Ecns đưa tin cảnh báo chủng mới của virus corona (SARS-CoV-2) có thể tấn công hệ thần kinh trung ương. Thông tin này do một bác sĩ Trung Quốc đưa ra sau khi Bệnh viện Ditan Bắc Kinh (Trung Quốc) tìm thấy trình tự gene của SARS-CoV-2 trong dịch não tủy của một bệnh nhân Covid-19.
Bệnh nhân là nam giới, 56 tuổi, bị viêm não cùng lúc với viêm phổi. Phác đồ nghiên cứu não của bệnh nhân phát hiện virus corona xâm chiếm hệ thống thần kinh, giống như SARS và MERS đã từng gây ra.
Đây là ca đầu tiên chứng minh chủng mới của virus corona có thể xâm nhập hệ thống thần kinh trung ương của người.

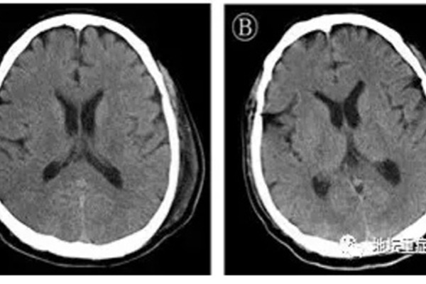
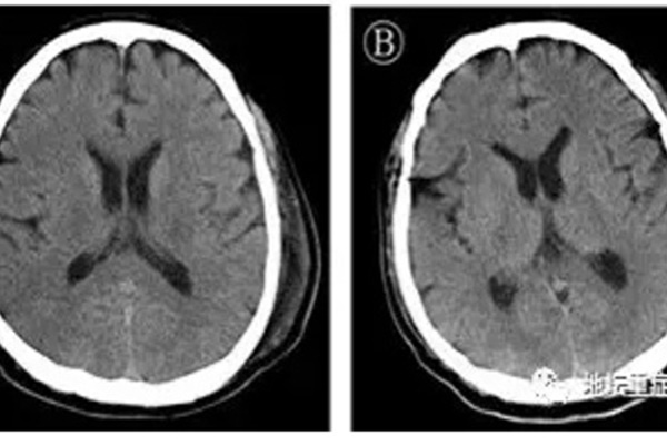
Ảnh chụp não bộ bị virus corona tấn công của bệnh nhân tại Khoa ICU, Bệnh viện Ditan Bắc Kinh. Ảnh: Ecns.
Liu Jingyuan, Trưởng khoa ICU của Bệnh viện Ditan Bắc Kinh và cũng là bác sĩ trực tiếp theo dõi bệnh nhân 56 tuổi, cảnh báo các bác sĩ khác nên kiểm tra dịch não tủy của bệnh nhân nếu họ đột nhiên bị hôn mê bất tỉnh. Hành động này nhằm làm giảm tỷ lệ tử vong của người bệnh.
Theo thông tin từ Ecns, bệnh nhân 56 tuổi đã hồi phục và được xuất viện vào ngày 25/2 vừa qua. Người này nhập viện một tháng trước vì suy hô hấp. Các bác sĩ đã giải trình tự gene trên dịch não tủy của bệnh nhân khi nhận thấy các rối loạn thần kinh, co giật sau nhiều ngày điều trị.
Trước cảnh báo của bác sĩ Liu, một nhóm nghiên cứu Trung Quốc khác cũng đưa ra thông tin sơ bộ rằng Covid-19 có thể ảnh hưởng đến hệ thần kinh của bệnh nhân. Bài viết do bác sĩ Hu Bo của Bệnh viện Union (thuộc Đại học Khoa học và Công nghệ Huazhong, Trung Quốc) chủ trì.
Bài viết có đề cập đến việc 30% trong số 214 bệnh nhân mà nhóm nghiên cứu lựa chọn có các triệu chứng trong hệ thống thần kinh. Tỷ lệ này lên tới 45,5% ở các bệnh nhân nguy kịch.
Trung Quốc đã ban hành hướng dẫn điều trị số 7 cho các bệnh nhân Covid-19 vào ngày 3/3, trong đó có kết quả khám nghiệm tử thi. Kết quả cũng làm rõ việc virus corona có thể gây tổn thương các cơ quan khác ngoài phổi, trong đó có mô não.
Theo Zing
