đại dịch Covid-19 chính là thảm họa lớn nhất của nhân loại kể từ chiến tranh thế giới thứ 2.
Dù dải trình tự gene giống SARS tới 80% nhưng những thông tin cập nhật gần đây cho thấy, mức độ nguy hiểm của SARS-CoV-2 lớn hơn nhiều so với các chủng đã biết.
Viêm phổi và suy hô hấp cấp tính
Ở giai đoạn 1 của dịch Covid-19, khi Trung Quốc là điểm nóng của cả thế giới, các dữ liệu nghiên cứu cho thấy, biến chứng nguy hiểm và phổ biến nhất ở các bệnh nhân nhiễm bệnh là viêm phổi.
Phổi là môi trường yêu thích nhất của virus SARS-CoV-2. GS Matthew B.Frieman, một chuyên gia về virus của ĐH Maryland (Mỹ) cho biết, nCoV cũng tấn công vào phổi qua 3 giai đoạn như SARS.
Những ngày đầu mới nhiễm, virus tấn công dồn dập tế bào phổi, chủ yếu là lớp tế bào bảo vệ lông mao, sau đó làm bong tróc lớp bảo vệ này.

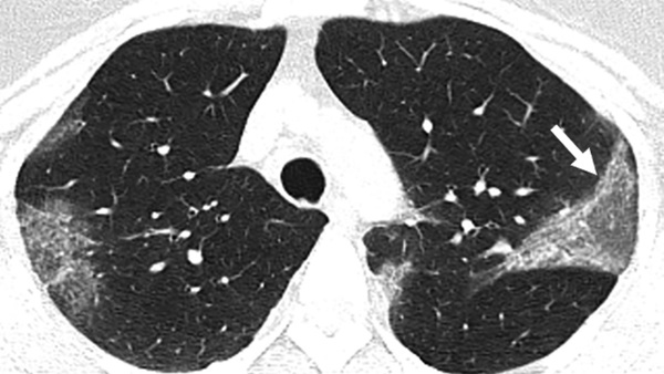
Hình ảnh tổn thương phổi đặc trưng của các bệnh nhân nhiễm Covid-19
Khi mất đi lớp bảo vệ, đường hô hấp sẽ bị chất bẩn, dịch lỏng và virus tràn ngập. Cách thức tấn công này khiến nhiều bệnh nhân Covid-19 bị viêm cả 2 lá phổi.
Sau giai đoạn 1, nếu hệ miễn dịch bệnh nhân đủ khoẻ, sẽ hồi phục. Trường hợp cơ thể bệnh nhân miễn dịch quá mức, tấn công cả tế bào lành sẽ khiến tình trạng thêm xấu đi. Bệnh nhân 91, phi công Vietnam Airlines tại nước ta gặp tình trạng này.
Khi sang giai đoạn 3, tổn thương phổi nặng sẽ tiếp tục lan rộng dẫn tới suy hô hấp cấp tính (thở nhanh, khó thở, tím tái…). Trong trường hợp bệnh nhân có hồi phục, phổi sẽ bị tổn thương không thể phục hồi.
Thống kê 113 trường hợp Covid-19 tử vong tại BV Đồng Tế, Trung Quốc cho thấy, 100% bệnh nhân tử vong bị biến chứng suy hô hấp cấp tính và nhiễm trùng.
Tổn thương tim
Nghiên cứu của các bác sĩ BV Đồng Tế, Trung Quốc trên 113 bệnh nhân tử vong đăng trên tạp chí BMJ cho thấy, 77% bị tổn thương tim cấp tính và 49% bị suy tim.
Điểm đặc biệt, không chỉ bệnh nhân có tiền sử tim mạch mới bị các biến chứng suy tim, tổn thương tim cấp, các bệnh nhân tử vong khác cũng gặp biến chứng này.
Tại Vũ Hán, Trung Quốc, thống kê cũng cho thấy cứ 5 bệnh nhân mắc Covid-19 có hơn 1 người bị tổn thương tim dù trước đó không có tiền sử bệnh tim. Nghiên cứu này đã được công bố trên tạp chí JAMA Cardiology vào cuối tháng 3 vừa qua.
Các bác sĩ tim mạch đã giải thích 2 khả năng. Thứ nhất, tim bệnh nhân có lẽ đã phải cố gắng để bơm máu khi thiếu lượng oxy cần thiết và virus có thể đã trực tiếp xâm nhập vào tế bào tim mạch. Trường hợp thứ hai, trong quá trình cơ thể nỗ lực loại bỏ virus SARS-CoV-2 đã tạo ra cơn bão cytokine, tấn công vào tim.
Do đó, các bác sĩ khuyến cáo, ngoài để ý đến viêm phổi, các cơ sở y tế cần theo dõi và chăm sóc hỗ trợ tim sớm cho các bệnh nhân Covid-19.
