Những đốm mụn thịt không mời mà đến cứ thình lình xuất hiện trên mặt khiến làn da kém mịn màng, thiếu sức sống. Hãy áp dụng 4 cách trị mụn thịt tại nhà dưới đây để tống tiễn chúng.
Mụn thịt là những u nhú nhỏ, lành tính, xuất hiện trên da. Nguyên nhân hình thành nên chúng là do rối loạn bài tiết chất nhờn. Thói quen thức khuya, ăn nhiều chất béo, đồ cay nóng, hoặc không bảo vệ da cẩn thận khi đi ra ngoài đường chính là nguyên nhân gây nên mụn thịt.

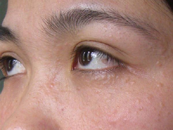
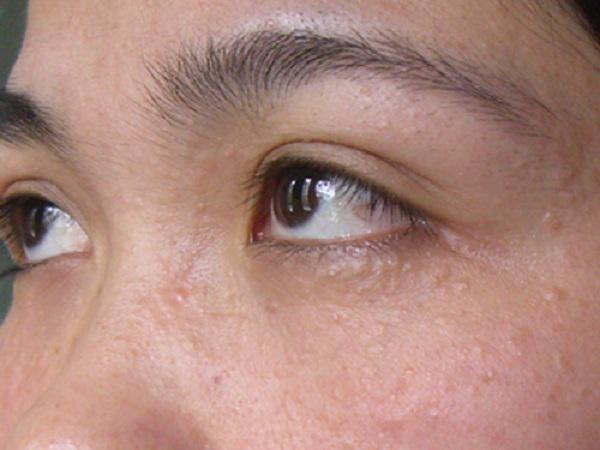
Dù không gây hại đến sức khỏe nhưng mụn thịt khiến mất thẩm mỹ cho khuôn mặt
Mụn thịt có thể xuất hiện ở nhiều nơi nhưng thường thấy nhất ở quanh mắt, trán, cổ, vành tai rất xấu xí. Dưới đây là 4 cách trị mụn thịt tại nhà bạn cần ghi nhớ để đối phó với chúng.
1. Cách trị mụn thịt tại nhà bằng tỏi

Nguyên liệu cần chuẩn bị
Để thực hiện cách trị mụn thịt tại nhà bằng tỏi bạn chỉ cần làm theo các bước dưới đây:
- Tỏi sau khi mua về bạn bóc sạch vỏ, cho vào cối giã nát.
- Thêm vào 1 chút mật ong để làm giảm tính nóng cay của chúng, đồng thời đẩy nhanh tác dụng trị mụn.

Hỗn hợp sau khi thu được có dạng sau
- Nhúng khăn vào nước ấm, lau đều lên vùng da có mụn giúp da ở đây mềm ra, dễ hấp thụ dưỡng chất hơn.
- Tiếp theo, dùng tăm bông chấm vào hỗn hợp và bôi lên. Để nguyên trong 20 phút thì rửa lại với nước thường.

Áp dụng công thức này 2-3 lần/tuần mụn thịt sẽ thuyên giảm sau 2 tuần. Các nàng nhớ áp dụng nha.
2. Cách trị mụn thịt tại nhà bằng lá tía tô

Nguyên liệu dễ kiếm và rẻ tiền
Cách làm:
- Tía tô sau khi mua về bạn nhặt bỏ lá già, úa, rửa sạch rồi cho vào cối giã nát.
- Đắp lá tía tô lên các nốt mụn, giữ nguyên trong 30 phút hoặc để qua đêm.

Giã nát tía tô để thực hiện cách trị mụn thịt tại nhà
- Sau đó, rửa lại với nước. Nếu bạn không sợ đau thì dùng kim đã hơ qua lửa để khử trùng rồi châm nhẹ vào các nốt mụn, cho chúng mở miệng ra rồi đắp rau lên.
- Áp dụng công thức này 2-3 lần/tuần bạn sẽ thấy mụn thịt không cánh mà bay sau 2 tuần.
3. Cách trị mụn thịt tại nhà bằng rau diếp cá

Rau diếp cá có tác dụng tăng cường tuần hoàn máu, ngăn ngừa mụn thịt trên mặt và làm đẹp da.
Cách thực hiện: Vò nhuyễn lá, vắt lấy nước, trộn với một ít cám gạo, thêm vài giọt dầu ôliu, đắp lên mặt 10-15 phút rồi rửa sạch bằng nước lạnh. Thực hiện thường xuyên bạn sẽ khá bất ngờ về hiệu quả nó mang lại.
4. Cách trị mụn thịt tại nhà bằng khoai tây

Khoai tây vừa có công dụng làm mờ nám tàn nhang vừa là cách làm hết mụn thịt ở mắt hiệu quả nếu bạn biết công thức áp dụng.
Bạn hãy lấy 2 củ khoai tây tươi, rửa sạch rồi cắt thành từng lát mỏng, chà trực tiếp lên vùng da bị mụn thịt quanh mắt kết hợp với massage nhẹ nhàng để cho máu huyết được lưu thông.
Áp dụng công thức này 3-4 lần sau vòng 1 tháng để xóa sạch hết mụn thịt xấu xí ra khỏi mặt nhé.
Chúc các bạn thành công!
Theo Khám Phá
