Mới đây, bà mẹ trẻ họ Wang thu hút sự quan tâm của nhiều cha mẹ khi chia sẻ về nỗi ân hận của cô vì sai lầm trong cách chăm con. Lo sợ con còi, chị Wang rất nuông chiều cô con gái 6 tuổi trong việc ăn uống. Khi con chê táo quá cứng, chị sẽ xay nhuyễn cho con ăn. Nếu bé than vãn rau rất khó ăn, chị sẽ băm rau thật nhỏ. Con gái chê cơm, chị lại cho con ăn cháo.
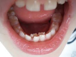
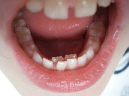
Rồi một ngày, chị bỗng giật mình khi nhìn vào miệng con. Phía sau hai răng cửa hàm dưới của cô bé xuất hiện hai chấm trắng. Chị Wang lập tức đưa bé đến khoa răng hàm mặt của một bệnh viện lớn để kiểm tra.
Vừa liếc nhìn, bác sĩ đã chẩn đoán ra ngay vấn đề của cô bé. Bác sĩ cho biết con gái chị Wang đang mọc răng hai hàng hay răng hàng đôi. Đây là hiện tượng răng sữa chưa rụng mà răng vĩnh viễn đã mọc. Vì không còn chỗ trống nên răng vĩnh viễn phải mọc lùi lại phía trong hoặc phía ngoài răng sữa, từ đó tạo thành hai hàng răng.

Răng sữa chưa kịp rụng mà răng vĩnh viễn đã mọc, tạo thành hai hàng răng ( Ảnh minh họa)
Bác sĩ cho biết tình trạng răng hai hàng hiện nay khá phổ biến. Cứ 10 trẻ đến khám nha khoa thì có 2 trẻ bị răng hai hàng. Nguyên nhân của tình trạng này phần lớn do lỗi của cha mẹ trong việc nuông chiều thói quen ăn uống của trẻ.
Trong thời gian ăn dặm, trẻ cần được làm quen với các loại đồ ăn từ loãng đến đặc, từ mềm đến rắn để rèn luyện kĩ năng nhai. Tuy nhiên, nhiều cha mẹ vì sợ con không ăn được nên luôn nấu thức ăn quá nhừ, hoặc xay nhỏ thức ăn. Khi trẻ đã lớn hơn, cha mẹ vẫn duy trì thói quen đó. Điều này vô tình khiến trẻ ít khi có cơ hội sử dụng răng sữa để nhai, khiến răng ít bị mài mòn, gốc răng vẫn rất chắc chắn và khó rụng.

Nhiều cha mẹ vì sợ con không ăn được nên luôn nấu thức ăn quá nhừ, hoặc xay nhỏ thức ăn (Ảnh minh họa)
Ngoài ra, trẻ còn được bổ sung dinh dưỡng quá nhiều dẫn đến việc thúc đẩy phôi răng phát triển sớm, làm cho răng vĩnh viễn mọc khi răng sữa vẫn chưa rụng.
Việc trẻ mọc răng hai hàng gây ra nhiều khó khăn trong vệ sinh răng miệng. Các mảng bám thức ăn không được loại bỏ hết sẽ làm cho vi khuẩn phát triển nhanh, gây ra tình trạng sâu răng, viêm nướu, viêm tủy…
Việc răng mọc không theo trật tự sẽ gây mất thẩm mỹ cho khuôn mặt. Hàm răng khấp khểnh còn khiến trẻ gặp khó khăn trong việc nhai thức ăn.

Răng 2 hàng gây mất thẩm mỹ, khó vệ sinh răng miệng ( Ảnh minh họa).
Để ngăn ngừa tình trạng răng mọc hai hàng, cha mẹ cần lưu ý:
-Thường xuyên kiểm tra răng miệng cho trẻ: Nếu phát hiện điều bất thường, cha mẹ cần cho trẻ đi khám sớm để can thiệp kịp thời
- Có chế độ ăn uống phù hợp, đầy đủ chất
- Cho trẻ tập luyện việc nhai hàng ngày: Cho con ăn một số hạt thô, thức ăn giàu chất xơ hoặc thức ăn cứng để giúp trẻ sử dụng răng nhiều hơn, với mục đích kích thích sự phát triển của cả hàm răng
- Duy trì thói quen vệ sinh răng miệng hàng ngày cho trẻ
Theo An Nhiên- Vietnamnet.vn
