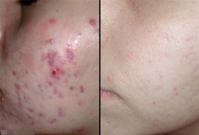
Mụn xuất hiện không chỉ ở giai đoạn tuổi dậy thì mà chúng còn luôn thường trực mọi lúc mọi nơi. Nguyên nhân hình thành nên mụn có rất nhiều, có thể là do vệ sinh da chưa đủ sạch, rối loạn tiết tố, căng thẳng, thức khuya, nóng trong,…
Dù với lý do là gì thì chúng vẫn khiến bạn “phát điên” bởi sự kém duyên, nhìn rất khó chịu, chưa kể là chúng còn để lại vết thâm rất lâu tan nữa.
Đối với vấn đề này, bạn cần phải chăm sóc da đúng cách. Đừng quá tin vào các loại kem trị mụn mà bôi nhiều, tránh sử dụng nhiều mỹ phẩm cùng một lúc, hạn chế trang điểm, hãy uống nhiều nước và thực hiện công thức dưới đây.
Nguyên liệu cần chuẩn bị:
- 1 nắm lá tía tô
- Rau kinh giới
- Chanh
- Muối
- Củ sả nếu có
Cách thực hiện:
- Đầu tiên bạn nhặt bỏ hết lá úa, gốc rễ của các loại rau, đem rửa sạch rồi cho vào nồi.
- Thêm nước ngập mặt rau, khoảng 1 lít nước + 1 thìa muối, đặt lên bếp đun.
- Đến khi nước sôi thì bạn hạ nhỏ lửa, để thêm 5 phút nữa cho tinh chất trong lá tiết ra hết rồi mới tắt bếp.
Cách xông mặt:
- Bạn làm sạch da với sữa rửa mặt để loại bỏ hết bụi bẩn cũng như bã nhờn tích tụ cả ngày.
- Tiếp đến, bạn vắt chanh vào nồi, thả cả vỏ rồi đưa sát mặt đến gần nồi nước sao cho hơi nóng bốc lên vừa đủ mà không bị bỏng rát.
- Dùng khăn trùm kín đầu tránh làm hơi nước thoát ra ngoài, thực hiện xông mặt như vậy đến khi nguội hoàn toàn.
- Sau đó, bạn dùng nước lạnh vỗ nhẹ vào da nhằm se lỗ chân lông. Mách bạn mẹo nhỏ đó là chườm đá viên lên da vài vòng, điều này giúp kích thích quá trình lưu thông máu, tái tạo tế bào mới, tăng độ đàn hồi cho da thêm săn chắc, trị mụn hiệu quả hơn.
Công dụng:Tía tô, rau kinh giới đều là những thảo dược thiên nhiên có tác dụng làm đẹp da rất hiệu quả, chúng giúp tiêu diệt mọi vi khuẩn gây mụn, chữa lành các thương tổn trên da một cách nhanh chóng. Bên cạnh đó, chanh và muối kháng khuẩn, sát trùng, đẩy mạnh tốc độ trị mụn và làm trắng da, xóa thâm.
Theo thethaovaxahoi.vn



