Ngày càng nhiều người Việt Nam gặp rắc rối về răng khôn, thậm chí có trường hợp tử vong vì chủ quan để răng mọc tự do.
Bên lề hội nghị khoa học và triển lãm răng hàm mặt mới đây tại Hà Nội, GS.TS Trịnh Đình Hải, Giám đốc BV Răng hàm mặt Trung ương, Chủ tịch Hội Răng hàm mặt VN đưa ra nhiều cảnh báo về mối nguy hiểm từ răng khôn.
GS Hải cho biết, ngày nào bệnh viện cũng tiếp nhận các trường hợp đến khám và nhổ răng số 8 (răng khôn), trong đó nhiều bệnh nhân bị lệch cả mặt vì răng khôn "phản chủ" nhưng người bệnh không biết cách điều trị.
![]() |
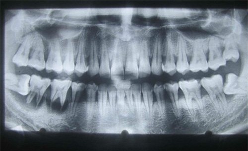
Răng 8 hàm dưới mọc lệch đâm ngang vào răng 7 gây tiêu xương ổ răng 2 răng này và phải nhổ bỏ |
Theo GS Hải, răng khôn mọc sau cùng trong khoảng thời gian từ 18-30 tuổi. Khoảng cách giữa răng số 7 và cạnh trong cùng của xương hàm sẽ quyết định vị trí răng khôn mọc như thế nào.
Nếu còn chỗ, răng khôn sẽ mọc thẳng bình thường, ít ảnh hưởng đến sức khỏe, nhưng khi thiếu chỗ sẽ không mọc hoặc mọc lệch, gây ra biến chứng đau đớn như viêm lợi, viêm quanh chân răng, sâu cổ răng, đặc biệt ở các răng khôn hàm dưới.
"Khi không được điều trị kịp thời, viêm tấy sẽ lan tỏa dẫn đến nhiễm trùng huyết và tử vong", GS Hải cảnh báo.
Với trường hợp mọc lệch, GS Hải khuyên bệnh nhân nên nhổ càng sớm càng tốt vì răng số 8 vô dụng trong việc nhai thức ăn, có thể húc đổ răng đứng cạnh. Chưa kể răng mọc sát trong cùng sẽ khiến việc vệ sinh khó khăn, gây sâu răng, ảnh hưởng đến các răng khác.
"Việc nhổ răng khôn là khó và hệ trọng hơn các răng khác do đó cần chọn cơ sở y tế uy tín để bác sĩ chỉ định, tránh những biến chứng có thể xảy ra", GS Hải khuyến cáo.
Theo các bác sĩ nha khoa, khi có kế hoạch nhổ răng 8 nên thực hiện từ khi còn trẻ, vì khi có tuổi, việc nhổ răng khôn được cho là khó hơn và cần nhiều thời gian để phục hồi.
Chi phí điều trị răng rẻ bằng 1/10 nước ngoài
Cũng trong hội nghị khoa học lần này, GS Hải cho biết, ngành răng hàm mặt của Việt Nam hiện đã cập nhật được nhiều kỹ thuật hiện đại của thế giới mà trước đây bệnh nhân phải ra nước ngoài thực hiện như bị biến dạng xương hàm, ung thư xương hàm phải cắt bỏ xương hàm khiến gương mặt chỉ còn 1/3.
![]() |
GS Trịnh Định Hải cho biết nhiều kỹ thuật khó trong lĩnh vực răng hàm mặt giờ có thể thực hiện ngay tại Việt Nam |
Những bệnh nhân này giờ sẽ được ghép vi phẫu xương hàm ngay tại Việt Nam với chi phí vài chục triệu đồng, rẻ bằng 1/10 so với điều trị tại nước ngoài. Kỹ thuật này hiện đã trở thành thường quy tại BV Răng hàm mặt Trung ương với trên 500 bệnh nhân được điều trị.
Theo đó các bác sĩ sẽ lấy đoạn xương mác ở cẳng chân, tái tạo hình dáng đúng theo vùng khuyết trên xương hàm bị khuyết rồi ghép vào. Sau đó sử dụng phương pháp nối động mạch, tĩnh mạch vi phẫu, tái tạo lại như cũ.
Kỹ thuật này thực sự tốt cho bệnh nhân bị ung thư xương hàm, khi trước đây chỉ điều trị hóa trị, xạ trị giờ có thể được cắt bỏ và tái tạo khuôn mặt mới.
Ngoài ra Việt Nam hiện cũng đã làm chủ được các kỹ thuật thẩm mỹ hàm mặt như gọt, cắt xương hàm chỉnh hô, móm, thu nhỏ môi miệng...

