Một chiếc đinh dài khi vào bụng không đi từ dạ dày xuống ruột mà rớt thẳng vào phổi khiến nạn nhân suýt chết.
Đó là trường hợp của ông L.P.H (60 tuổi, quê Khánh Hòa). Theo lời kể của bệnh nhân, thời điểm xảy ra sự việc, ông H. đang cố định ván giường và ngậm đinh trên miệng để đóng.
Bất ngờ, ông nuốt phải chiếc đinh vào miệng. Sau khi nuốt bệnh nhân không có dấu hiệu sặc nhưng vẫn đi kiểm tra.

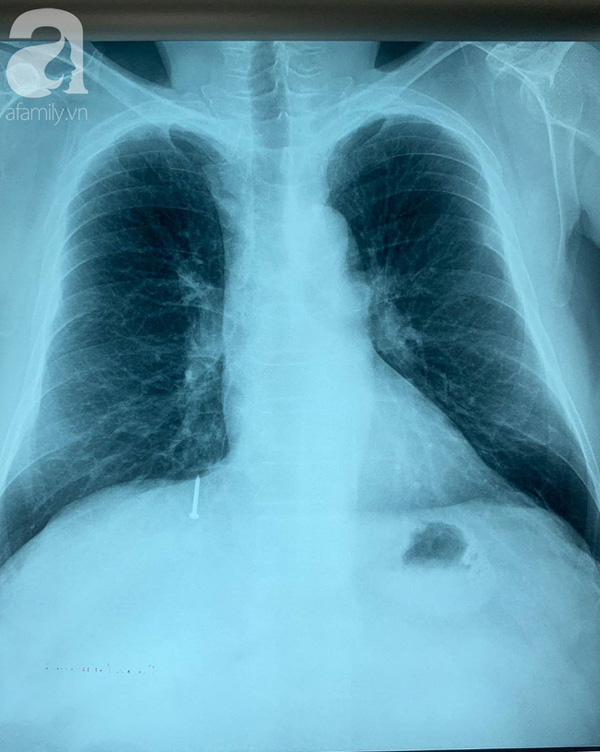
Ảnh chụp X-quang khiến các bác sĩ lầm tưởng dị vật vào đường tiêu hóa.

Nhưng sự thật dị vật đã rơi vào phổi.
Tại bệnh viện tuyến tỉnh, khi chụp X-quang, các bác sĩ nghi dị vật đã đi từ dạ dày xuống ruột. Tuy nhiên khi chuyển lên Bệnh viện Chợ Rẫy (TP.HCM), qua hình ảnh CT-scan kíp trực lại phát hiện chiếc đinh đã vào phổi.

Đầu chiếc đinh được ví như đầu "rắn hổ mang".
Bác sĩ Phạm Thị Vân Thanh, khoa Nội soi, Bệnh viện Chợ Rẫy cho biết qua hình ảnh nội soi, chiếc đinh lồi ra như đầu con rắn hổ mang. Ban đầu các bác sĩ sử dụng kềm để gắp dị vật ra nhưng thất bại.
Sau đó, các bác sĩ điều trị phải dùng dụng cụ snare lựa dị vật nằm trên trục dọc để không gây tổn thương các vị trí khác trên thành thực quản.
Chiếc đinh được lấy ra có cạnh sắc nhọn và chiều dài gần 3cm. Sau khi dị vật được lấy ra, sức khỏe bệnh nhân đã dần ổn định.

Dị vật sau khi lấy ra.
Trước đó trong lúc đùa giỡn với bạn, em M.N.T. (16 tuổi, quê Ninh Thuận) dùng kim may công nghiệp đâm nhiều lỗ trên chai nước để tạo lỗ phun.
Do vô tình, cây kim lọt vào trong chai nước đồng thời trong quá trình bóp cây kim theo lực bắn thẳng vào miệng bệnh nhân.
Bệnh nhân nhanh chóng được chủ xưởng may chuyển cấp cứu và nhập viện tại khoa Cấp cứu tổng hợp, Bệnh viện Nhân dân 115 (TP.HCM).
Tại Đơn vị Nội soi, T. được tiến hành dò tìm và gắp dị vật bằng phương pháp nội soi. Qua hình ảnh nội soi có phát hiện một dị vật tròn nhỏ, khá dài cắm vào thành thực quản, nằm lẫn trong thức ăn.
Sau 20 phút nỗ lực, dị vật được gắp ra thành công. Dị vật được xác định là một cây kim may công nghiệp có chiều dài 2.5 cm, có đầu nhọn.

Chiếc đinh có chiều dài gần 3 cm.
Các bác sĩ khuyên người dân không nên dùng những dụng cụ như kim khâu, kim băng, ghim bấm, miếng thủy tinh…, để đùa giỡn. Đây là hành động hết sức nguy hiểm và có thể ảnh hưởng đến tính mạng.
Dị vật khi nằm trong phổi lâu năm có thể gây biến chứng viêm phổi tái phát nhiều lần hoặc xẹp phổi.
Theo Báo dân sinh