Suy gan, thận
Nghiên cứu cho thấy những người mắc Covid-19 thể nặng có nguy cơ bị tổn thương gan, thận rất cao. Khoảng 25% bệnh nhân Covid-19 tử vong tại BV Đồng Tế, Trung Quốc bị tổn thương thận cấp tính.
Tổn thương gan cấp tính và suy gan là có nguy cơ đe dọa tính mạng. Với tổn thương thận, sẽ phải cấp cứu ngay lập tức, lọc máu (chạy thận) cho đến khi thận có thể hoạt động trở lại bình thường.
Tấn công mạch máu
Giữa tháng 4 vừa qua, các nhà khoa học Thụy Sỹ công bố nghiên cứu trên tạp chí The Lancet cho biết, virus SARS-CoV-2 có khả năng tấn công các niêm mạc mạch máu trên khắp cơ thể, từ đó dẫn đến tình trạng suy đa tạng.
Sau khi vào cơ thể, virus sẽ xâm nhập vào lớp nội mô (tế bào) - được coi là tuyến phòng thủ của các mạch máu, làm giảm khả năng miễn dịch của cơ thể và gây ra các vấn đề trong hệ thống vi tuần hoàn (gồm những mạch máu nhỏ nối tiểu động mạch và tiểu tĩnh mạch).
Hệ thống vi tuần hoàn khi gặp trục trặc sẽ làm giảm lưu lượng máu đến các bộ phận khác nhau của cơ thể và cuối cùng là ngừng lưu thông máu.
Gây đột quỵ
Theo báo cáo tại Anh, Mỹ, ngày càng có thêm nhiều bằng chứng cho thấy virus SARS-CoV-2 tạo ra hàng trăm cục máu đông trong các động mạch lớn, gây đau tim và đột quỵ.
Mạng lưới chăm sóc y tế Northwell Health (New York, Mỹ) ghi nhận khoảng 40% bệnh nhân Covid-19 tử vong đều gặp phải tình trạng đông máu hoặc lên cơn đau tim đột ngột.

Trong đó hầu hết bệnh nhân không có tiền sử bệnh lý, nhiễm bệnh triệu chứng nhỏ, độ tuổi phổ biến từ 30-40, nhóm tuổi ít xảy ra đột quỵ do tắc mạch máu não.
Nhóm các nhà nghiên cứu tại Ireland đã nghiên cứu 83 trường hợp bệnh nhân covid-19 nặng điều trị tại BV St James cho thấy, 67% có hiện tượng hình thành cục máu đông.
Tấn công hệ thần kinh
Tại Trung Quốc, các bác sĩ từng phát hiện virus SARS-CoV-2 hiện diện trong dịch não tủy của bệnh nhân, gây viêm não.
Giám đốc khoa ICU của Bệnh viện Địa Đàn Liu Jingyuan, Trung Quốc khuyến cáo, khi một bệnh nhân có dấu hiệu mất khả năng nhận thức, nhân viên y tế cần cân nhắc khả năng virus tấn công hệ thần kinh, và xét nghiệm dịch não tủy kịp thời để tránh chẩn đoán chậm trễ.
Ngoài ra, TS Erin Michos, Phó giám đốc phòng ngừa bệnh tim mạch ở ĐH Johns Hopkins, Mỹ cũng cho rằng, rất nhiều bệnh nhân Covid-19 mất khứu giác và vị giác, đó cũng có thể là dấu hiệu virus SARS-CoV-2 xâm nhập vào hệ thần kinh và khu vực não bộ phụ trách khứu giác.
Viêm mạch máu cấp tính ở trẻ em
Thời điểm đầu mùa dịch Covid-19, Trung Quốc báo cáo rất ít trường hợp trẻ em nhiễm bệnh. Ngay các trường hợp trẻ em mắc Covid-19 cũng nhẹ hơn người lớn, tỉ lệ tử vong rất thấp.
Tuy nhiên từ cuối tháng 4 vừa qua, hàng loạt quốc gia châu Âu đã báo cáo những biểu hiện bất thường ở trẻ nhiễm Covid-19.
Sau Anh, Italy, Pháp, Tây Ban Nha, Bỉ hay Mỹ, hôm 30/4 đến lượt cơ quan y tế Tây Ban Nha báo cáo về sự gia tăng các trường hợp trẻ em nhập viện với hội chứng viêm nghiêm trọng, giống như bệnh Kawasaki hay còn gọi là bệnh viêm mạch máu hệ thống cấp tính, trong đó có nhiều trẻ dương tính với SARS-CoV-2.
Hiện các bác sĩ vẫn đang tiếp tục nghiên cứu để tìm ra mối liên hệ giữa Covid-19 và căn bệnh lạ nói trên.
Theo VietNamNet
