
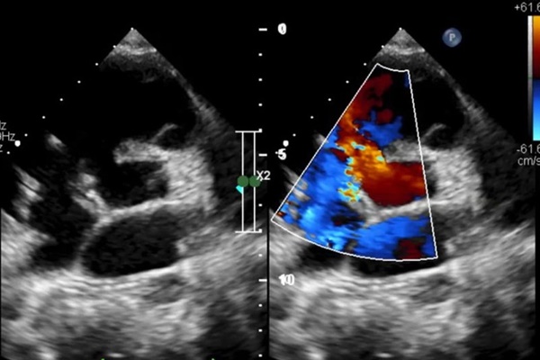
Hình ảnh siêu âm trước khi mổ cho bệnh nhi. Ảnh: BVCC
Bệnh nhi L.H.C. (nam, 12 tuổi, trú tại Thuận Châu, Sơn La) nhập viện do khởi phát bệnh tim từ 6 năm trước với biểu hiện khi gắng sức xuất hiện khó thở, mệt mỏi. Bệnh nhi được chuyển lên từ bệnh viện tuyến dưới.
Cụ thể: Bệnh nhân có cân nặng khoảng 30 kg, lồng ngực hình ức gà, khó thở khi gắng sức. Khi thở có những tiếng thổi ở tim, cạnh ức trái.
Trên các kết quả thăm dò, siêu âm tim thông liên thất quanh màng lan vào buồng nhận. Kích thước lỗ thông lớn, đường kính lỗ khoảng 16 mm, shunt trái phải, chênh áp cao. Tim giãn to, các chỉ số tim như đường kính thất trái là 61.
Bệnh nhi đã được lên kế hoạch để can thiệp bít lỗ thông nhưng thất bại do đặc điểm về kích thước và vị trí lỗ thông.
Nhận định đây là trường hợp cần phải xử lý kịp thời, các bác sĩ Đơn vị Phẫu Thuật Tim mạch, lồng ngực, Trung tâm Tim mạch, phối hợp với các bác sĩ thuộc Khoa Gây mê hồi sức và chống đau tiến hành mổ tim hở, có sử dụng hệ thống tuần hoàn ngoài cơ thể thông qua đường mở kinh điển cưa xương ức để xử lý cho bệnh nhân.
Trong quá trình mổ, bệnh nhi được sử dụng các dung dịch để làm tim ngừng đập tạm thời. Các bác sĩ thấy lỗ thông ở phần màng lan vào buồng nhận, ăn sâu vào phần cơ, kích thước khoảng 15 x 20 mm. Bệnh nhi được vá lại lỗ thông bằng miếng vá nhân tạo và thu hẹp vòng van 3 lá. Sau ca mổ đầy kịch tính này, tình trạng bệnh nhi ổn định, có dấu hiệu hồi phục tích cực.
Bệnh lý tim bẩm sinh do nhiều nguyên nhân, phần lớn liên quan bất thường phát triển trong giai đoạn tim được hình thành cấu trúc. Các tật về tim bẩm sinh hoàn toàn có thể được phát hiện bằng siêu âm chẩn đoán trước sinh và sau sinh.
Bệnh lý thông liên thất không phải bệnh lý quá hiếm gặp và phức tạp. Tuy vậy, nếu được phát hiện và can thiệp sớm, rất nhiều bệnh nhân tim bẩm sinh nói chung và thông liên thất nói riêng có thể chữa được và trở về cuộc sống như người bình thường.
Theo VTV
